Skip to main content

Cytokeratin 14 Antibody - BSA Free

Novus Biologicals, part of Bio-Techne | Catalog # NBP1-84917

Novus Biologicals, part of Bio-Techne
Catalog #
Availability
Size / Price
Qty
Loading...
NBP1-84917-25ul
NBP1-84917

Key Product Details

Validated by

Orthogonal Validation

Species Reactivity

Human

Applications

Immunohistochemistry, Immunohistochemistry-Paraffin, Western Blot

Label

Unconjugated

Antibody Source

Polyclonal Rabbit IgG

Format

BSA Free

Concentration

Concentrations vary lot to lot. See vial label for concentration. If unlisted please contact technical services.

Product Specifications

Immunogen

This antibody was developed against Recombinant Protein corresponding to amino acids: TYRRLLEGEDAHLSSSQFSSGSQSSRDVTSSSRQIRTKVMDVHDGKVVSTHEQVLRTKN

Reactivity Notes

Mouse (88%), Rat (88%).

Clonality

Polyclonal

Host

Rabbit

Isotype

IgG

Description

Novus Biologicals Rabbit Cytokeratin 14 Antibody - BSA Free (NBP1-84917) is a polyclonal antibody validated for use in IHC and WB. Anti-Cytokeratin 14 Antibody: Cited in 1 publication. All Novus Biologicals antibodies are covered by our 100% guarantee.

Scientific Data Images for Cytokeratin 14 Antibody - BSA Free

Western Blot: Cytokeratin 14 Antibody [NBP1-84917]

Western Blot: Cytokeratin 14 Antibody [NBP1-84917]

Western Blot: Cytokeratin 14 Antibody [NBP1-84917] - Lane 1: Marker [kDa] 230, 130, 95, 72, 56, 36, 28, 17, 11. Lane 2: Human cell line RT-4. Lane 3: Human cell line U-251MG sp. Lane 4: Human plasma (IgG/HSA depleted). Lane 5: Human liver tissue. Lane 6: Human tonsil tissue
Immunohistochemistry-Paraffin: Cytokeratin 14 Antibody [NBP1-84917]

Immunohistochemistry-Paraffin: Cytokeratin 14 Antibody [NBP1-84917]

Immunohistochemistry-Paraffin: Cytokeratin 14 Antibody [NBP1-84917] - Staining in human skin and duodenum tissues using anti-KRT14 antibody. Corresponding KRT14 RNA-seq data are presented for the same tissues.
Immunohistochemistry-Paraffin: Cytokeratin 14 Antibody [NBP1-84917]

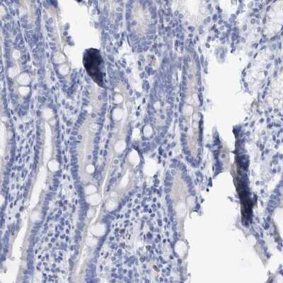
Immunohistochemistry-Paraffin: Cytokeratin 14 Antibody [NBP1-84917]

Immunohistochemistry-Paraffin: Cytokeratin 14 Antibody [NBP1-84917] - Staining of human duodenum shows low expression as expected.

Applications for Cytokeratin 14 Antibody - BSA Free

Application
Recommended Usage

Immunohistochemistry

1:1000 - 1:2500

Immunohistochemistry-Paraffin

1:1000 - 1:2500

Western Blot

0.04-0.4 ug/ml
Application Notes
For IHC-Paraffin, HIER pH 6 retrieval is recommended.

Formulation, Preparation, and Storage

Purification

Affinity purified

Formulation

PBS (pH 7.2) and 40% Glycerol

Format

BSA Free

Preservative

0.02% Sodium Azide

Concentration

Concentrations vary lot to lot. See vial label for concentration. If unlisted please contact technical services.

Shipping

The product is shipped with polar packs. Upon receipt, store it immediately at the temperature recommended below.

Stability & Storage

Store at 4C short term. Aliquot and store at -20C long term. Avoid freeze-thaw cycles.

Background: Cytokeratin 14

Keratins are cytoplasmic intermediate filament proteins expressed by epithelial cells. Cytokeratin 14 (CK-14) is a 50-kDa keratin expressed in abundance in human epidermal cells (1). During anagen, cell proliferation in the germinative matrix of the hair follicle gives rise to the fiber and inner root sheath. The transition from anagen to telogen is marked by downregulation of hair cortical specific keratins and the appearance of CK-14 in the epithelial sac to which the telogen hair fiber is anchored (2). A family with recessive epidermolysis bullosa simplex lacked expression of the basal cell keratin 14. The patients had severe generalized skin blistering that improved slightly with age. The basal cells of the patients did not express keratin 14 and contained no keratin intermediate filaments. The expression of keratin 5, the obligate copolymer of keratin 14, was slightly reduced (3).

Alternate Names

CK14, KRT14

Gene Symbol

KRT14

Additional Cytokeratin 14 Products

Product Documents for Cytokeratin 14 Antibody - BSA Free

Certificate of Analysis

To download a Certificate of Analysis, please enter a lot number in the search box below.

Product Specific Notices for Cytokeratin 14 Antibody - BSA Free

This product is for research use only and is not approved for use in humans or in clinical diagnosis. Primary Antibodies are guaranteed for 1 year from date of receipt.

Loading...
Loading...
Loading...
Loading...