Skip to main content

Cullin 3 Antibody (JE37-29)

Novus Biologicals, part of Bio-Techne | Catalog # NBP3-32232

Recombinant Monoclonal Antibody
Novus Biologicals, part of Bio-Techne
Catalog #
Availability
Size / Price
Qty
Loading...
NBP3-32232

Key Product Details

Species Reactivity

Human, Mouse, Rat

Applications

Immunohistochemistry, Immunohistochemistry-Paraffin, Western Blot

Label

Unconjugated

Antibody Source

Recombinant Monoclonal Rabbit IgG Clone # JE37-29 expressed in HEK293

Concentration

1 mg/ml

Product Specifications

Immunogen

Synthetic peptide within Human Cullin 3 aa 719-768 / 768. (Uniprot: Q13618)

Localization

Nucleus, Golgi apparatus, Cell projection, cilium, flagellum, Cytoplasm, cytoskeleton, spindle, cytoskeleton, microtubule organizing center, centrosome, cytoskeleton, spindle pole.

Clonality

Monoclonal

Host

Rabbit

Isotype

IgG

Theoretical MW

89 kDa.
Disclaimer note: The observed molecular weight of the protein may vary from the listed predicted molecular weight due to post translational modifications, post translation cleavages, relative charges, and other experimental factors.

Description

Novus Biologicals Rabbit Cullin 3 Antibody (JE37-29) (NBP3-32232) is a recombinant monoclonal antibody validated for use in IHC and WB. All Novus Biologicals antibodies are covered by our 100% guarantee.

Scientific Data Images for Cullin 3 Antibody (JE37-29)

Cullin 3 Antibody (JE37-29)

Western Blot: Cullin 3 Antibody (JE37-29) [NBP3-32232]

Western Blot: Cullin 3 Antibody (JE37-29) [NBP3-32232] - Western blot analysis of Cullin 3 on different lysates with Rabbit anti-Cullin 3 antibody (NBP3-32232) at 1/1,000 dilution.

Lane 1: SW480 cell lysate
Lane 2: SW620 cell lysate
Lane 3: HT-29 cell lysate
Lane 4: Mouse testis tissue lysate
Lane 5: Rat testis tissue lysate
Lane 6: Mouse brain tissue lysate
Lane 7: Rat brain tissue lysate

Lysates/proteins at 20 ug/Lane.

Predicted band size: 89 kDa
Observed band size: 75 kDa

Exposure time: 5 minutes;

4-20% SDS-PAGE gel.

Proteins were transferred to a PVDF membrane and blocked with 5% NFDM/TBST for 1 hour at room temperature. The primary antibody (NBP3-32232) at 1/1,000 dilution was used in 5% NFDM/TBST at 4C overnight. Goat Anti-Rabbit IgG - HRP Secondary Antibody at 1/50,000 dilution was used for 1 hour at room temperature.
Cullin 3 Antibody (JE37-29)

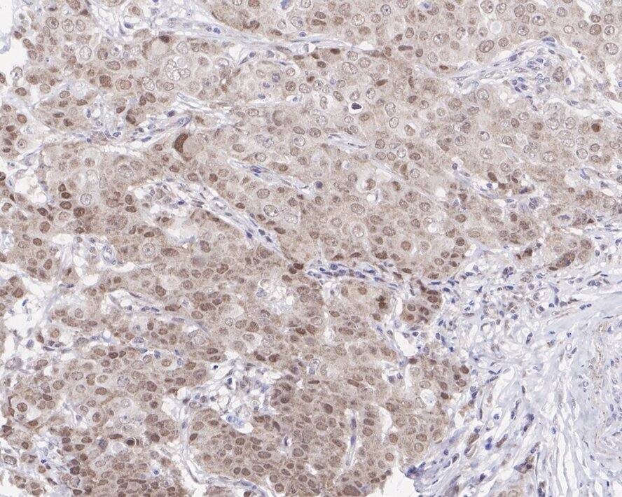
Immunohistochemistry: Cullin 3 Antibody (JE37-29) [NBP3-32232]

Immunohistochemistry: Cullin 3 Antibody (JE37-29) [NBP3-32232] - Immunohistochemical analysis of paraffin-embedded human breast carcinoma tissue with Rabbit anti-Cullin 3 antibody (NBP3-32232) at 1/1,000 dilution.

The section was pre-treated using heat mediated antigen retrieval with sodium citrate buffer (pH 6.0) for 2 minutes. The tissues were blocked in 1% BSA for 20 minutes at room temperature, washed with ddH2O and PBS, and then probed with the primary antibody (NBP3-32232) at 1/1,000 dilution for 1 hour at room temperature. The detection was performed using an HRP conjugated compact polymer system. DAB was used as the chromogen. Tissues were counterstained with hematoxylin and mounted with DPX.

Applications for Cullin 3 Antibody (JE37-29)

Application
Recommended Usage

Immunohistochemistry-Paraffin

1:200-1:1000

Western Blot

1:1000

Formulation, Preparation, and Storage

Purification

Protein A purified

Formulation

1*TBS (pH7.4), 0.05% BSA and 40% Glycerol

Preservative

0.05% Sodium Azide

Concentration

1 mg/ml

Shipping

The product is shipped with polar packs. Upon receipt, store it immediately at the temperature recommended below.

Stability & Storage

Store at 4C short term. Aliquot and store at -20C long term. Avoid freeze-thaw cycles.

Background: CUL3

Long Name

Cullin 3

Alternate Names

KIAA0617, NEDAUS, PHA2E

Gene Symbol

CUL3

Additional CUL3 Products

Product Documents for Cullin 3 Antibody (JE37-29)

Certificate of Analysis

To download a Certificate of Analysis, please enter a lot number in the search box below.

Product Specific Notices for Cullin 3 Antibody (JE37-29)

This product is for research use only and is not approved for use in humans or in clinical diagnosis. Primary Antibodies are guaranteed for 1 year from date of receipt.

Loading...
Loading...
Loading...
Loading...