Skip to main content

Cullin 1 Antibody - BSA Free

Novus Biologicals, part of Bio-Techne | Catalog # NBP3-16092

Novus Biologicals, part of Bio-Techne
Catalog #
Availability
Size / Price
Qty
Loading...
NBP3-16092-20ul
NBP3-16092-100ul

Key Product Details

Species Reactivity

Human, Mouse, Rat

Applications

Immunohistochemistry, Immunohistochemistry-Paraffin, Western Blot, ELISA, Immunocytochemistry/ Immunofluorescence

Label

Unconjugated

Antibody Source

Polyclonal Rabbit IgG

Format

BSA Free

Concentration

Please see the vial label for concentration. If unlisted please contact technical services.

Product Specifications

Immunogen

Recombinant fusion protein containing a sequence corresponding to amino acids 435-593 of human Cullin 1 (NP_003583.2). KNPEEAELEDTLNQVMVVFKYIEDKDVFQKFYAKMLAKRLVHQNSASDDAEASMISKLKQACGFEYTSKLQRMFQDIGVSKDLNEQFKKHLTNSEPLDLDFSIQVLSSGSWPFQQSCTFALPSELERSYQRFTAFYASRHSGRKLTWLYQLSKGELVTN

Clonality

Polyclonal

Host

Rabbit

Isotype

IgG

Description

Novus Biologicals Rabbit Cullin 1 Antibody - BSA Free (NBP3-16092) is a polyclonal antibody validated for use in IHC, WB, ELISA and ICC/IF. All Novus Biologicals antibodies are covered by our 100% guarantee.

Scientific Data Images for Cullin 1 Antibody - BSA Free

Western Blot: Cullin 1 AntibodyAzide and BSA Free [NBP3-16092]

Western Blot: Cullin 1 AntibodyAzide and BSA Free [NBP3-16092]

Western Blot: Cullin 1 Antibody [NBP3-16092] - Western blot analysis of extracts of various cell lines, using Cullin 1 antibody (NBP3-16092) at 1:1000 dilution. Secondary antibody: HRP Goat Anti-Rabbit IgG (H+L) at 1:10000 dilution. Lysates/proteins: 25ug per lane. Blocking buffer: 3% nonfat dry milk in TBST. Detection: ECL Basic Kit. Exposure time: 10s.
Immunocytochemistry/ Immunofluorescence: Cullin 1 Antibody - Azide and BSA Free [NBP3-16092]

Immunocytochemistry/ Immunofluorescence: Cullin 1 Antibody - Azide and BSA Free [NBP3-16092]

Immunocytochemistry/Immunofluorescence: Cullin 1 Antibody [NBP3-16092] - Immunofluorescence analysis of HeLa cells using Cullin 1 antibody (NBP3-16092). Blue: DAPI for nuclear staining.
Cullin 1 Antibody

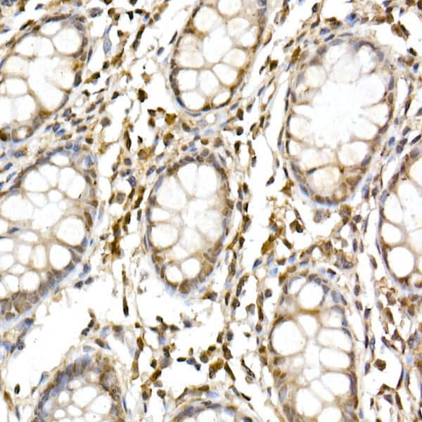
IHC-P- Cullin 1 Antibody [NBP3-16092] -

IHC-P- Cullin 1 Antibody [NBP3-16092] - Human colon using Cullin 1 Rabbit pAb at dilution of 1:50 (40x lens).Perform high pressure antigen retrieval with 10 mM citrate buffer pH 6.0 before commencing with IHC staining protocol.

Applications for Cullin 1 Antibody - BSA Free

Application
Recommended Usage

Immunocytochemistry/ Immunofluorescence

1:10 - 1:100

Immunohistochemistry

1:50 - 1:200

Immunohistochemistry-Paraffin

1:50 - 1:200

Western Blot

1:500 - 1:1000

Formulation, Preparation, and Storage

Purification

Affinity purified

Formulation

PBS (pH 7.3), 50% glycerol

Format

BSA Free

Preservative

0.02% Sodium Azide

Concentration

Please see the vial label for concentration. If unlisted please contact technical services.

Shipping

The product is shipped with polar packs. Upon receipt, store it immediately at the temperature recommended below.

Stability & Storage

Store at -20C. Avoid freeze-thaw cycles.

Background: CUL1

Long Name

Cullin 1

Alternate Names

Cullin 1

Gene Symbol

CUL1

Additional CUL1 Products

Product Documents for Cullin 1 Antibody - BSA Free

Certificate of Analysis

To download a Certificate of Analysis, please enter a lot number in the search box below.

Product Specific Notices for Cullin 1 Antibody - BSA Free

This product is for research use only and is not approved for use in humans or in clinical diagnosis. Primary Antibodies are guaranteed for 1 year from date of receipt.

Loading...
Loading...
Loading...
Loading...