Skip to main content

Cyclophilin 40 Antibody (PSH02-71)

Novus Biologicals, part of Bio-Techne | Catalog # NBP3-32238

Recombinant Monoclonal Antibody
Novus Biologicals, part of Bio-Techne
Catalog #
Availability
Size / Price
Qty
Loading...
NBP3-32238

Key Product Details

Species Reactivity

Human, Monkey

Applications

Immunohistochemistry, Immunohistochemistry-Paraffin, Western Blot, Flow Cytometry, Immunocytochemistry/ Immunofluorescence

Label

Unconjugated

Antibody Source

Recombinant Monoclonal Rabbit IgG Clone # PSH02-71 expressed in HEK293

Concentration

1 mg/ml

Product Specifications

Immunogen

Recombinant protein within human Cyclophilin 40 aa 151-370 / 370. (Uniprot: Q08752)

Localization

Cytoplasm, Nucleus, nucleolus, nucleoplasm.

Clonality

Monoclonal

Host

Rabbit

Isotype

IgG

Theoretical MW

47 kDa.
Disclaimer note: The observed molecular weight of the protein may vary from the listed predicted molecular weight due to post translational modifications, post translation cleavages, relative charges, and other experimental factors.

Description

Novus Biologicals Rabbit Cyclophilin 40 Antibody (PSH02-71) (NBP3-32238) is a recombinant monoclonal antibody validated for use in IHC, WB, Flow and ICC/IF. All Novus Biologicals antibodies are covered by our 100% guarantee.

Scientific Data Images for Cyclophilin 40 Antibody (PSH02-71)

Cyclophilin 40 Antibody (PSH02-71)

Western Blot: Cyclophilin 40 Antibody (PSH02-71) [NBP3-32238]

Western Blot: Cyclophilin 40 Antibody (PSH02-71) [NBP3-32238] - Western blot analysis of Cyclophilin 40 on different lysates with Rabbit anti-Cyclophilin 40 antibody (NBP3-32238) at 1/1,000 dilution.

Lane 1: HeLa cell lysate
Lane 2: 293T cell lysate
Lane 3: K-562 cell lysate
Lane 4: HepG2 cell lysate
Lane 5: MCF7 cell lysate
Lane 6: Jurkat cell lysate
Lane 7: COS-1 cell lysate
Lane 8: Human liver tissue lysate

Lysates/proteins at 30 ug/Lane.

Predicted band size: 41 kDa
Observed band size: 47 kDa

Exposure time: 1 minutes 2 seconds;

4-20% SDS-PAGE gel.

Proteins were transferred to a PVDF membrane and blocked with 5% NFDM/TBST for 1 hour at room temperature. The primary antibody (NBP3-32238) at 1/1,000 dilution was used in 5% NFDM/TBST at 4C overnight. Goat Anti-Rabbit IgG - HRP Secondary Antibody at 1/50,000 dilution was used for 1 hour at room temperature.
Cyclophilin 40 Antibody (PSH02-71)

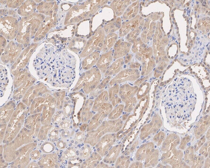
Immunohistochemistry: Cyclophilin 40 Antibody (PSH02-71) [NBP3-32238]

Immunohistochemistry: Cyclophilin 40 Antibody (PSH02-71) [NBP3-32238] - Immunohistochemical analysis of paraffin-embedded human kidney tissue with Rabbit anti-Cyclophilin 40 antibody (NBP3-32238) at 1/2,000 dilution.

The section was pre-treated using heat mediated antigen retrieval with Tris-EDTA buffer (pH 9.0) for 20 minutes. The tissues were blocked in 1% BSA for 20 minutes at room temperature, washed with ddH2O and PBS, and then probed with the primary antibody (NBP3-32238) at 1/2,000 dilution for 1 hour at room temperature. The detection was performed using an HRP conjugated compact polymer system. DAB was used as the chromogen. Tissues were counterstained with hematoxylin and mounted with DPX.
Cyclophilin 40 Antibody (PSH02-71)

Immunocytochemistry/ Immunofluorescence: Cyclophilin 40 Antibody (PSH02-71) [NBP3-32238]

Immunocytochemistry/ Immunofluorescence: Cyclophilin 40 Antibody (PSH02-71) [NBP3-32238] - Immunocytochemistry analysis of 293T cells labeling Cyclophilin 40 with Rabbit anti-Cyclophilin 40 antibody (NBP3-32238) at 1/100 dilution.

Cells were fixed in 100% precooled methanol for 5 minutes at room temperature, then blocked with 1% BSA in 10% negative goat serum for 1 hour at room temperature. Cells were then incubated with Rabbit anti-Cyclophilin 40 antibody (NBP3-32238) at 1/100 dilution in 1% BSA in PBST overnight at 4 ℃. Goat Anti-Rabbit IgG H&L (iFluor™ 488) was used as the secondary antibody at 1/1,000 dilution. PBS instead of the primary antibody was used as the secondary antibody only control. Nuclear DNA was labelled in blue with DAPI.

Beta tubulin (red) was stained at 1/100 dilution overnight at +4℃. Goat Anti-Mouse IgG H&L (iFluor™ 594) was used as the secondary antibody at 1/1,000 dilution.

Applications for Cyclophilin 40 Antibody (PSH02-71)

Application
Recommended Usage

Flow Cytometry

1:1000

Immunocytochemistry/ Immunofluorescence

1:100

Immunohistochemistry-Paraffin

1:2000

Western Blot

1:1000

Formulation, Preparation, and Storage

Purification

Protein A purified

Formulation

1*TBS (pH7.4), 0.1% BSA and 40% Glycerol

Preservative

0.05% Sodium Azide

Concentration

1 mg/ml

Shipping

The product is shipped with polar packs. Upon receipt, store it immediately at the temperature recommended below.

Stability & Storage

Store at 4C short term. Aliquot and store at -20C long term. Avoid freeze-thaw cycles.

Background: Cyclophilin 40

Immunophilins are a family of soluble cytosolic receptors capable of binding to one of two major immunosuppressant agents: cyclosporin A (CsA) or FK506. Proteins that bind FK506 are termed FK506 Binding Proteins (FKBPs) and those that bind cyclosporin A are called cyclophilins (CyP). Both CyP:CsA and FKBP:FK506 complexes have been shown to inhibit calcineurin, a calcium and calmodulin dependent protein phosphatase which has been implicated as an important signaling enzyme in T-cell activation, providing a possible mechanism of immunosuppression by CsA and FK506. Immunophilins function as peptidyl prolyl cis-trans-isomerases (PPIase) whose activity is inhibited by their respective immunosuppressant compounds. As PPIase's, immunophilins accelerate folding of some proteins both in vivo and in vitro by catalyzing slow steps in the initial folding and rearrangement of proline containing proteins. CyP 40, a 40 kDa protein, shares significant homology with smaller CyPA (CyP 18) and FKBP59. CyP 40 exhibits the characteristic CsA binding and isomerase activity of CyP 18, though these activities appear to be less with CyP 40 than with Cyp 18. Like FKBP59, CyP 40 has been found in progesterone receptor complexes. CyP 40 is expressed at similar levels in many tissues.

Alternate Names

40 kDa peptidyl-prolyl cis-trans isomerase, 40 kDa peptidyl-prolyl cis-trans isomerase D, cyclophilin D, Cyclophilin-40, Cyclophilin-related protein, CYP40, CYP-40cyclophilin 40, CYPD, EC 5.2.1.8, MGC33096, peptidyl-prolyl cis-trans isomerase D, peptidylprolyl isomerase D, peptidylprolyl isomerase D (cyclophilin D), PPIase D, Rotamase D

Gene Symbol

PPID

Additional Cyclophilin 40 Products

Product Documents for Cyclophilin 40 Antibody (PSH02-71)

Certificate of Analysis

To download a Certificate of Analysis, please enter a lot number in the search box below.

Product Specific Notices for Cyclophilin 40 Antibody (PSH02-71)

This product is for research use only and is not approved for use in humans or in clinical diagnosis. Primary Antibodies are guaranteed for 1 year from date of receipt.

Loading...
Loading...
Loading...
Loading...
Loading...