Skip to main content

CYLD Antibody - Azide and BSA Free

Novus Biologicals, part of Bio-Techne | Catalog # NB100-78600

Novus Biologicals, part of Bio-Techne
Catalog #
Availability
Size / Price
Qty
Loading...
NB100-78600

Key Product Details

Species Reactivity

Validated:

Human, Mouse, Rat

Predicted:

Bovine (100%). Backed by our 100% Guarantee.

Applications

Immunohistochemistry, Immunohistochemistry-Paraffin, Western Blot, Immunocytochemistry/ Immunofluorescence

Label

Unconjugated

Antibody Source

Polyclonal Rabbit IgG

Format

Azide and BSA Free

Concentration

Concentrations vary lot to lot. See vial label for concentration. If unlisted please contact technical services.

Product Specifications

Immunogen

Carrier-protein conjugated synthetic peptide encompassing a sequence within the C-terminus region of human CYLD. The exact sequence is proprietary.

Localization

Cytoplasmic, perinuclear region

Clonality

Polyclonal

Host

Rabbit

Isotype

IgG

Theoretical MW

107 kDa.
Disclaimer note: The observed molecular weight of the protein may vary from the listed predicted molecular weight due to post translational modifications, post translation cleavages, relative charges, and other experimental factors.

Scientific Data Images for CYLD Antibody - Azide and BSA Free

Western Blot: CYLD Antibody [NB100-78600]

Western Blot: CYLD Antibody [NB100-78600]

Western Blot: CYLD Antibody [NB100-78600] - A. 50 ug rat brain lysate/extract 7.5 % SDS-PAGECYLD antibody dilution: 1:500.
CYLD Antibody

Western Blot: CYLD Antibody [NB100-78600] -

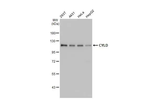
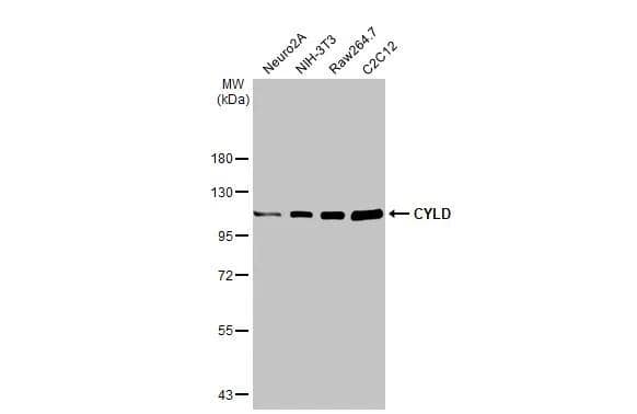
Western Blot: CYLD Antibody [NB100-78600] - Various whole cell extracts (30 ug) were separated by 7.5% SDS-PAGE, and the membrane was blotted with CYLD antibody (NB100-78600) diluted at 1:1000. The HRP-conjugated anti-rabbit IgG antibody was used to detect the primary antibody.
CYLD Antibody - Azide and BSA Free

Western Blot: CYLD Antibody [NB100-78600] -

Various whole cell extracts (30 ug) were separated by 7.5% SDS-PAGE, and the membrane was blotted with CYLD antibody (NB100-78600) diluted at 1:1000. The HRP-conjugated anti-rabbit IgG antibody was used to detect the primary antibody.

Applications for CYLD Antibody - Azide and BSA Free

Application
Recommended Usage

Immunocytochemistry/ Immunofluorescence

1:100-1:1000

Immunohistochemistry

1:100-1:1000

Immunohistochemistry-Paraffin

1:100-1:1000

Western Blot

1:500-1:3000

Formulation, Preparation, and Storage

Purification

Antigen Affinity-purified

Formulation

PBS

Format

Azide and BSA Free

Preservative

No Preservative

Concentration

Concentrations vary lot to lot. See vial label for concentration. If unlisted please contact technical services.

Shipping

The product is shipped with polar packs. Upon receipt, store it immediately at the temperature recommended below.

Stability & Storage

Store at 4C short term. Aliquot and store at -20C long term. Avoid freeze-thaw cycles.

Background: CYLD

CYLinDromatosis 1 (CYLD1) was first identified by Bignell et al. in 2000. which containing mutations responsible for cylindromatosis (CYLD; 132700), and coded by 956 aa, and a splice variant of 953 aa. The CYLD1 protein has 3 cytoskeletal-associated protein-glycine-conserved (CAP-GLY) domains, which are found in proteins that coordinate the attachment of organelles to microtubules, and also with a catalytic domain of ubiquitin carboxy-terminal hydrolases homology. CYLD1 expressed major in fetal brain, testis, and skeletal muscle, and at minor level in adult brain, leukocytes, liver, heart, kidney, spleen, ovary, and lung. CYLD enhances the activitation of NF-kappa-B, TRAF2.

Long Name

Cylindromatosis

Alternate Names

BRSS, CDMT, CYLD1, EAC, MFT1, SBS, TEM, USPL2

Entrez Gene IDs

1540 (Human)

Gene Symbol

CYLD

UniProt

Additional CYLD Products

Product Documents for CYLD Antibody - Azide and BSA Free

Certificate of Analysis

To download a Certificate of Analysis, please enter a lot number in the search box below.

Product Specific Notices for CYLD Antibody - Azide and BSA Free

This product is for research use only and is not approved for use in humans or in clinical diagnosis. Primary Antibodies are guaranteed for 1 year from date of receipt.

Loading...
Loading...
Loading...
Loading...

⚠ WARNING: This product can expose you to chemicals including mercury, which is known to the State of California to cause reproductive toxicity with developmental effects.  For more information go to www.P65Warnings.ca.gov.