Skip to main content

Cytokeratin 14 Antibody (KRT14/4132)

Novus Biologicals, part of Bio-Techne | Catalog # NBP3-07849

Novus Biologicals, part of Bio-Techne
Catalog #
Availability
Size / Price
Qty
Loading...
NBP3-07849-100ug
NBP3-07849-20ug

Key Product Details

Species Reactivity

Human

Applications

Immunohistochemistry-Paraffin, Protein Array

Label

Unconjugated

Antibody Source

Monoclonal Mouse IgG2c Kappa Clone # KRT14/4132

Concentration

0.2 mg/ml

Product Specifications

Immunogen

Recombinant fragment (around aa351-472) of human Cytokeratin 14 protein (exact sequence is proprietary) (Uniprot: P02533 )

Localization

Cytoplasmic

Specificity

Cytokeratin 14 (CK14) belongs to the type I (or A or acidic) subfamily of low molecular weight keratins and exists in combination with keratin 5 (type II or B or basic). CK14 is found in basal cells of squamous epithelia, some glandular epithelia, myoepithelium, and mesothelial cells. Anti-CK14 is useful in differentiating squamous cell carcinomas from poorly differentiated epithelial tumors. Anti-CK14 is one of the specific basal markers for distinguishing between basal and non-basal subtypes of breast carcinomas. Anti-CK14 is also a good marker for differentiation of intraductal from invasive salivary duct carcinoma by the positive staining of basal cells surrounding the in-situ neoplasm as well as for differentiation of benign prostate from prostate carcinoma. Furthermore, this antibody has been useful in separating oncocytic tumors of the kidney from its renal mimics, and in identifying metaplastic carcinomas of the breast.

Marker

Squamous Cell Marker

Clonality

Monoclonal

Host

Mouse

Isotype

IgG2c Kappa

Theoretical MW

50 kDa.
Disclaimer note: The observed molecular weight of the protein may vary from the listed predicted molecular weight due to post translational modifications, post translation cleavages, relative charges, and other experimental factors.

Description

200ug/ml of antibody purified from Bioreactor Concentrate by Protein A or G. Prepared in 10 mM PBS with 0.05% BSA & 0.05% azide. Also available WITHOUT BSA & azide at 1.0 mg/ml. (NBP3-08289)

Antibody with azide - store at 2 to 8C. Antibody without azide - store at -20 to -80 C.

Scientific Data Images for Cytokeratin 14 Antibody (KRT14/4132)

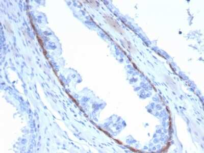
Immunohistochemistry-Paraffin: Cytokeratin 14 Antibody (KRT14/4132) [NBP3-07849]

Immunohistochemistry-Paraffin: Cytokeratin 14 Antibody (KRT14/4132) [NBP3-07849]

Immunohistochemistry-Paraffin: Cytokeratin 14 Antibody (KRT14/4132) [NBP3-07849] - Formalin-fixed, paraffin-embedded human prostate stained with Cytokeratin 14 Mouse Monoclonal Antibody (KRT14/4132).
Immunohistochemistry-Paraffin: Cytokeratin 14 Antibody (KRT14/4132) [NBP3-07849]

Immunohistochemistry-Paraffin: Cytokeratin 14 Antibody (KRT14/4132) [NBP3-07849]

Immunohistochemistry-Paraffin: Cytokeratin 14 Antibody (KRT14/4132) [NBP3-07849] - Formalin-fixed, paraffin-embedded human prostate stained with Cytokeratin 14 Mouse Monoclonal Antibody (KRT14/4132).
Protein Array: Cytokeratin 14 Antibody (KRT14/4132) [NBP3-07849]

Protein Array: Cytokeratin 14 Antibody (KRT14/4132) [NBP3-07849]

Protein Array: Cytokeratin 14 Antibody (KRT14/4132) [NBP3-07849] - Analysis of Protein Array containing more than 19,000 full-length human proteins using Cytokeratin 14 Mouse Monoclonal Antibody (KRT14/4132).

Applications for Cytokeratin 14 Antibody (KRT14/4132)

Application
Recommended Usage

Immunohistochemistry-Paraffin

1-2 ug/ml
Application Notes
Immunohistochemistry (Formalin-fixed): 1-2ug/ml for 30 minutes at RT. Staining of formalin-fixed tissues requires heating tissue sections in 10mM Tris with 1mM EDTA, pH 9.0, for 45 min at 95C followed by cooling at RT for 20 minutes.
Optimal dilution for a specific application should be determined.

Formulation, Preparation, and Storage

Purification

Protein A or G purified

Formulation

10 mM PBS with 0.05% BSA

Preservative

0.05% Sodium Azide

Concentration

0.2 mg/ml

Shipping

The product is shipped with polar packs. Upon receipt, store it immediately at the temperature recommended below.

Stability & Storage

Store at 4C.

Background: Cytokeratin 14

Keratins are cytoplasmic intermediate filament proteins expressed by epithelial cells. Cytokeratin 14 (CK-14) is a 50-kDa keratin expressed in abundance in human epidermal cells (1). During anagen, cell proliferation in the germinative matrix of the hair follicle gives rise to the fiber and inner root sheath. The transition from anagen to telogen is marked by downregulation of hair cortical specific keratins and the appearance of CK-14 in the epithelial sac to which the telogen hair fiber is anchored (2). A family with recessive epidermolysis bullosa simplex lacked expression of the basal cell keratin 14. The patients had severe generalized skin blistering that improved slightly with age. The basal cells of the patients did not express keratin 14 and contained no keratin intermediate filaments. The expression of keratin 5, the obligate copolymer of keratin 14, was slightly reduced (3).

Alternate Names

CK14, KRT14

Gene Symbol

KRT14

UniProt

Additional Cytokeratin 14 Products

Product Documents for Cytokeratin 14 Antibody (KRT14/4132)

Certificate of Analysis

To download a Certificate of Analysis, please enter a lot number in the search box below.

Product Specific Notices for Cytokeratin 14 Antibody (KRT14/4132)

This product is for research use only and is not approved for use in humans or in clinical diagnosis. Primary Antibodies are guaranteed for 1 year from date of receipt.

Loading...
Loading...
Loading...
Loading...