Skip to main content

Cullin 4a Antibody (5A7) - BSA Free

Novus Biologicals, part of Bio-Techne | Catalog # NBP3-42951

Novus Biologicals, part of Bio-Techne
Catalog #
Availability
Size / Price
Qty
Loading...
NBP3-42951

Key Product Details

Species Reactivity

Human, Mouse, Rat, Monkey

Applications

Immunohistochemistry, Western Blot, ELISA, Immunocytochemistry/ Immunofluorescence, Immunoprecipitation

Label

Unconjugated

Antibody Source

Monoclonal Mouse IgG1 Clone # 5A7

Format

BSA Free

Concentration

Please see the vial label for concentration. If unlisted please contact technical services.

Product Specifications

Immunogen

cullin 4A - (Uniprot# Q13619)

Clonality

Monoclonal

Host

Mouse

Isotype

IgG1

Description

Novus Biologicals Mouse Cullin 4a Antibody (5A7) - BSA Free (NBP3-42951) is a monoclonal antibody validated for use in IHC, WB, ELISA, ICC/IF and IP. All Novus Biologicals antibodies are covered by our 100% guarantee.

Scientific Data Images for Cullin 4a Antibody (5A7) - BSA Free

Cullin 4a Antibody (5A7)

Western Blot: Cullin 4a Antibody (5A7) [NBP3-42951] -

Western Blot: Cullin 4a Antibody (5A7) [NBP3-42951] - HeLa cells were subjected to SDS PAGE followed by western blot with (Cullin 4a antibody) at dilution of 1:500
Cullin 4a Antibody (5A7)

Immunoprecipitation: Cullin 4a Antibody (5A7) [NBP3-42951] -

Immunoprecipitation: Cullin 4a Antibody (5A7) [NBP3-42951] - IP Result of anti-Cullin 4a (IP:FNab02077, 4ug; Detection:FNab02077 1:500) with MCF-7 cells lysate 2800ug.
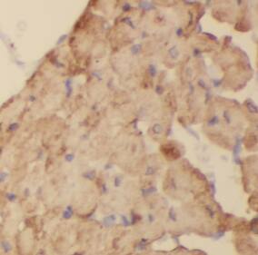
Cullin 4a Antibody (5A7)

Immunohistochemistry: Cullin 4a Antibody (5A7) [NBP3-42951] -

Immunohistochemistry: Cullin 4a Antibody (5A7) [NBP3-42951] - Immunohistochemistry of paraffin-embedded human heart tissue slide using (Cullin 4a Antibody) at dilution of 1:200

Applications for Cullin 4a Antibody (5A7) - BSA Free

Application
Recommended Usage

Immunocytochemistry/ Immunofluorescence

1:20 - 1:200

Immunohistochemistry

1:20 - 1:200

Immunoprecipitation

1:500 - 1:1000

Western Blot

1:500 - 1:2000

Formulation, Preparation, and Storage

Purification

Protein A or G purified

Formulation

PBS (pH 7.3), 50% glycerol

Format

BSA Free

Preservative

0.02% Sodium Azide

Concentration

Please see the vial label for concentration. If unlisted please contact technical services.

Shipping

The product is shipped with polar packs. Upon receipt, store it immediately at the temperature recommended below.

Stability & Storage

Store at -20C. Avoid freeze-thaw cycles.

Background: CUL4A

Long Name

Cullin 4a

Alternate Names

Cullin 4a

Gene Symbol

CUL4A

Additional CUL4A Products

Product Documents for Cullin 4a Antibody (5A7) - BSA Free

Certificate of Analysis

To download a Certificate of Analysis, please enter a lot number in the search box below.

Product Specific Notices for Cullin 4a Antibody (5A7) - BSA Free

This product is for research use only and is not approved for use in humans or in clinical diagnosis. Primary Antibodies are guaranteed for 1 year from date of receipt.

Loading...
Loading...
Loading...
Loading...