Skip to main content

Cullin 3 Antibody - BSA Free

Novus Biologicals, part of Bio-Techne | Catalog # NBP2-88798

Novus Biologicals, part of Bio-Techne
Catalog #
Availability
Size / Price
Qty
Loading...
NBP2-88798

Key Product Details

Species Reactivity

Human

Applications

Immunohistochemistry, Immunohistochemistry-Paraffin, Western Blot

Label

Unconjugated

Antibody Source

Polyclonal Rabbit

Format

BSA Free

Concentration

0.5 mg/ml

Product Specifications

Immunogen

The immunogen is a synthetic peptide directed towards the C-terminal region of human Cullin 3. Peptide sequence: QETDIPERELVRALQSLACGKPTQRVLTKEPKSKEIENGHIFTVNDQFTS The peptide sequence for this immunogen was taken from within the described region.

Clonality

Polyclonal

Host

Rabbit

Description

Novus Biologicals Rabbit Cullin 3 Antibody - BSA Free (NBP2-88798) is a polyclonal antibody validated for use in IHC and WB. All Novus Biologicals antibodies are covered by our 100% guarantee.

Scientific Data Images for Cullin 3 Antibody - BSA Free

Western Blot: Cullin 3 Antibody [NBP2-88798]

Western Blot: Cullin 3 Antibody [NBP2-88798]

Western Blot: Cullin 3 Antibody [NBP2-88798] - WB Suggested Anti-CUL3 Antibody Titration: 1 ug/ml. Positive Control: Fetal liver cell lysate
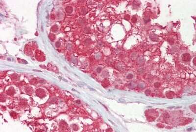
Immunohistochemistry: Cullin 3 Antibody [NBP2-88798]

Immunohistochemistry: Cullin 3 Antibody [NBP2-88798]

Immunohistochemistry: Cullin 3 Antibody [NBP2-88798] - Immunohistochemistry with Testis tissue at an antibody concentration of 10ug/ml using anti-CUL3 antibody

Applications for Cullin 3 Antibody - BSA Free

Application
Recommended Usage

Western Blot

1.0 ug/ml

Formulation, Preparation, and Storage

Purification

Affinity purified

Formulation

PBS, 2% Sucrose

Format

BSA Free

Preservative

0.09% Sodium Azide

Concentration

0.5 mg/ml

Shipping

The product is shipped with polar packs. Upon receipt, store it immediately at the temperature recommended below.

Stability & Storage

Store at 4C short term. Aliquot and store at -20C long term. Avoid freeze-thaw cycles.

Background: CUL3

Long Name

Cullin 3

Alternate Names

KIAA0617, NEDAUS, PHA2E

Gene Symbol

CUL3

Additional CUL3 Products

Product Documents for Cullin 3 Antibody - BSA Free

Certificate of Analysis

To download a Certificate of Analysis, please enter a lot number in the search box below.

Product Specific Notices for Cullin 3 Antibody - BSA Free

This product is for research use only and is not approved for use in humans or in clinical diagnosis. Primary Antibodies are guaranteed for 1 year from date of receipt.

Loading...
Loading...
Loading...
Loading...