Skip to main content

Cytokeratin 17 Antibody (A2B10)

Novus Biologicals, part of Bio-Techne | Catalog # NBP2-89123

Novus Biologicals, part of Bio-Techne
Catalog #
Availability
Size / Price
Qty
Loading...
NBP2-89123

Key Product Details

Validated by

Biological Validation

Species Reactivity

Human

Applications

Immunohistochemistry, Immunohistochemistry-Paraffin, Western Blot, Flow Cytometry, Immunocytochemistry/ Immunofluorescence

Label

Unconjugated

Antibody Source

Monoclonal Mouse IgG2B Clone # A2B10

Concentration

2 mg/ml

Product Specifications

Immunogen

Synthetic peptide within Human Cytokeratin 17 aa 383-432 / 432. (SwissProt: Q04695 Human)

Localization

Cytoplasm.

Clonality

Monoclonal

Host

Mouse

Isotype

IgG2B

Theoretical MW

48 kDa.
Disclaimer note: The observed molecular weight of the protein may vary from the listed predicted molecular weight due to post translational modifications, post translation cleavages, relative charges, and other experimental factors.

Description

Novus Biologicals Mouse Cytokeratin 17 Antibody (A2B10) (NBP2-89123) is a monoclonal antibody validated for use in IHC, WB, Flow and ICC/IF. All Novus Biologicals antibodies are covered by our 100% guarantee.

Scientific Data Images for Cytokeratin 17 Antibody (A2B10)

Western Blot: Cytokeratin 17 Antibody (A2B10) [NBP2-89123]

Western Blot: Cytokeratin 17 Antibody (A2B10) [NBP2-89123]

Western Blot: Cytokeratin 17 Antibody (A2B10) [NBP2-89123] - Analysis of Cytokeratin 17 on SiHa cell lysates with Mouse anti-Cytokeratin 17 antibody at 1/2,000 dilution. Lysates/proteins at 10 ug/Lane. Predicted band size: 48 kDa Observed band size: 48 kDa Exposure time: 1 minute; 12% SDS-PAGE gel. Proteins were transferred to a PVDF membrane and blocked with 5% NFDM/TBST for 1 hour at room temperature. The primary antibody at 1/2,000 dilution was used in 5% NFDM/TBST at room temperature for 2 hours. Goat Anti-Mouse IgG - HRP Secondary Antibody at 1:150,000 dilution was used for 1 hour at room temperature.
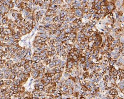
Immunohistochemistry-Paraffin: Cytokeratin 17 Antibody (A2B10) [NBP2-89123]

Immunohistochemistry-Paraffin: Cytokeratin 17 Antibody (A2B10) [NBP2-89123]

Immunohistochemistry-Paraffin: Cytokeratin 17 Antibody (A2B10) [NBP2-89123] - Analysis of paraffin-embedded human skin tissue using anti-Cytokeratin 17 antibody. The section was pre-treated using heat mediated antigen retrieval with Tris-EDTA buffer (pH 8.0-8.4) for 20 minutes.The tissues were blocked in 5% BSA for 30 minutes at room temperature, washed with ddH2O and PBS, and then probed with the primary antibody( 1/50) for 30 minutes at room temperature. The detection was performed using an HRP conjugated compact polymer system. DAB was used as the chromogen. Tissues were counterstained with hematoxylin and mounted with DPX.
Flow Cytometry: Cytokeratin 17 Antibody (A2B10) [NBP2-89123]

Flow Cytometry: Cytokeratin 17 Antibody (A2B10) [NBP2-89123]

Flow Cytometry: Cytokeratin 17 Antibody (A2B10) [NBP2-89123] - Analysis of Cytokeratin 17 was done on SiHa cells. The cells were fixed, permeabilized and stained with the primary antibody( 1/100) (red). After incubation of the primary antibody at room temperature for an hour, the cells were stained with a Alexa Fluor 488-conjugated goat anti-Mouse IgG Secondary antibody at 1/500 dilution for 30 minutes.Unlabelled sample was used as a control (cells without incubation with primary antibody; black).

Applications for Cytokeratin 17 Antibody (A2B10)

Application
Recommended Usage

Flow Cytometry

1:50-1:100

Immunocytochemistry/ Immunofluorescence

1:200

Immunohistochemistry-Paraffin

1:50-1:200

Western Blot

1:500-1:2000

Formulation, Preparation, and Storage

Purification

Protein G purified

Formulation

PBS (pH7.4), 0.2% BSA, 50% Glycerol

Preservative

0.05% Sodium Azide

Concentration

2 mg/ml

Shipping

The product is shipped with polar packs. Upon receipt, store it immediately at the temperature recommended below.

Stability & Storage

Store at 4C short term. Aliquot and store at -20C long term. Avoid freeze-thaw cycles.

Background: Cytokeratin 17

Among the members of the cytokeratin (CK) subfamily of intermediate filament (IF) proteins, CK 17 is normally expressed in the basal cells of complex epithelia but not in stratified or simple epithelia. It has an unusual expression pattern in normal and diseased states and has potential importance in tumor diagnosis. CK 17 synthesis seems to be a marker of basal cell differentiation in complex epithelia and therefore indicative of a certain type of epithelial "stem cells" (1). It has been shown that CK 17 regulates cell growth through binding to the adaptor protein 14-3-3sigma. These findings reveal a new and unexpected role for the intermediate filament cytoskeleton in influencing cell growth and size by regulating protein synthesis (2). CK 17 is expressed in the nail bed, hair follicle, sebaceous glands, and other epidermal appendages (3).

Long Name

Cytokeratin 17/KRT17

Alternate Names

CK-17, cytokeratin-17, K17, keratin 17, type I, keratin, type I cytoskeletal 17, PCHC1

Gene Symbol

KRT17

Additional Cytokeratin 17 Products

Product Documents for Cytokeratin 17 Antibody (A2B10)

Certificate of Analysis

To download a Certificate of Analysis, please enter a lot number in the search box below.

Product Specific Notices for Cytokeratin 17 Antibody (A2B10)

This product is for research use only and is not approved for use in humans or in clinical diagnosis. Primary Antibodies are guaranteed for 1 year from date of receipt.

Loading...
Loading...
Loading...
Loading...
Loading...