Skip to main content

Cystatin C Antibody (033) - Azide and BSA Free

Novus Biologicals, part of Bio-Techne | Catalog # NBP2-89501

Recombinant Monoclonal Antibody
Novus Biologicals, part of Bio-Techne

Key Product Details

Species Reactivity

Human

Applications

Immunocytochemistry/ Immunofluorescence, Immunohistochemistry-Paraffin

Label

Unconjugated

Antibody Source

Recombinant Monoclonal Rabbit IgG Clone # 033

Format

Azide and BSA Free

Concentration

Please see the vial label for concentration. If unlisted please contact technical services.

Product Specifications

Immunogen

This antibody was obtained from a rabbit immunized with purified, recombinant Human Cystatin C (Accession#: NP_000090.1; Ser27-Ala146).

Specificity

Has cross-reactivity in ELISA with: Human CST5No cross-reactivity in ELISA with: Human CST6Human Fetuin A

Clonality

Monoclonal

Host

Rabbit

Isotype

IgG

Description

This antibody can be stored at 2C-8C for one month without detectable loss of activity. Antibody products are stable for twelve months from date of receipt when stored at -20C to -80C. Avoid repeated freeze-thaw cycles.

Scientific Data Images for Cystatin C Antibody (033) - Azide and BSA Free

Immunocytochemistry/ Immunofluorescence: Cystatin C Antibody (033) [NBP2-89501]

Immunocytochemistry/ Immunofluorescence: Cystatin C Antibody (033) [NBP2-89501]

Immunocytochemistry/Immunofluorescence: Cystatin C Antibody (033) [NBP2-89501] - Staining of CST3 in Hela cells. Cells were fixed with 4% PFA, permeabilzed with 0.1% Triton X-100 in PBS,blocked with 10% serum, and incubated with rabbit anti-Y CST3 monoclonal antibody (dilution ratio 1:60) at 4c overnight. Then cells were stained with the Alexa Fluor(R)488-conjugated Goat Anti-rabbit IgG secondary antibody (green). Positive staining was localized to Cytoplasm.
Immunohistochemistry-Paraffin: Cystatin C Antibody (033) [NBP2-89501]

Immunohistochemistry-Paraffin: Cystatin C Antibody (033) [NBP2-89501]

Immunohistochemistry-Paraffin: Cystatin C Antibody (033) [NBP2-89501] - Staining of human CST3 in human brain with rabbit monoclonal antibody (1:200).
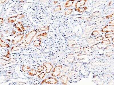
Immunohistochemistry-Paraffin: Cystatin C Antibody (033) [NBP2-89501]

Immunohistochemistry-Paraffin: Cystatin C Antibody (033) [NBP2-89501]

Immunohistochemistry-Paraffin: Cystatin C Antibody (033) [NBP2-89501] - Staining of human CST3 in human kidney with rabbit monoclonal antibody (1:200).

Applications for Cystatin C Antibody (033) - Azide and BSA Free

Application
Recommended Usage

Immunocytochemistry/ Immunofluorescence

1:20-1:100

Immunohistochemistry-Paraffin

1:100-1:500

Formulation, Preparation, and Storage

Purification

Protein A purified

Formulation

0.2 um filtered solution in PBS

Format

Azide and BSA Free

Preservative

No Preservative

Concentration

Please see the vial label for concentration. If unlisted please contact technical services.

Shipping

The product is shipped with polar packs. Upon receipt, store it immediately at the temperature recommended below.

Stability & Storage

Store at 4C short term. Aliquot and store at -20C long term. Avoid freeze-thaw cycles.

Background: Cystatin C

Cystatin C is a secreted cysteine protease inhibitor that inhibits Cathepsins B, H, K, L, and S. Cystatin C serum concentration correlates closely to the glomerular filtration rate (GFR); elevated levels are associated with coronary artery and cardiovascular disease risk. Dysregulation of Cystatin C can modulate tumor growth and metastasis. In humans, the L68Q variant forms dimers and oligomers more easily than wild type protein and is the cause for hereditary Cystatin C amyloid angiopathy.

Alternate Names

ARMD11, CST3, Gamma-trace, Neuroendocrine basic polypeptide, Post-gamma-globulin

Gene Symbol

CST3

Additional Cystatin C Products

Product Documents for Cystatin C Antibody (033) - Azide and BSA Free

Certificate of Analysis

To download a Certificate of Analysis, please enter a lot number in the search box below.

Product Specific Notices for Cystatin C Antibody (033) - Azide and BSA Free

This product is for research use only and is not approved for use in humans or in clinical diagnosis. Primary Antibodies are guaranteed for 1 year from date of receipt.

Loading...
Loading...
Loading...
Loading...