Skip to main content

Cyclophilin 40 Antibody (4C7) - Azide and BSA Free

Novus Biologicals, part of Bio-Techne | Catalog # H00005481-M01

Novus Biologicals, part of Bio-Techne
Catalog #
Availability
Size / Price
Qty
Loading...
H00005481-M01

Key Product Details

Species Reactivity

Human

Applications

Western Blot, ELISA, Sandwich ELISA, Immunocytochemistry/ Immunofluorescence

Label

Unconjugated

Antibody Source

Monoclonal Mouse IgG2a Kappa Clone # 4C7

Format

Azide and BSA Free

Concentration

Concentrations vary lot to lot. See vial label for concentration. If unlisted please contact technical services.

Product Specifications

Immunogen

PPID (NP_005029.1, 1 a.a. ~ 370 a.a) full-length recombinant protein with GST tag. MW of the GST tag alone is 26 KDa. MSHPSPQAKPSNPSNPRVFFDVDIGGERVGRIVLELFADIVPKTAENFRALCTGEKGIGHTTGKPLHFKGCPFHRIIKKFMIQGGDFSNQNGTGGESIYGEKFEDENFHYKHDREGLLSMANAGRNTNGSQFFITTVPTPHLDGKHVVFGQVIKGIGVARILENVEVKGEKPAKLCVIAECGELKEGDDGGIFPKDGSGDSHPDFPEDADIDLKDVDKILLITEDLKNIGNTFFKSQNWEMAIKKYAEVLRYVDSSKAVIETADRAKLQPIALSCVLNIGACKLKMSNWQGAIDSCLEALELDPSNTKALYRRAQGWQGLKEYDQALADLKKAQGIAPEDKAIQAELLKVKQKIKAQKDKEKAVYAKMFA

Specificity

This product is specific for Human PPID monoclonal antibody (M01), clone 4C7 [Gene ID: 5481].

Clonality

Monoclonal

Host

Mouse

Isotype

IgG2a Kappa

Description

Quality control test: Antibody Reactive Against Recombinant Protein.

Scientific Data Images for Cyclophilin 40 Antibody (4C7) - Azide and BSA Free

Western Blot: Cyclophilin 40 Antibody (4C7) [H00005481-M01]

Western Blot: Cyclophilin 40 Antibody (4C7) [H00005481-M01]

Western Blot: Cyclophilin 40 Antibody (4C7) [H00005481-M01] - Analysis of PPID expression in transfected 293T cell line by PPID monoclonal antibody (M01), clone 4C7.Lane 1: PPID transfected lysate (Predicted MW: 40.8 KDa).Lane 2: Non-transfected lysate.
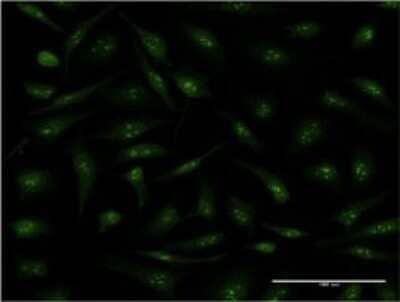
Immunocytochemistry/ Immunofluorescence: Cyclophilin 40 Antibody (4C7) [H00005481-M01]

Immunocytochemistry/ Immunofluorescence: Cyclophilin 40 Antibody (4C7) [H00005481-M01]

Immunocytochemistry/Immunofluorescence: Cyclophilin 40 Antibody (4C7) [H00005481-M01] - Analysis of monoclonal antibody to PPID on HeLa cell . Antibody concentration 10 ug/ml.
Sandwich ELISA: Cyclophilin 40 Antibody (4C7) [H00005481-M01] - Detection limit for recombinant GST tagged PPID is 3 ng/ml as a capture antibody.

Applications for Cyclophilin 40 Antibody (4C7) - Azide and BSA Free

Application
Recommended Usage

ELISA

Optimal dilutions of this antibody should be experimentally determined.

Immunocytochemistry/ Immunofluorescence

Optimal dilutions of this antibody should be experimentally determined.

Sandwich ELISA

Optimal dilutions of this antibody should be experimentally determined.

Western Blot

Optimal dilutions of this antibody should be experimentally determined.

Formulation, Preparation, and Storage

Purification

IgG purified

Formulation

In 1x PBS, pH 7.4

Format

Azide and BSA Free

Preservative

No Preservative

Concentration

Concentrations vary lot to lot. See vial label for concentration. If unlisted please contact technical services.

Shipping

The product is shipped with polar packs. Upon receipt, store it immediately at the temperature recommended below.

Stability & Storage

Aliquot and store at -20C or -80C. Avoid freeze-thaw cycles.

Background: Cyclophilin 40

Immunophilins are a family of soluble cytosolic receptors capable of binding to one of two major immunosuppressant agents: cyclosporin A (CsA) or FK506. Proteins that bind FK506 are termed FK506 Binding Proteins (FKBPs) and those that bind cyclosporin A are called cyclophilins (CyP). Both CyP:CsA and FKBP:FK506 complexes have been shown to inhibit calcineurin, a calcium and calmodulin dependent protein phosphatase which has been implicated as an important signaling enzyme in T-cell activation, providing a possible mechanism of immunosuppression by CsA and FK506. Immunophilins function as peptidyl prolyl cis-trans-isomerases (PPIase) whose activity is inhibited by their respective immunosuppressant compounds. As PPIase's, immunophilins accelerate folding of some proteins both in vivo and in vitro by catalyzing slow steps in the initial folding and rearrangement of proline containing proteins. CyP 40, a 40 kDa protein, shares significant homology with smaller CyPA (CyP 18) and FKBP59. CyP 40 exhibits the characteristic CsA binding and isomerase activity of CyP 18, though these activities appear to be less with CyP 40 than with Cyp 18. Like FKBP59, CyP 40 has been found in progesterone receptor complexes. CyP 40 is expressed at similar levels in many tissues.

Alternate Names

40 kDa peptidyl-prolyl cis-trans isomerase, 40 kDa peptidyl-prolyl cis-trans isomerase D, cyclophilin D, Cyclophilin-40, Cyclophilin-related protein, CYP40, CYP-40cyclophilin 40, CYPD, EC 5.2.1.8, MGC33096, peptidyl-prolyl cis-trans isomerase D, peptidylprolyl isomerase D, peptidylprolyl isomerase D (cyclophilin D), PPIase D, Rotamase D

Gene Symbol

PPID

Additional Cyclophilin 40 Products

Product Documents for Cyclophilin 40 Antibody (4C7) - Azide and BSA Free

Certificate of Analysis

To download a Certificate of Analysis, please enter a lot number in the search box below.

Product Specific Notices for Cyclophilin 40 Antibody (4C7) - Azide and BSA Free

This product is produced by and distributed for Abnova, a company based in Taiwan.

This product is for research use only and is not approved for use in humans or in clinical diagnosis. Primary Antibodies are guaranteed for 1 year from date of receipt.

Loading...
Loading...
Loading...
Loading...