Skip to main content

Cytokeratin 10 Antibody - BSA Free

Novus Biologicals, part of Bio-Techne | Catalog # NBP1-85604

Novus Biologicals, part of Bio-Techne
Catalog #
Availability
Size / Price
Qty
Loading...
NBP1-85604-25ul
NBP1-85604

Key Product Details

Validated by

Orthogonal Validation

Species Reactivity

Validated:

Human

Cited:

Human

Predicted:

Mouse (91%), Rat (92%). Backed by our 100% Guarantee.

Applications

Validated:

Immunohistochemistry, Immunohistochemistry-Paraffin

Cited:

Immunohistochemistry, IF/IHC

Label

Unconjugated

Antibody Source

Polyclonal Rabbit IgG

Format

BSA Free

Concentration

Concentrations vary lot to lot. See vial label for concentration. If unlisted please contact technical services.

Product Specifications

Immunogen

This antibody was developed against Recombinant Protein corresponding to amino acids: EQLAEQNRKDAEAWFNEKSKELTTEIDNNIEQISSYKSEITELRRNVQALEIELQSQLALKQSLEASLAETEGRYCVQLSQIQAQISALEEQLQQIRAETECQNTEYQQLLDIKIRLE

Clonality

Polyclonal

Host

Rabbit

Isotype

IgG

Description

Novus Biologicals Rabbit Cytokeratin 10 Antibody - BSA Free (NBP1-85604) is a polyclonal antibody validated for use in IHC. Anti-Cytokeratin 10 Antibody: Cited in 2 publications. All Novus Biologicals antibodies are covered by our 100% guarantee.

Scientific Data Images for Cytokeratin 10 Antibody - BSA Free

Immunohistochemistry-Paraffin: Cytokeratin 10 Antibody [NBP1-85604]

Immunohistochemistry-Paraffin: Cytokeratin 10 Antibody [NBP1-85604]

Immunohistochemistry-Paraffin: Cytokeratin 10 Antibody [NBP1-85604] - Analysis in human skin and colon tissues. Corresponding KRT10 RNA-seq data are presented for the same tissues.
Immunohistochemistry-Paraffin: Cytokeratin 10 Antibody [NBP1-85604]

Immunohistochemistry-Paraffin: Cytokeratin 10 Antibody [NBP1-85604]

Immunohistochemistry-Paraffin: Cytokeratin 10 Antibody [NBP1-85604] - Staining of human lymph node shows no positivity as expected.
Immunohistochemistry-Paraffin: Cytokeratin 10 Antibody [NBP1-85604]

Immunohistochemistry-Paraffin: Cytokeratin 10 Antibody [NBP1-85604]

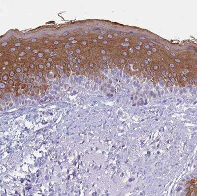
Immunohistochemistry-Paraffin: Cytokeratin 10 Antibody [NBP1-85604] - Staining of human skin shows moderate cytoplasmic positivity in epidermal cells.

Applications for Cytokeratin 10 Antibody - BSA Free

Application
Recommended Usage

Immunohistochemistry

1:1000 - 1:2500

Immunohistochemistry-Paraffin

1:1000 - 1:2500
Application Notes
For IHC-Paraffin, HIER pH 6 retrieval is recommended.

Formulation, Preparation, and Storage

Purification

Immunogen affinity purified

Formulation

PBS (pH 7.2) and 40% Glycerol

Format

BSA Free

Preservative

0.02% Sodium Azide

Concentration

Concentrations vary lot to lot. See vial label for concentration. If unlisted please contact technical services.

Shipping

The product is shipped with polar packs. Upon receipt, store it immediately at the temperature recommended below.

Stability & Storage

Store at 4C short term. Aliquot and store at -20C long term. Avoid freeze-thaw cycles.

Background: Cytokeratin 10

This gene encodes a member of the type I (acidic) cytokeratin family, which belongs to the superfamily of intermediate filament (IF) proteins. Keratins are heteropolymeric structural proteins which form the intermediate filament. These filaments, along with actin microfilaments and microtubules, compose the cytoskeleton of epithelial cells. Mutations in this gene are associated with epidermolytic hyperkeratosis. This gene is located within a cluster of keratin family members on chromosome 17q21. [provided by RefSeq, Jul 2008]

Alternate Names

BCIE, BIE, CK10, CK-10, cytokeratin 10, Cytokeratin-10, EHK, K10keratosis palmaris et plantaris, keratin 10, Keratin 10 (epidermolytic hyperkeratosis; keratosis palmaris et plantaris), keratin, type I cytoskeletal 10, keratin-10, KPP

Gene Symbol

KRT10

Additional Cytokeratin 10 Products

Product Documents for Cytokeratin 10 Antibody - BSA Free

Certificate of Analysis

To download a Certificate of Analysis, please enter a lot number in the search box below.

Product Specific Notices for Cytokeratin 10 Antibody - BSA Free

This product is for research use only and is not approved for use in humans or in clinical diagnosis. Primary Antibodies are guaranteed for 1 year from date of receipt.

Loading...
Loading...
Loading...
Loading...