Skip to main content

Cyclin D1 Antibody

Novus Biologicals, part of Bio-Techne | Catalog # NBP2-24695

Novus Biologicals, part of Bio-Techne
Catalog #
Availability
Size / Price
Qty
Loading...
NBP2-24695
NBP2-24695SS

Key Product Details

Species Reactivity

Validated:

Human

Cited:

Human, Mouse

Predicted:

Bovine (94%), Canine (100%), Chicken (94%), Chimpanzee (100%), Equine (100%), Mouse (100%), Orangutan (100%), Zebrafish (94%). Backed by our 100% Guarantee.

Applications

Validated:

Multiplex Immunofluorescence, Immunohistochemistry, Immunohistochemistry-Paraffin, Western Blot

Cited:

Immunohistochemistry-Frozen, Western Blot

Label

Unconjugated

Antibody Source

Polyclonal Rabbit IgG

Concentration

0.5 mg/ml

Product Specifications

Immunogen

A portion of amino acid 250 to 300 of human Cyclin D1 was used as immunogen.

Reactivity Notes

The eIF3J amino acid sequence used as immunogen for this antibody is 100% homologous in horse, chimpanzee, rat, dog, mouse, orangutan, opossum and platypus, 94% homologous in cow, zebrafish and chicken and 76% homologous in Tetradon .

Clonality

Polyclonal

Host

Rabbit

Isotype

IgG

Description

Novus Biologicals Rabbit Cyclin D1 Antibody (NBP2-24695) is a polyclonal antibody validated for use in Multiplex Immunofluorescence, IHC and WB. Anti-Cyclin D1 Antibody: Cited in 4 publications. All Novus Biologicals antibodies are covered by our 100% guarantee.

Scientific Data Images for Cyclin D1 Antibody

Cyclin D1 Antibody CCND1 in Human Hodgkin’s Lymphoma via seqIF™ staining on COMET™

CCND1 in Human Hodgkin’s Lymphoma via seqIF™ staining on COMET™

CCND1 was detected in immersion fixed paraffin-embedded sections of human Hodgkin’s Lymphoma using Rabbit Anti-Human CCND1, Monoclonal Antibody (Catalog #NBP2-24695) at 25ug/mL at 37 ° Celsius for 4 minutes. Before incubation with the primary antibody, tissue underwent an all-in-one dewaxing and antigen retrieval preprocessing using PreTreatment Module (PT Module) and Dewax and HIER Buffer H (pH 9; Epredia Catalog # TA-999-DHBH).Tissue was stained using the Alexa Fluor™ Plus 647 Goat anti-Rabbit IgG Secondary Antibody at 1:200 at 37 ° Celsius for 2 minutes. (Yellow; Lunaphore Catalog # DR647RB) and counterstained with DAPI (blue; Lunaphore Catalog # DR100). Specific staining was localized to the nucleus. Protocol available in COMET™ Panel Builder.
Western Blot: Cyclin D1 Antibody [NBP2-24695]

Western Blot: Cyclin D1 Antibody [NBP2-24695]

Western Blot: Cyclin D1 Antibody [NBP2-24695] - Analysis of 1) mouse C2C12 and 2) mouse NIH 3T3 lysate using Cyclin D1 antibody at 5 ug/ml. Goat anti-rabbit Ig HRP secondary antibody and PicoTect ECL substrate solution were used for this test.
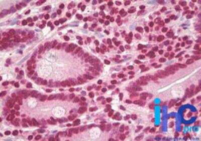
Immunohistochemistry-Paraffin: Cyclin D1 Antibody [NBP2-24695]

Immunohistochemistry-Paraffin: Cyclin D1 Antibody [NBP2-24695]

Immunohistochemistry-Paraffin: Cyclin D1 Antibody [NBP2-24695] - Formalin-fixed, paraffin-embedded human small intestine stained with Cyclin D1 antibody at 10 ug/ml.

Applications for Cyclin D1 Antibody

Application
Recommended Usage

Immunohistochemistry-Paraffin

5-10 ug/ml

Multiplex Immunofluorescence

25ug/mL

Western Blot

4-6 ug/ml

Formulation, Preparation, and Storage

Purification

Protein A purified

Formulation

PBS and 0.05% BSA

Preservative

0.05% Sodium Azide

Concentration

0.5 mg/ml

Shipping

The product is shipped with polar packs. Upon receipt, store it immediately at the temperature recommended below.

Stability & Storage

Store at -20C. Avoid freeze-thaw cycles.

Background: Cyclin D1

During the cell cycle of most somatic cells, DNA synthesis (S-phase) and mitosis (M-phase) are separated by two gap phases (G1 and G2) of varying duration. Thus, a typical eukaryotic cell sequentially passes through G1, S, G2, and M and back into G1 during a single cycle.12 Regulation of cell cycle progression in eukaryotic cells depends on the expression of cyclin proteins.13 These proteins are the regulatory subunits of the cyclin dependent kinases (CDKs), which are responsible for the phosphorylation of several cellular targets. Complexes of cyclins and CDKs play a key role in cell cycle control. Within the complexes, the cyclin subunit serves a regulatory role, whereas CDKs have a catalytic protein kinase activity.14 Members of the cyclin family of proteins combine with a CDK subunit to form the active kinase, which initiates G2 to M and G1 to S transition. The latter are controlled by cyclins termed G1 cyclins, which commit the cell to DNA replication. Therefore, the cell cycle can be considered as a cyclin cycle which is controlled by biochemical modifications and formation of complex(es) with CDKs.15 At least five candidate G1-phase cyclins, termed cyclins C, D1 , D2 , D3 , and E have been identified in mammalian cells. Each of these cyclins can associate with one or more of the CDK family members. D-type cyclins are induced during the G1 phase of the mammalian cell cycle in response to a variety of mitogenic growth factors. The three distinct members of the D-type cyclin family are differentially and combinatorially xpressed in various cell lineages. Once induced, the D-type cyclins accumulate in complexes with CDKs, whose kinase activity is thought to be necessary for driving cells into S phase. The major catalytic partners of the D-type cyclins are CDK4 and CDK6, but at least some D-type cyclins also interat with other CDKs, including CDK2 and CDK5. Cyclin D1- and D2-associated CDK4 and/or CDK6 kinase activities have been detected in mid-G1, prior to the activation of any other known CDK, and they culminate in late G1 phase. The cyclin D3-associated CDK4 and/or CDK6 exhibit kinase activities at the G1/S transition. Cyclins D1 , D2 and D3 can be distinguished by their slightly different mobilities on denaturing gels. Under these conditions, the apparent masses are 36, 33-35 and 31-34 kD for cyclins D1 , D2 and D3 , respectively. Because D-type cyclins probably serve as integrators of growth factor-induced signals with the cell cycle clock, aberrant expression of these proteins might play a role in disrupting the normal timing of events governing G1 progression and, in so doing, contribute to oncogenesis. Indeed, a link between tumor formation and inappropriate expression of cyclins has been established.16,17 Overexpression of this protein as a result of chromosomal rearrangement, occurs in parathyroid tumors and centrocytic lymphomas, and amplification of the cyclin D1 gene has been observed in a significant percentage of other cancers, including breast, squamous, and esophageal arcinomas. Immunochemical techniques provide a convenient and sensitive method for detection of these cyclins in human tumor tissues. Such assays facilitate studies directed toward correlating the phenotypic subtypes and aggressiveness of particular human tumors known to exhibit cyclin D1 overexpression and enable studies with other types in which cyclins D2 and D3 are similarly implicated in pathogenesis. The availability of monoclonal antibody reacting specifically with cyclin D1 enables the subcellular detection and localization of cyclin D1 and the measurement of relative differences in cyclin D1 levels as a function of cell cycle phase.

Alternate Names

Bcl-1, CCND1, Cyl-1, PRAD1

Gene Symbol

CCND1

Additional Cyclin D1 Products

Product Documents for Cyclin D1 Antibody

Certificate of Analysis

To download a Certificate of Analysis, please enter a lot number in the search box below.

Product Specific Notices for Cyclin D1 Antibody

This product is for research use only and is not approved for use in humans or in clinical diagnosis. Primary Antibodies are guaranteed for 1 year from date of receipt.

Loading...
Loading...
Loading...
Loading...