Skip to main content

CYB5R1 Antibody (OTI4B7)

Novus Biologicals, part of Bio-Techne | Catalog # NBP2-01951

Novus Biologicals, part of Bio-Techne
Catalog #
Availability
Size / Price
Qty
Loading...
NBP2-01951
Conjugate
Catalog #

Key Product Details

Species Reactivity

Human, Mouse, Rat

Applications

Immunohistochemistry, Immunohistochemistry-Paraffin, Western Blot, Immunocytochemistry/ Immunofluorescence

Label

Unconjugated

Antibody Source

Monoclonal Mouse IgG1 Clone # OTI4B7

Concentration

0.74 mg/ml

Product Specifications

Immunogen

Full length human recombinant protein of human CYB5R1(NP_057327) produced in HEK293T cell.

Reactivity Notes

Please note that this antibody is reactive to Mouse and derived from the same host, Mouse. Mouse-On-Mouse blocking reagent may be needed for IHC and ICC experiments to reduce high background signal. You can find these reagents under catalog numbers PK-2200-NB and MP-2400-NB. Please contact Technical Support if you have any questions.

Clonality

Monoclonal

Host

Mouse

Isotype

IgG1

Theoretical MW

33.9 kDa.
Disclaimer note: The observed molecular weight of the protein may vary from the listed predicted molecular weight due to post translational modifications, post translation cleavages, relative charges, and other experimental factors.

Scientific Data Images for CYB5R1 Antibody (OTI4B7)

Western Blot: CYB5R1 Antibody (OTI4B7) [NBP2-01951]

Western Blot: CYB5R1 Antibody (OTI4B7) [NBP2-01951]

Western Blot: CYB5R1 Antibody (4B7) [NBP2-01951] - HEK293T cells were transfected with the pCMV6-ENTRY control (Left lane) or pCMV6-ENTRY CYB5R1 (Right lane) cDNA for 48 hrs and lysed. Equivalent amounts of cell lysates (5 ug per lane) were separated by SDS-PAGE and immunoblotted with anti-CYB5R1.
Immunocytochemistry/Immunofluorescence: CYB5R1 Antibody (4B7) [NBP2-01951] Staining of COS7 cells transiently transfected by pCMV6-ENTRY CYB5R1.
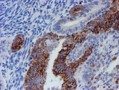
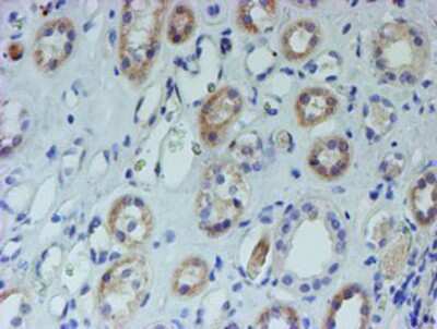
Immunohistochemistry-Paraffin: CYB5R1 Antibody (OTI4B7) [NBP2-01951]

Immunohistochemistry-Paraffin: CYB5R1 Antibody (OTI4B7) [NBP2-01951]

Immunohistochemistry-Paraffin: CYB5R1 Antibody (4B7) [NBP2-01951] - Staining of paraffin-embedded Human Kidney tissue using anti-CYB5R1 mouse monoclonal antibody.

Applications for CYB5R1 Antibody (OTI4B7)

Application
Recommended Usage

Immunocytochemistry/ Immunofluorescence

1:100

Immunohistochemistry

1:150

Immunohistochemistry-Paraffin

1:150

Western Blot

1:2000

Formulation, Preparation, and Storage

Purification

Immunogen affinity purified

Formulation

PBS (pH 7.3), 1.0% BSA and 50% Glycerol

Preservative

0.02% Sodium Azide

Concentration

0.74 mg/ml

Shipping

The product is shipped with polar packs. Upon receipt, store it immediately at the temperature recommended below.

Stability & Storage

Store at -20C. Avoid freeze-thaw cycles.

Background: CYB5R1

NADH-cytochrome b5 reductases are involved in desaturation and elongation of fatty acids, cholesterol biosynthesis, drug metabolism, and, in erythrocyte, methemoglobin reduction

Alternate Names

B5R.1, B5R1, CYB5BR1, cytochrome b5 reductase 1, EC 1.6.2.2, Humb5R2, NAD(P)H:quinone oxidoreductase type 3 polypeptide A2, NQO3A2polypeptide A2

Entrez Gene IDs

51706 (Human)

Gene Symbol

CYB5R1

Additional CYB5R1 Products

Product Documents for CYB5R1 Antibody (OTI4B7)

Certificate of Analysis

To download a Certificate of Analysis, please enter a lot number in the search box below.

Product Specific Notices for CYB5R1 Antibody (OTI4B7)

This product is for research use only and is not approved for use in humans or in clinical diagnosis. Primary Antibodies are guaranteed for 1 year from date of receipt.

Loading...
Loading...
Loading...
Loading...