CWC15 Antibody - BSA Free
Novus Biologicals, part of Bio-Techne | Catalog # NBP3-48082
Key Product Details
Species Reactivity
Human, Mouse
Applications
Immunohistochemistry, Western Blot, ELISA, Immunoprecipitation
Label
Unconjugated
Antibody Source
Polyclonal Rabbit IgG
Format
BSA Free
Concentration
Please see the vial label for concentration. If unlisted please contact technical services.
Product Specifications
Immunogen
CWC15 spliceosome-associated protein homolog. (Uniprot# Q9P013)
Clonality
Polyclonal
Host
Rabbit
Isotype
IgG
Description
Novus Biologicals Rabbit CWC15 Antibody - BSA Free (NBP3-48082) is a polyclonal antibody validated for use in IHC, WB, ELISA and IP. All Novus Biologicals antibodies are covered by our 100% guarantee.
Scientific Data Images for CWC15 Antibody - BSA Free
Western Blot: CWC15 Antibody - BSA Free [NBP3-48082] -
Western Blot: CWC15 Antibody - BSA Free [NBP3-48082] - Mouse liver tissue were subjected to SDS PAGE followed by western blot with (CWC15 Antibody) at dilution of 1:600Immunohistochemistry: CWC15 Antibody - BSA Free [NBP3-48082] -
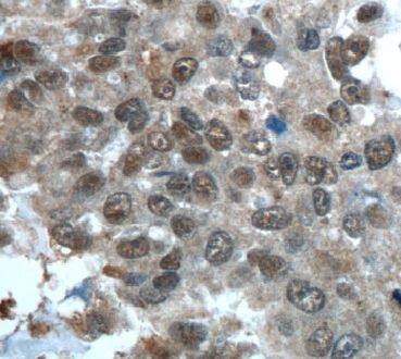
Immunohistochemistry: CWC15 Antibody - BSA Free [NBP3-48082] - Immunohistochemistry of paraffin-embedded human stomach tissue slide using (CWC15 Antibody) at dilution of 1:50Immunoprecipitation: CWC15 Antibody - BSA Free [NBP3-48082] -
Immunoprecipitation: CWC15 Antibody - BSA Free [NBP3-48082] - IP Result of anti-CWC15 (IP:, 3ug; Detection: 1:600) with HeLa cells lysate 2800ug.Applications for CWC15 Antibody - BSA Free
Application
Recommended Usage
Immunohistochemistry
1:20-1:200
Immunoprecipitation
1:200-1:1000
Western Blot
1:500-1:2000
Application Notes
Theoretical Molecular Weight is 27-35 kDa
Formulation, Preparation, and Storage
Purification
Immunogen affinity purified
Formulation
PBS, 50% Glycerol, pH (7.3)
Format
BSA Free
Preservative
0.02% Sodium Azide
Concentration
Please see the vial label for concentration. If unlisted please contact technical services.
Shipping
The product is shipped with polar packs. Upon receipt, store it immediately at the temperature recommended below.
Stability & Storage
Store at -20C. Avoid freeze-thaw cycles.
Background: CWC15
Alternate Names
C11orf5ORF5, CWC15 homolog, CWC15 homolog (S. cerevisiae), CWC15 spliceosome-associated protein homolog (S. cerevisiae), Cwf15, HSPC148, protein CWC15 homolog
Gene Symbol
CWC15
Additional CWC15 Products
Product Documents for CWC15 Antibody - BSA Free
Product Specific Notices for CWC15 Antibody - BSA Free
This product is for research use only and is not approved for use in humans or in clinical diagnosis. Primary Antibodies are guaranteed for 1 year from date of receipt.
Loading...
Loading...
Loading...
Loading...