Skip to main content

Cullin 3 Antibody

Novus Biologicals, part of Bio-Techne | Catalog # NB100-58788

Novus Biologicals, part of Bio-Techne
Catalog #
Availability
Size / Price
Qty
Loading...
NB100-58788

Key Product Details

Validated by

Independent Antibodies, Biological Validation

Species Reactivity

Validated:

Human, Mouse

Predicted:

Rat (100%), Xenopus (100%). Backed by our 100% Guarantee.

Applications

Validated:

Immunohistochemistry, Immunohistochemistry-Paraffin, Western Blot, Immunoprecipitation

Cited:

Western Blot, Immunoprecipitation

Label

Unconjugated

Antibody Source

Polyclonal Rabbit IgG

Concentration

0.2 mg/ml

Product Specifications

Immunogen

The immunogen recognized by this antibody maps to a region between residue 650 and 700 of human cullin 3 using the numbering given in entry NP_003581.1 (GeneID 8452).

Reactivity Notes

X. laevis and X. tropicalis (100%).

Clonality

Polyclonal

Host

Rabbit

Isotype

IgG

Theoretical MW

88.93 kDa.
Disclaimer note: The observed molecular weight of the protein may vary from the listed predicted molecular weight due to post translational modifications, post translation cleavages, relative charges, and other experimental factors.

Description

Novus Biologicals Rabbit Cullin 3 Antibody (NB100-58788) is a polyclonal antibody validated for use in IHC, WB and IP. Anti-Cullin 3 Antibody: Cited in 4 publications. All Novus Biologicals antibodies are covered by our 100% guarantee.

Scientific Data Images for Cullin 3 Antibody

Western Blot: Cullin 3 Antibody [NB100-58788]

Western Blot: Cullin 3 Antibody [NB100-58788]

Western Blot: Cullin 3 Antibody [NB100-58788] - Whole cell lysate (1 mg/IP, 20% IP loaded) HeLa cells. NB100-58788 used for IP(3 ug/mg lysate). Cul3 also immunoprecipitated by other rabbit anti-Cul3 antibodies(recognize downstream epitopes).
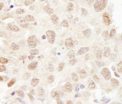
Immunohistochemistry-Paraffin: Cullin 3 Antibody [NB100-58788]

Immunohistochemistry-Paraffin: Cullin 3 Antibody [NB100-58788]

Immunohistochemistry-Paraffin: Cullin 3 Antibody [NB100-58788] - Section of human breast carcinoma. Antibody: Affinity purified rabbit anti-Cul3 used at a dilution of 1:200 (1ug/ml). Detection: DAB

Applications for Cullin 3 Antibody

Application
Recommended Usage

Immunohistochemistry

1:100 - 1:1000

Immunohistochemistry-Paraffin

1:100 -1:1000

Immunoprecipitation

2-5 ug/mg

Western Blot

1:2000-1:10000
Application Notes
Epitope retrieval with citrate buffer pH6.0 is recommended for FFPE tissue sections.

Formulation, Preparation, and Storage

Purification

Immunogen affinity purified

Formulation

TBS and 0.1% BSA

Preservative

0.09% Sodium Azide

Concentration

0.2 mg/ml

Shipping

The product is shipped with polar packs. Upon receipt, store it immediately at the temperature recommended below.

Stability & Storage

Store at 4C. Do not freeze.

Background: CUL3

Cullin 3 is a member of the family of human Cullin genes (CUL-1, -2, -3, -4a, -4b and -5) homologous to the S. cerevisiae cdc53 gene. Cullin 3 forms a tight complex with cyclin E and targets it for ubiquitination, which leads to its degradation by proteosomes.

Long Name

Cullin 3

Alternate Names

KIAA0617, NEDAUS, PHA2E

Entrez Gene IDs

8452 (Human); 26554 (Mouse)

Gene Symbol

CUL3

UniProt

Additional CUL3 Products

Product Documents for Cullin 3 Antibody

Certificate of Analysis

To download a Certificate of Analysis, please enter a lot number in the search box below.

Product Specific Notices for Cullin 3 Antibody

This product is for research use only and is not approved for use in humans or in clinical diagnosis. Primary Antibodies are guaranteed for 1 year from date of receipt.

Loading...
Loading...
Loading...
Loading...