Skip to main content

Cytochrome p450 2J2 Antibody (OTI5C5) - Azide and BSA Free

Novus Biologicals, part of Bio-Techne | Catalog # NBP2-70539

Novus Biologicals, part of Bio-Techne
Catalog #
Availability
Size / Price
Qty
Loading...
NBP2-70539
Conjugate
Catalog #

Key Product Details

Species Reactivity

Human

Applications

Immunohistochemistry, Immunohistochemistry-Paraffin, Western Blot, Flow Cytometry

Label

Unconjugated

Antibody Source

Monoclonal Mouse IgG2B Clone # OTI5C5

Format

Azide and BSA Free

Concentration

LYOPH mg/ml

Product Specifications

Immunogen

Full length human recombinant protein of human CYP2J2(NP_000766) produced in HEK293T cell.

Clonality

Monoclonal

Host

Mouse

Isotype

IgG2B

Theoretical MW

57.4 kDa.
Disclaimer note: The observed molecular weight of the protein may vary from the listed predicted molecular weight due to post translational modifications, post translation cleavages, relative charges, and other experimental factors.

Scientific Data Images for Cytochrome p450 2J2 Antibody (OTI5C5) - Azide and BSA Free

Western Blot: Cytochrome p450 2J2 Antibody (OTI5C5)Azide and BSA Free [NBP2-70539]

Western Blot: Cytochrome p450 2J2 Antibody (OTI5C5)Azide and BSA Free [NBP2-70539]

Western Blot: Cytochrome p450 2J2 Antibody (OTI5C5) - Azide and BSA Free [NBP2-70539] - HEK293T cells were transfected with the pCMV6-ENTRY control (Left lane) or pCMV6-ENTRY Cytochrome p450 2J2 (Right lane) cDNA for 48 hrs and lysed. Equivalent amounts of cell lysates (5 ug per lane) were separated by SDS-PAGE and immunoblotted with anti-Cy
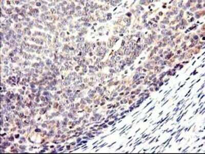
Immunohistochemistry: Cytochrome p450 2J2 Antibody (OTI5C5) - Azide and BSA Free [NBP2-70539]

Immunohistochemistry: Cytochrome p450 2J2 Antibody (OTI5C5) - Azide and BSA Free [NBP2-70539]

Immunohistochemistry: Cytochrome p450 2J2 Antibody (OTI5C5) - Azide and BSA Free [NBP2-70539] - Staining of paraffin-embedded Human liver tissue using anti-Cytochrome p450 2J2 mouse monoclonal antibody.
Flow Cytometry: Cytochrome p450 2J2 Antibody (OTI5C5) - Azide and BSA Free [NBP2-70539]

Flow Cytometry: Cytochrome p450 2J2 Antibody (OTI5C5) - Azide and BSA Free [NBP2-70539]

Flow Cytometry: Cytochrome p450 2J2 Antibody (OTI5C5) - Azide and BSA Free [NBP2-70539] - Staining of paraffin-embedded Human pancreas tissue using anti-Cytochrome p450 2J2 mouse monoclonal antibody.

Applications for Cytochrome p450 2J2 Antibody (OTI5C5) - Azide and BSA Free

Application
Recommended Usage

Immunohistochemistry

1:150

Western Blot

1:2000

Formulation, Preparation, and Storage

Purification

Immunogen affinity purified

Reconstitution

we recommend adding 100uL distilled water to a final antibody concentration of about 1 mg/mL. To use this carrier-free antibody for conjugation experiment, we strongly recommend performing another round of desalting process.

Formulation

Lyophilized from PBS (pH 7.3) with 8% Trehalose

Format

Azide and BSA Free

Preservative

No Preservative

Concentration

LYOPH mg/ml

Shipping

The product is shipped with polar packs. Upon receipt, store it immediately at the temperature recommended below.

Stability & Storage

Store at -20C. Avoid freeze-thaw cycles.

Background: Cytochrome p450 2J2

Alternate Names

Arachidonic acid epoxygenase, CPJ2, CYPIIJ2, cytochrome P450 2J2, cytochrome P450, family 2, subfamily J, polypeptide 2, cytochrome P450, subfamily IIJ (arachidonic acid epoxygenase) polypeptide 2, EC 1.14.14.1, flavoprotein-linked monooxygenase, microsomal monooxygenase

Gene Symbol

CYP2J2

Additional Cytochrome p450 2J2 Products

Product Documents for Cytochrome p450 2J2 Antibody (OTI5C5) - Azide and BSA Free

Certificate of Analysis

To download a Certificate of Analysis, please enter a lot number in the search box below.

Product Specific Notices for Cytochrome p450 2J2 Antibody (OTI5C5) - Azide and BSA Free

This product is for research use only and is not approved for use in humans or in clinical diagnosis. Primary Antibodies are guaranteed for 1 year from date of receipt.

Loading...
Loading...
Loading...
Loading...
Loading...
Loading...