Skip to main content

Cytokeratin 17 Antibody (KRT17/778)

Novus Biologicals, part of Bio-Techne | Catalog # NBP2-44427

Novus Biologicals, part of Bio-Techne
Catalog #
Availability
Size / Price
Qty
Loading...
NBP2-44427-0.1mg
NBP2-44427-0.02mg
Conjugate
Catalog #

Key Product Details

Species Reactivity

Human, Rat, Porcine, Bovine, Goat

Applications

Immunohistochemistry, Immunohistochemistry-Paraffin

Label

Unconjugated

Antibody Source

Monoclonal Mouse IgG2b Kappa Clone # KRT17/778

Concentration

0.2 mg/ml

Product Specifications

Immunogen

Recombinant full-length human Cytokeratin 17 protein (Uniprot: Q04695)

Localization

Cytoplasmic

Specificity

Cytokeratin 17 (CK17) is normally expressed in the basal cells of complex epithelia but not in stratified or simple epithelia. Antibody to CK17 is an excellent tool to distinguish myoepithelial cells from luminal epithelium of various glands such as mammary, sweat and salivary. CK17 is expressed in epithelial cells of various origins, such as bronchial epithelial cells and skin appendages. It may be considered as epithelial stem cell marker because CK17 Ab marks basal cell differentiation. CK17 is expressed in SCLC much higher than in LADC. Eighty-five percent of the triple negative breast carcinomas immunoreact with basal cytokeratins including anti-CK17. Also important is that cases of triple negative breast carcinoma with expression of CK17 show an aggressive clinical course. Additionally, anti-CK17 and anti-MUC1 immunoreactivity represents pancreatobiliary subtype whereas anti-MUC2 and anti-CDX-2 positivity defines intestinal subtype.

Marker

Basal Epithelial Marker

Clonality

Monoclonal

Host

Mouse

Isotype

IgG2b Kappa

Theoretical MW

46 kDa.
Disclaimer note: The observed molecular weight of the protein may vary from the listed predicted molecular weight due to post translational modifications, post translation cleavages, relative charges, and other experimental factors.

Description

200ug/ml of antibody purified from Bioreactor Concentrate by Protein A or G. Prepared in 10 mM PBS with 0.05% BSA & 0.05% azide. Also available WITHOUT BSA & azide at 1.0 mg/ml. (NBP2-47684)

Antibody with azide - store at 2 to 8C. Antibody without azide - store at -20 to -80 C.

Scientific Data Images for Cytokeratin 17 Antibody (KRT17/778)

Immunohistochemistry-Paraffin: Cytokeratin 17 Antibody (KRT17/778) [NBP2-44427]

Immunohistochemistry-Paraffin: Cytokeratin 17 Antibody (KRT17/778) [NBP2-44427]

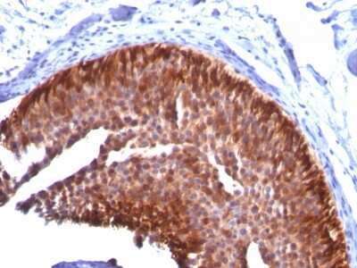
Immunohistochemistry-Paraffin: Cytokeratin 17 Antibody (KRT17/778) [NBP2-44427] - Human Cervical Carcinoma stained with CK17 Monoclonal Antibody (KRT17/778).
Immunohistochemistry-Paraffin: Cytokeratin 17 Antibody (KRT17/778) [NBP2-44427]

Immunohistochemistry-Paraffin: Cytokeratin 17 Antibody (KRT17/778) [NBP2-44427]

Immunohistochemistry-Paraffin: Cytokeratin 17 Antibody (KRT17/778) [NBP2-44427] - Human Bladder Carcinoma stained with CK17 Monoclonal Antibody (KRT17/778).

Applications for Cytokeratin 17 Antibody (KRT17/778)

Application
Recommended Usage

Immunohistochemistry-Paraffin

1-2 ug/ml
Application Notes
Immunohistochemistry (Formalin-fixed): 1-2ug/ml for 30 min at RT. Staining of formalin-fixed tissues requires heating tissue sections in 10mM Tris with 1mM EDTA, pH 9.0, for 45 min at 95C followed by cooling at RT for 20 minutes.
Optimal dilution for a specific application should be determined.

Formulation, Preparation, and Storage

Purification

Protein A or G purified

Formulation

10 mM PBS with 0.05% BSA

Preservative

0.05% Sodium Azide

Concentration

0.2 mg/ml

Shipping

The product is shipped with polar packs. Upon receipt, store it immediately at the temperature recommended below.

Stability & Storage

Store at 4C.

Background: Cytokeratin 17

Among the members of the cytokeratin (CK) subfamily of intermediate filament (IF) proteins, CK 17 is normally expressed in the basal cells of complex epithelia but not in stratified or simple epithelia. It has an unusual expression pattern in normal and diseased states and has potential importance in tumor diagnosis. CK 17 synthesis seems to be a marker of basal cell differentiation in complex epithelia and therefore indicative of a certain type of epithelial "stem cells" (1). It has been shown that CK 17 regulates cell growth through binding to the adaptor protein 14-3-3sigma. These findings reveal a new and unexpected role for the intermediate filament cytoskeleton in influencing cell growth and size by regulating protein synthesis (2). CK 17 is expressed in the nail bed, hair follicle, sebaceous glands, and other epidermal appendages (3).

Long Name

Cytokeratin 17/KRT17

Alternate Names

CK-17, cytokeratin-17, K17, keratin 17, type I, keratin, type I cytoskeletal 17, PCHC1

Gene Symbol

KRT17

UniProt

Additional Cytokeratin 17 Products

Product Documents for Cytokeratin 17 Antibody (KRT17/778)

Certificate of Analysis

To download a Certificate of Analysis, please enter a lot number in the search box below.

Product Specific Notices for Cytokeratin 17 Antibody (KRT17/778)

This product is for research use only and is not approved for use in humans or in clinical diagnosis. Primary Antibodies are guaranteed for 1 year from date of receipt.

Loading...
Loading...
Loading...
Loading...