Skip to main content

Cyclophilin B Antibody (CL3915) - BSA Free

Novus Biologicals, part of Bio-Techne | Catalog # NBP2-59782

Novus Biologicals, part of Bio-Techne
Catalog #
Availability
Size / Price
Qty
Loading...
NBP2-59782-25ul
NBP2-59782

Key Product Details

Validated by

Knockout/Knockdown

Species Reactivity

Human, Mouse, Rat

Applications

Western Blot, Knockdown Validated

Label

Unconjugated

Antibody Source

Monoclonal Mouse IgG2B Clone # CL3915

Format

BSA Free

Concentration

Concentrations vary lot to lot. See vial label for concentration. If unlisted please contact technical services.

Product Specifications

Immunogen

This antibody was developed using a synthetic peptide derived from P23284, with the exact immunogen sequence remaining proprietary.

Clonality

Monoclonal

Host

Mouse

Isotype

IgG2B

Description

Novus Biologicals Mouse Cyclophilin B Antibody (CL3915) - BSA Free (NBP2-59782) is a monoclonal antibody validated for use in WB. All Novus Biologicals antibodies are covered by our 100% guarantee.

Scientific Data Images for Cyclophilin B Antibody (CL3915) - BSA Free

Western Blot: Cyclophilin B Antibody (CL3915) [NBP2-59782]

Western Blot: Cyclophilin B Antibody (CL3915) [NBP2-59782]

Western Blot: Cyclophilin B Antibody (5479) [NBP2-59782] - Analysis in U-251MG cells transfected with control siRNA, target specific siRNA probe #1 and #2, using Anti-PPIB antibody. Remaining relative intensity is presented. Loading control: Anti-GAPDH.
Western Blot: Cyclophilin B Antibody (CL3915) [NBP2-59782]

Western Blot: Cyclophilin B Antibody (CL3915) [NBP2-59782]

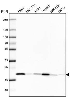
Western Blot: Cyclophilin B Antibody (5479) [NBP2-59782] - Analysis in human cell line HeLa, human cell line HEK 293, human cell line A-431, human cell line HepG2, mouse cell line NIH-3T3 and rat cell line NBT-II.

Applications for Cyclophilin B Antibody (CL3915) - BSA Free

Application
Recommended Usage

Western Blot

1 ug/ml
Application Notes
For IHC-Paraffin, HIER pH 6 retrieval is recommended.

Formulation, Preparation, and Storage

Purification

Protein A purified

Formulation

PBS (pH 7.2) and 40% Glycerol

Format

BSA Free

Preservative

0.02% Sodium Azide

Concentration

Concentrations vary lot to lot. See vial label for concentration. If unlisted please contact technical services.

Shipping

The product is shipped with polar packs. Upon receipt, store it immediately at the temperature recommended below.

Stability & Storage

Store at 4C short term. Aliquot and store at -20C long term. Avoid freeze-thaw cycles.

Background: Cyclophilin B

Cyclophilin B (SCYLP, CyPB and peptidyl-prolyl cis-trans isomerase B) is a 24 kDa glycoprotein member of the B subfamily of the cyclophilin-type PPIase family of molecules. It is both secreted and retained in the ER. When secreted, Cyclophilin B mediates chemotaxis and T cell adhesion to fibronectin. This is likely due to its prolyl cis/trans isomerase activity. Intracellularly, Cyclophilin B appears to serve as a molecular chaperone for molecules destined for secretion. It does so via stabilization, and facilitating the activity of additional chaperones. The human Cyclophilin B precursor is 216 amino acids (aa) in length. It contains a 25 aa signal sequence plus a 191 aa mature region. There is a partial heparin-binding sequence (aa 27-34), a PPIase domain (aa 47-204) and a C-terminal ER retention motif (aa 213-216). Over aa 34-216, the human and mouse sequences are 95% aa identical.

Alternate Names

CYP-S1, CYPB, PPIB, S-cyclophilin, SCYLP

Gene Symbol

PPIB

Additional Cyclophilin B Products

Product Documents for Cyclophilin B Antibody (CL3915) - BSA Free

Certificate of Analysis

To download a Certificate of Analysis, please enter a lot number in the search box below.

Product Specific Notices for Cyclophilin B Antibody (CL3915) - BSA Free

This product is for research use only and is not approved for use in humans or in clinical diagnosis. Primary Antibodies are guaranteed for 1 year from date of receipt.

Loading...
Loading...
Loading...
Loading...