Cyclin E1 Antibody (rCCNE1/4936) - Azide and BSA Free
Novus Biologicals, part of Bio-Techne | Catalog # NBP3-49554
Recombinant Monoclonal Antibody
Conjugate
Catalog #
Key Product Details
Species Reactivity
Human
Applications
Immunohistochemistry, Western Blot
Label
Unconjugated
Antibody Source
Recombinant Monoclonal Mouse IgG1 kappa Clone # rCCNE1/4936
Format
Azide and BSA Free
Concentration
Please see the vial label for concentration. If unlisted please contact technical services.
Product Specifications
Immunogen
Recombinant human Cyclin E (CCNE1) protein fragment (around aa 10-176) (exact sequence is proprietary) (Uniprot: P24864)
Localization
Nucleus
Clonality
Monoclonal
Host
Mouse
Isotype
IgG1 kappa
Theoretical MW
53 kDa.
Disclaimer note: The observed molecular weight of the protein may vary from the listed predicted molecular weight due to post translational modifications, post translation cleavages, relative charges, and other experimental factors.
Disclaimer note: The observed molecular weight of the protein may vary from the listed predicted molecular weight due to post translational modifications, post translation cleavages, relative charges, and other experimental factors.
Description
Prepared in 10mM PBS WITHOUT BSA & azide at 1.0mg/ml. Also available with 0.05% BSA & 0.05% azide.
Antibody with azide - store at 2 to 8 C. Antibody without azide - store at -20 to -80 C. Antibody is stable for 24 months. Non-hazardous.
Antibody with azide - store at 2 to 8 C. Antibody without azide - store at -20 to -80 C. Antibody is stable for 24 months. Non-hazardous.
Scientific Data Images for Cyclin E1 Antibody (rCCNE1/4936) - Azide and BSA Free
Western Blot: Cyclin E1 Antibody (rCCNE1/4936) - Azide and BSA Free [NBP3-49554] -
Western blot analysis of HCT116 cell lysate using Cyclin E1 Antibody (rCCNE1/4936) - Azide and BSA Free.Immunohistochemistry-Paraffin: Cyclin E1 Antibody (rCCNE1/4936) - Azide and BSA Free [NBP3-49554] -
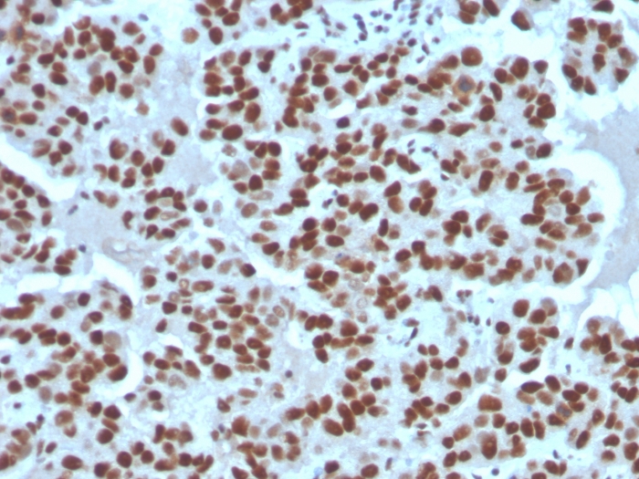
Formalin-fixed, paraffin-embedded human breast carcinoma stained with Cyclin E1 Antibody (rCCNE1/4936) - Azide and BSA Free.Immunohistochemistry-Paraffin: Cyclin E1 Antibody (rCCNE1/4936) - Azide and BSA Free [NBP3-49554] -
Formalin-fixed, paraffin-embedded human ovarian carcinoma stained with Cyclin E1 Antibody (rCCNE1/4936) - Azide and BSA Free.Applications for Cyclin E1 Antibody (rCCNE1/4936) - Azide and BSA Free
Application
Recommended Usage
Immunohistochemistry
Optimal dilutions of this antibody should be experimentally determined.
Western Blot
Optimal dilutions of this antibody should be experimentally determined.
Formulation, Preparation, and Storage
Purification
Protein A or G purified
Formulation
10 mM PBS
Format
Azide and BSA Free
Preservative
No Preservative
Concentration
Please see the vial label for concentration. If unlisted please contact technical services.
Shipping
The product is shipped with polar packs. Upon receipt, store it immediately at the temperature recommended below.
Stability & Storage
Store at -20 to -80C. Avoid freeze-thaw cycles.
Background: Cyclin E1
Alternate Names
CCNE, CCNE1
Gene Symbol
CCNE1
Additional Cyclin E1 Products
Product Documents for Cyclin E1 Antibody (rCCNE1/4936) - Azide and BSA Free
Product Specific Notices for Cyclin E1 Antibody (rCCNE1/4936) - Azide and BSA Free
This product is for research use only and is not approved for use in humans or in clinical diagnosis. Primary Antibodies are guaranteed for 1 year from date of receipt.
Loading...
Loading...
Loading...
Loading...