Skip to main content

CYB5R1 Antibody - BSA Free

Novus Biologicals, part of Bio-Techne | Catalog # NBP1-83145

Novus Biologicals, part of Bio-Techne
Catalog #
Availability
Size / Price
Qty
Loading...
NBP1-83145
NBP1-83145-25ul

Key Product Details

Validated by

Independent Antibodies

Species Reactivity

Validated:

Human

Predicted:

Mouse (91%), Rat (91%). Backed by our 100% Guarantee.

Applications

Immunohistochemistry, Immunohistochemistry-Paraffin

Label

Unconjugated

Antibody Source

Polyclonal Rabbit IgG

Format

BSA Free

Concentration

Concentrations vary lot to lot. See vial label for concentration. If unlisted please contact technical services.

Product Specifications

Immunogen

This antibody was developed against Recombinant Protein corresponding to amino acids: TLLDPNEKYLLRLLDKTTVSHNTKRFRFALPTAHHTLGLPVGKHIYLSTRIDGSLVIRPYTPVTSDEDQGYVDLVIKVYLKGVHPKFPEGGKMSQYLDSLKVGDVVEFRGPSGLLTYTGKGHFNIQPNKKSPPEP

Clonality

Polyclonal

Host

Rabbit

Isotype

IgG

Scientific Data Images for CYB5R1 Antibody - BSA Free

Immunohistochemistry-Paraffin: CYB5R1 Antibody [NBP1-83145]

Immunohistochemistry-Paraffin: CYB5R1 Antibody [NBP1-83145]

Immunohistochemistry-Paraffin: CYB5R1 Antibody [NBP1-83145] - Staining of human testis.
Immunohistochemistry-Paraffin: CYB5R1 Antibody [NBP1-83145]

Immunohistochemistry-Paraffin: CYB5R1 Antibody [NBP1-83145]

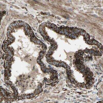
Immunohistochemistry-Paraffin: CYB5R1 Antibody [NBP1-83145] - Staining of human prostate shows strong granular cytoplasmic positivity in glandular cells.
Immunohistochemistry-Paraffin: CYB5R1 Antibody [NBP1-83145]

Immunohistochemistry-Paraffin: CYB5R1 Antibody [NBP1-83145]

Immunohistochemistry-Paraffin: CYB5R1 Antibody [NBP1-83145] - Staining of human cerebral cortex, kidney, pancreas and testis using Anti-CYB5R1 antibody NBP1-83145 (A) shows similar protein distribution across tissues to independent antibody NBP1-83144 (B).

Applications for CYB5R1 Antibody - BSA Free

Application
Recommended Usage

Immunohistochemistry

1:50 - 1:200

Immunohistochemistry-Paraffin

1:50 - 1:200
Application Notes
For IHC-Paraffin, HIER pH 6 retrieval is recommended.

Formulation, Preparation, and Storage

Purification

Affinity purified

Formulation

PBS (pH 7.2) and 40% Glycerol

Format

BSA Free

Preservative

0.02% Sodium Azide

Concentration

Concentrations vary lot to lot. See vial label for concentration. If unlisted please contact technical services.

Shipping

The product is shipped with polar packs. Upon receipt, store it immediately at the temperature recommended below.

Stability & Storage

Store at 4C short term. Aliquot and store at -20C long term. Avoid freeze-thaw cycles.

Background: CYB5R1

NADH-cytochrome b5 reductases are involved in desaturation and elongation of fatty acids, cholesterol biosynthesis, drug metabolism, and, in erythrocyte, methemoglobin reduction

Alternate Names

B5R.1, B5R1, CYB5BR1, cytochrome b5 reductase 1, EC 1.6.2.2, Humb5R2, NAD(P)H:quinone oxidoreductase type 3 polypeptide A2, NQO3A2polypeptide A2

Gene Symbol

CYB5R1

Additional CYB5R1 Products

Product Documents for CYB5R1 Antibody - BSA Free

Certificate of Analysis

To download a Certificate of Analysis, please enter a lot number in the search box below.

Product Specific Notices for CYB5R1 Antibody - BSA Free

This product is for research use only and is not approved for use in humans or in clinical diagnosis. Primary Antibodies are guaranteed for 1 year from date of receipt.

Loading...
Loading...
Loading...
Loading...