CYB5R1 Antibody - BSA Free
Novus Biologicals, part of Bio-Techne | Catalog # NBP3-35726
Key Product Details
Species Reactivity
Human, Rat
Applications
Immunohistochemistry, Immunohistochemistry-Paraffin, Western Blot, ELISA
Label
Unconjugated
Antibody Source
Polyclonal Rabbit IgG
Format
BSA Free
Concentration
Please see the vial label for concentration. If unlisted please contact technical services.
Product Specifications
Immunogen
Recombinant fusion protein containing a sequence corresponding to amino acids 1-305 of human CYB5R1 (NP_057327.2).
Sequence:
MGIQTSPVLLASLGVGLVTLLGLAVGSYLVRRSRRPQVTLLDPNEKYLLRLLDKTTVSHNTKRFRFALPTAHHTLGLPVGKHIYLSTRIDGSLVIRPYTPVTSDEDQGYVDLVIKVYLKGVHPKFPEGGKMSQYLDSLKVGDVVEFRGPSGLLTYTGKGHFNIQPNKKSPPEPRVAKKLGMIAGGTGITPMLQLIRAILKVPEDPTQCFLLFANQTEKDIILREDLEELQARYPNRFKLWFTLDHPPKDWAYSKGFVTADMIREHLPAPGDDVLVLLCGPPPMVQLACHPNLDKLGYSQKMRFTY
Sequence:
MGIQTSPVLLASLGVGLVTLLGLAVGSYLVRRSRRPQVTLLDPNEKYLLRLLDKTTVSHNTKRFRFALPTAHHTLGLPVGKHIYLSTRIDGSLVIRPYTPVTSDEDQGYVDLVIKVYLKGVHPKFPEGGKMSQYLDSLKVGDVVEFRGPSGLLTYTGKGHFNIQPNKKSPPEPRVAKKLGMIAGGTGITPMLQLIRAILKVPEDPTQCFLLFANQTEKDIILREDLEELQARYPNRFKLWFTLDHPPKDWAYSKGFVTADMIREHLPAPGDDVLVLLCGPPPMVQLACHPNLDKLGYSQKMRFTY
Clonality
Polyclonal
Host
Rabbit
Isotype
IgG
Theoretical MW
34 kDa.
Disclaimer note: The observed molecular weight of the protein may vary from the listed predicted molecular weight due to post translational modifications, post translation cleavages, relative charges, and other experimental factors.
Disclaimer note: The observed molecular weight of the protein may vary from the listed predicted molecular weight due to post translational modifications, post translation cleavages, relative charges, and other experimental factors.
Description
Novus Biologicals Rabbit CYB5R1 Antibody - BSA Free (NBP3-35726) is a polyclonal antibody validated for use in IHC, WB and ELISA. All Novus Biologicals antibodies are covered by our 100% guarantee.
Scientific Data Images for CYB5R1 Antibody - BSA Free
Western Blot: CYB5R1 Antibody [NBP3-35726] -
Western Blot: CYB5R1 Antibody [NBP3-35726] - Western blot analysis of various lysates using CYB5R1 Rabbit pAb at 1:3000 dilution.Secondary antibody: HRP-conjugated Goat anti-Rabbit IgG (H+L) at 1:10000 dilution.
Lysates/proteins: 25ug per lane.
Blocking buffer: 3% nonfat dry milk in TBST.
Detection: ECL Basic Kit.
Exposure time: 90s.
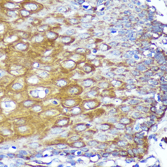
Immunohistochemistry: CYB5R1 Antibody [NBP3-35726] -
Immunohistochemistry: CYB5R1 Antibody [NBP3-35726] - Immunohistochemistry analysis of paraffin-embedded Human esophageal using CYB5R1 Rabbit pAb at dilution of 1:100 (40x lens). Microwave antigen retrieval performed with 0.01M PBS Buffer (pH 7.2) prior to IHC staining.Immunohistochemistry: CYB5R1 Antibody [NBP3-35726] -
Immunohistochemistry: CYB5R1 Antibody [NBP3-35726] - Immunohistochemistry analysis of paraffin-embedded Rat ovary using CYB5R1 Rabbit pAb at dilution of 1:100 (40x lens). Microwave antigen retrieval performed with 0.01M PBS Buffer (pH 7.2) prior to IHC staining.Applications for CYB5R1 Antibody - BSA Free
Application
Recommended Usage
Immunohistochemistry-Paraffin
1:50 - 1:200
Western Blot
1:500 - 1:2000
Formulation, Preparation, and Storage
Purification
Affinity purified
Formulation
PBS (pH 7.3), 50% glycerol
Format
BSA Free
Preservative
0.01% Thimerosal
Concentration
Please see the vial label for concentration. If unlisted please contact technical services.
Shipping
The product is shipped with polar packs. Upon receipt, store it immediately at the temperature recommended below.
Stability & Storage
Store at -20C. Avoid freeze-thaw cycles.
Background: CYB5R1
Alternate Names
B5R.1, B5R1, CYB5BR1, cytochrome b5 reductase 1, EC 1.6.2.2, Humb5R2, NAD(P)H:quinone oxidoreductase type 3 polypeptide A2, NQO3A2polypeptide A2
Gene Symbol
CYB5R1
Additional CYB5R1 Products
Product Documents for CYB5R1 Antibody - BSA Free
Product Specific Notices for CYB5R1 Antibody - BSA Free
This product is for research use only and is not approved for use in humans or in clinical diagnosis. Primary Antibodies are guaranteed for 1 year from date of receipt.
Loading...
Loading...
Loading...
Loading...