Skip to main content

CXCR2/IL-8RB Antibody - BSA Free

Novus Biologicals, part of Bio-Techne | Catalog # NBP2-38195

Novus Biologicals, part of Bio-Techne
Catalog #
Availability
Size / Price
Qty
Loading...
NBP2-38195
NBP2-38195-25ul

Key Product Details

Validated by

Orthogonal Validation, Independent Antibodies

Species Reactivity

Human

Applications

Immunohistochemistry, Immunohistochemistry-Paraffin

Label

Unconjugated

Antibody Source

Polyclonal Rabbit IgG

Format

BSA Free

Concentration

Concentrations vary lot to lot. See vial label for concentration. If unlisted please contact technical services.

Product Specifications

Immunogen

This antibody was developed against a recombinant protein corresponding to amino acids: DFNMESDSFEDFWKGEDLSNYSYSSTLPPFLLDAAPCEPESLEINK

Clonality

Polyclonal

Host

Rabbit

Isotype

IgG

Description

Novus Biologicals Rabbit CXCR2/IL-8RB Antibody - BSA Free (NBP2-38195) is a polyclonal antibody validated for use in IHC. All Novus Biologicals antibodies are covered by our 100% guarantee.

Scientific Data Images for CXCR2/IL-8RB Antibody - BSA Free

Immunohistochemistry-Paraffin: CXCR2/IL-8RB Antibody [NBP2-38195]

Immunohistochemistry-Paraffin: CXCR2/IL-8RB Antibody [NBP2-38195]

Immunohistochemistry-Paraffin: CXCR2/IL-8RB Antibody [NBP2-38195] - Analysis in human spleen and cerebral cortex tissues. Corresponding CXCR2/IL-8RB RNA-seq data are presented for the same tissues.
Immunohistochemistry-Paraffin: CXCR2/IL-8RB Antibody [NBP2-38195]

Immunohistochemistry-Paraffin: CXCR2/IL-8RB Antibody [NBP2-38195]

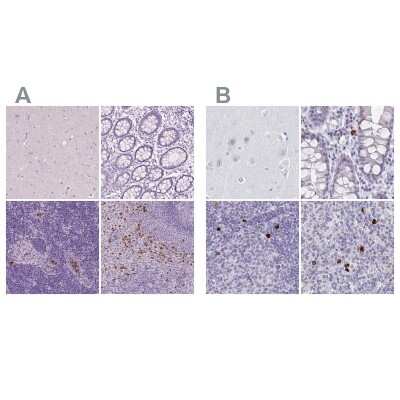
Immunohistochemistry-Paraffin: CXCR2/IL-8RB Antibody [NBP2-38195] - Staining of human cerebral cortex, colon, lymph node and spleen using Anti-CXCR2 antibody NBP2-38195 (A) shows similar protein distribution across tissues to independent antibody NBP2-38197 (B).
Immunohistochemistry-Paraffin: CXCR2/IL-8RB Antibody [NBP2-38195]

Immunohistochemistry-Paraffin: CXCR2/IL-8RB Antibody [NBP2-38195]

Immunohistochemistry-Paraffin: CXCR2/IL-8RB Antibody [NBP2-38195] - Staining of human spleen shows strong cytoplasmic positivity in non-germinal center cells.

Applications for CXCR2/IL-8RB Antibody - BSA Free

Application
Recommended Usage

Immunohistochemistry

1:1000 - 1:2500

Immunohistochemistry-Paraffin

1:1000 - 1:2500
Application Notes
For IHC-Paraffin, HIER pH 6 retrieval is recommended.

Formulation, Preparation, and Storage

Purification

Immunogen affinity purified

Formulation

PBS (pH 7.2) and 40% Glycerol

Format

BSA Free

Preservative

0.02% Sodium Azide

Concentration

Concentrations vary lot to lot. See vial label for concentration. If unlisted please contact technical services.

Shipping

The product is shipped with polar packs. Upon receipt, store it immediately at the temperature recommended below.

Stability & Storage

Store at 4C short term. Aliquot and store at -20C long term. Avoid freeze-thaw cycles.

Background: CXCR2/IL-8RB

Chemokine (Chemoattractant Cytokines) are small peptides that are potent activators and chemo-attractants for leukocyte subpopulations and other non-hemopoietic cells. Chemokine receptors (CXCR) belong to the super-family of G protein-coupled receptors (GPCR), which regulate the trafficking and activation of leukocytes, and operate as co-receptors in the entry of HIV-1 and proliferation and migration of immature neurons, glia and their precursors. Furthermore, chemokine receptors participate in the etiology and progression of various brain disorders, including AIDS dementia, neuro-inflammatory disease and neuroplasia, making them important potential therapeutic targets in these cases several subtypes of CXCR have been characterized. Activation of na

Long Name

Interleukin 8 Receptor B

Alternate Names

CD182, CDw128b, CMKAR2, CXCR-2, IL-8 RB, IL8RB

Gene Symbol

CXCR2

UniProt

Additional CXCR2/IL-8RB Products

Product Documents for CXCR2/IL-8RB Antibody - BSA Free

Certificate of Analysis

To download a Certificate of Analysis, please enter a lot number in the search box below.

Product Specific Notices for CXCR2/IL-8RB Antibody - BSA Free

This product is for research use only and is not approved for use in humans or in clinical diagnosis. Primary Antibodies are guaranteed for 1 year from date of receipt.

Loading...
Loading...
Loading...
Loading...