Skip to main content

Cyclophilin A Antibody - BSA Free

Novus Biologicals, part of Bio-Techne | Catalog # NBP1-30993

Novus Biologicals, part of Bio-Techne
Catalog #
Availability
Size / Price
Qty
Loading...
NBP1-30993

Key Product Details

Validated by

Knockout/Knockdown, Orthogonal Validation

Species Reactivity

Validated:

Human, Mouse, Rat, Hamster

Cited:

Rat

Predicted:

Feline (100%), Porcine (100%), Rhesus Macaque (100%), Sheep (100%). Backed by our 100% Guarantee.

Applications

Validated:

Immunohistochemistry, Immunohistochemistry-Paraffin, Western Blot, Immunocytochemistry/ Immunofluorescence, Knockdown Validated

Cited:

Immunohistochemistry, IF/IHC

Label

Unconjugated

Antibody Source

Polyclonal Rabbit IgG

Format

BSA Free

Concentration

Concentrations vary lot to lot. See vial label for concentration. If unlisted please contact technical services.

Product Specifications

Immunogen

Carrier-protein conjugated synthetic peptide encompassing a sequence within the C-terminus region of human Cyclophilin A. The exact sequence is proprietary.

Reactivity Notes

Cat (100%).

Localization

Cytoplasm

Clonality

Polyclonal

Host

Rabbit

Isotype

IgG

Theoretical MW

18 kDa.
Disclaimer note: The observed molecular weight of the protein may vary from the listed predicted molecular weight due to post translational modifications, post translation cleavages, relative charges, and other experimental factors.

Description

Novus Biologicals Rabbit Cyclophilin A Antibody - BSA Free (NBP1-30993) is a polyclonal antibody validated for use in IHC, WB and ICC/IF. Anti-Cyclophilin A Antibody: Cited in 2 publications. All Novus Biologicals antibodies are covered by our 100% guarantee.

Scientific Data Images for Cyclophilin A Antibody - BSA Free

Western Blot: Cyclophilin A Antibody [NBP1-30993]

Western Blot: Cyclophilin A Antibody [NBP1-30993]

Western Blot: Cyclophilin A Antibody [NBP1-30993] - (30 ug of whole cell lysate) A: HepG2 12% SDS PAGE diluted at 1:3000
Immunocytochemistry/ Immunofluorescence: Cyclophilin A Antibody [NBP1-30993]

Immunocytochemistry/ Immunofluorescence: Cyclophilin A Antibody [NBP1-30993]

Immunocytochemistry/Immunofluorescence: Cyclophilin A Antibody [NBP1-30993] - Methanol-fixed HeLa, using Cyclophilin A antibody at 1:200 dilution.
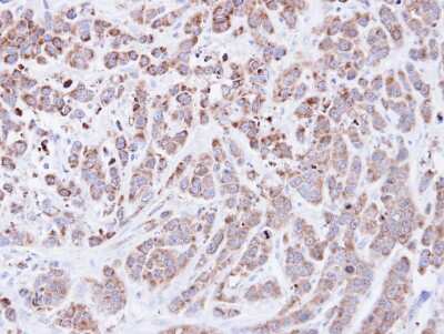
Immunohistochemistry-Paraffin: Cyclophilin A Antibody [NBP1-30993]

Immunohistochemistry-Paraffin: Cyclophilin A Antibody [NBP1-30993]

Immunohistochemistry-Paraffin: Cyclophilin A Antibody [NBP1-30993] - MDA-MB-468 xenograft, using Cyclophilin A antibody at 1:500 dilution. Antigen Retrieval: Trilogy™ (EDTA based, pH 8.0) buffer, 15min.

Applications for Cyclophilin A Antibody - BSA Free

Application
Recommended Usage

Immunocytochemistry/ Immunofluorescence

1:100-1:1000

Immunohistochemistry

1:100-1:1000

Immunohistochemistry-Paraffin

1:100-1:1000

Western Blot

1:5000-1:20000

Formulation, Preparation, and Storage

Purification

Antigen Affinity-purified

Formulation

0.1M Tris, 0.1M Glycine, 20% Glycerol

Format

BSA Free

Preservative

0.01% Thimerosal

Concentration

Concentrations vary lot to lot. See vial label for concentration. If unlisted please contact technical services.

Shipping

The product is shipped with polar packs. Upon receipt, store it immediately at the temperature recommended below.

Stability & Storage

Store at 4C short term. Aliquot and store at -20C long term. Avoid freeze-thaw cycles.

Background: Cyclophilin A

This gene encodes a member of the peptidyl-prolyl cis-trans isomerase (PPIase) family. PPIases catalyze the cis-trans isomerization of proline imidic peptide bonds in oligopeptides and accelerate the folding of proteins. The encoded protein is a cyclosporin binding-protein and may play a role in cyclosporin A-mediated immunosuppression. The protein can also interact with several HIV proteins, including p55 gag, Vpr, and capsid protein, and has been shown to be necessary for the formation of infectious HIV virions. Multiple pseudogenes that map to different chromosomes have been reported.

Alternate Names

CYPA, CYPH, PPIA, Rotamase

Gene Symbol

PPIA

Additional Cyclophilin A Products

Product Documents for Cyclophilin A Antibody - BSA Free

Certificate of Analysis

To download a Certificate of Analysis, please enter a lot number in the search box below.

Product Specific Notices for Cyclophilin A Antibody - BSA Free

This product is for research use only and is not approved for use in humans or in clinical diagnosis. Primary Antibodies are guaranteed for 1 year from date of receipt.

Loading...
Loading...
Loading...
Loading...

⚠ WARNING: This product can expose you to chemicals including mercury, which is known to the State of California to cause reproductive toxicity with developmental effects.  For more information go to www.P65Warnings.ca.gov.