Skip to main content

CXCR6 Antibody - BSA Free

Novus Biologicals, part of Bio-Techne | Catalog # NBP1-76871

Novus Biologicals, part of Bio-Techne

Key Product Details

Species Reactivity

Human

Applications

Multiplex Immunofluorescence, Immunohistochemistry, Immunohistochemistry-Paraffin, Western Blot, ELISA, Immunocytochemistry/ Immunofluorescence

Label

Unconjugated

Antibody Source

Polyclonal Rabbit IgG

Format

BSA Free

Concentration

1 mg/ml

Product Specifications

Immunogen

Antibody was raised against a peptide corresponding to 15 amino acids near the amino terminus of human Bonzo/STRL33. The immunogen is located within the first 50 amino acids of Bonzo. Amino Acid Squence: GFSSFNDSSQEEHQD

Clonality

Polyclonal

Host

Rabbit

Isotype

IgG

Theoretical MW

43 kDa.
Disclaimer note: The observed molecular weight of the protein may vary from the listed predicted molecular weight due to post translational modifications, post translation cleavages, relative charges, and other experimental factors.

Description

Novus Biologicals Rabbit CXCR6 Antibody - BSA Free (NBP1-76871) is a polyclonal antibody validated for use in Multiplex Immunofluorescence, IHC, WB, ELISA and ICC/IF. All Novus Biologicals antibodies are covered by our 100% guarantee.

Scientific Data Images for CXCR6 Antibody - BSA Free

CXCR6 Antibody - BSA Free

Immunocytochemistry/ Immunofluorescence: CXCR6 Antibody - BSA Free [NBP1-76871] -

Immunocytochemistry/ Immunofluorescence: CXCR6 Antibody - BSA Free [NBP1-76871] - Immunofluorescence of CXCR6 in human spleen tissue with CXCR6 antibody at 20 ug/ml.

Green: CXCR6 Antibody
Blue: DAPI staining
Immunohistochemistry: CXCR6 Antibody - BSA Free [NBP1-76871]

Immunohistochemistry: CXCR6 Antibody - BSA Free [NBP1-76871]

Immunohistochemistry: CXCR6 Antibody [NBP1-76871] - Analysis of Bonzo in human spleen tissue with Bonzo antibody at 2.5 ug/ml.
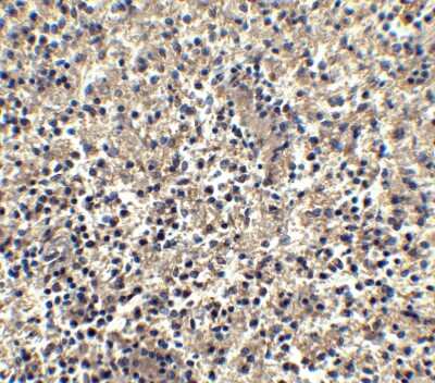
CXCR6 Antibody - BSA Free

Immunohistochemistry: CXCR6 Antibody - BSA Free [NBP1-76871] -

Immunohistochemistry: CXCR6 Antibody - BSA Free [NBP1-76871] - Immunohistochemistry of CXCR6 in human spleen tissue with CXCR6 antibody at 20 ug/mL.

Applications for CXCR6 Antibody - BSA Free

Application
Recommended Usage

ELISA

1:100-1:2000

Immunocytochemistry/ Immunofluorescence

20 ug/mL

Immunohistochemistry

2.5 ug/ml

Immunohistochemistry-Paraffin

2.5 ug/ml

Western Blot

0.5 ug/ml

Formulation, Preparation, and Storage

Purification

Peptide affinity purified

Formulation

PBS

Format

BSA Free

Preservative

0.02% Sodium Azide

Concentration

1 mg/ml

Shipping

The product is shipped with polar packs. Upon receipt, store it immediately at the temperature recommended below.

Stability & Storage

Store at 4C short term. Aliquot and store at -20C long term. Avoid freeze-thaw cycles.

Background: CXCR6

Human immunodeficiency virus (HIV) and simian immunodeficiency virus (SIV) require coreceptors, in addition to CD4, to infect target cells. Some G protein-coupled receptors including CCR5, CXCR4, CCR3, and CCR2b in the chemokine receptor family have been identified as HIV coreceptors. An orphan G protein-coupled receptor was recently cloned and designated Bonzo, STRL33 and TYMSTR, and identified as HIV and SIV coreceptor. Bonzo/STRL33 serves as coreceptor for SIV, HIV-2 and HIV-1. The messenger RNA of Bonzo/STRL33 is expressed in lymphoid tissues and activated peripheral blood lymphocytes.

Alternate Names

Bonzo, CD186, CXCR6, STRL33

Gene Symbol

CXCR6

UniProt

Additional CXCR6 Products

Product Documents for CXCR6 Antibody - BSA Free

Certificate of Analysis

To download a Certificate of Analysis, please enter a lot number in the search box below.

Product Specific Notices for CXCR6 Antibody - BSA Free

This product is for research use only and is not approved for use in humans or in clinical diagnosis. Primary Antibodies are guaranteed for 1 year from date of receipt.

Loading...
Loading...
Loading...
Loading...