Skip to main content

Cytohesin 2 Antibody (OTI4D9)

Novus Biologicals, part of Bio-Techne | Catalog # NBP3-44913

Novus Biologicals, part of Bio-Techne

Key Product Details

Species Reactivity

Human, Mouse, Rat

Applications

Immunohistochemistry, Western Blot

Label

Unconjugated

Antibody Source

Monoclonal Mouse IgG1 Clone # OTI4D9

Concentration

Please see the vial label for concentration. If unlisted please contact technical services.

Product Specifications

Immunogen

Full length human recombinant protein of human CYTH2 (NP_059431) produced in HEK293T cell.

Clonality

Monoclonal

Host

Mouse

Isotype

IgG1

Description

Novus Biologicals Mouse Cytohesin 2 Antibody (OTI4D9) (NBP3-44913) is a monoclonal antibody validated for use in IHC and WB. All Novus Biologicals antibodies are covered by our 100% guarantee.

Applications for Cytohesin 2 Antibody (OTI4D9)

Application
Recommended Usage

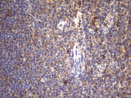
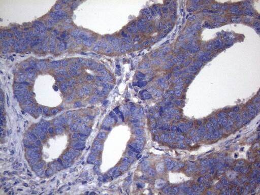
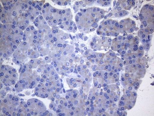
Immunohistochemistry

1:150

Western Blot

1:2000

Formulation, Preparation, and Storage

Purification

>95%

Formulation

PBS (pH 7.3) 1% BSA, 50% glycerol

Preservative

0.02% Sodium Azide

Concentration

Please see the vial label for concentration. If unlisted please contact technical services.

Shipping

The product is shipped with polar packs. Upon receipt, store it immediately at the temperature recommended below.

Stability & Storage

Store at -20 degrees C. Avoid freeze/thaw cycles.

Background: Cytohesin 2

Pleckstrin homology, Sec7 and coiled/coil domains 2 (PSCD2) is a member of the PSCD family. Members of this family have identical structural organization that consists of an N-terminal coiled-coil motif, a central Sec7 domain, and a C-terminal pleckstrin homology (PH) domain. The coiled-coil motif is involved in homodimerization, the Sec7 domain contains guanine-nucleotide exchange protein (GEP) activity, and the PH domain interacts with phospholipids and is responsible for association of PSCDs with membranes. Members of this family appear to mediate the regulation of protein sorting and membrane trafficking. PSCD2 exhibits GEP activity in vitro with ARF1, ARF3, and ARF6. PSCD2 protein is 83% homologous to PSCD1. Two transcript variants encoding different isoforms have been found for this gene.

Long Name

Cytohesin-2

Alternate Names

ARF exchange factor, ARNO, CYTH2, Protein ARNO, PSCD2, PSCD2L

Gene Symbol

Cytohesin 2

Additional Cytohesin 2 Products

Product Documents for Cytohesin 2 Antibody (OTI4D9)

Certificate of Analysis

To download a Certificate of Analysis, please enter a lot number in the search box below.

Product Specific Notices for Cytohesin 2 Antibody (OTI4D9)

This product is for research use only and is not approved for use in humans or in clinical diagnosis. Primary Antibodies are guaranteed for 1 year from date of receipt.

Loading...
Loading...
Loading...
Loading...