Skip to main content

CUGBP2 Antibody - BSA Free

Novus Biologicals, part of Bio-Techne | Catalog # NBP2-48646

Novus Biologicals, part of Bio-Techne
Catalog #
Availability
Size / Price
Qty
Loading...
NBP2-48646
NBP2-48646-25ul

Key Product Details

Validated by

Orthogonal Validation

Species Reactivity

Human

Applications

Immunohistochemistry, Immunohistochemistry-Paraffin

Label

Unconjugated

Antibody Source

Polyclonal Rabbit IgG

Format

BSA Free

Concentration

Concentrations vary lot to lot. See vial label for concentration. If unlisted please contact technical services.

Product Specifications

Immunogen

This antibody was developed against a recombinant protein corresponding to amino acids: TSTNANPLSTTSSALGALTSPVAASTPNSTAGAAMNSLTSLGTLQGLAGATVGLNNINALAGTINTPRSKRLLLPKDNNGM

Reactivity Notes

Mouse (83%).

Clonality

Polyclonal

Host

Rabbit

Isotype

IgG

Description

Novus Biologicals Rabbit CUGBP2 Antibody - BSA Free (NBP2-48646) is a polyclonal antibody validated for use in IHC. All Novus Biologicals antibodies are covered by our 100% guarantee.

Scientific Data Images for CUGBP2 Antibody - BSA Free

Immunohistochemistry-Paraffin: CUGBP2 Antibody [NBP2-48646]

Immunohistochemistry-Paraffin: CUGBP2 Antibody [NBP2-48646]

Immunohistochemistry-Paraffin: CUGBP2 Antibody [NBP2-48646] - Immunohistochemistry analysis in human cerebral cortex and kidney tissues. Corresponding RNA-seq data are presented for the same tissues.
Immunohistochemistry-Paraffin: CUGBP2 Antibody [NBP2-48646]

Immunohistochemistry-Paraffin: CUGBP2 Antibody [NBP2-48646]

Immunohistochemistry-Paraffin: CUGBP2 Antibody [NBP2-48646] - Staining of human cerebral cortex shows moderate to strong cytoplasmic positivity in neurons.
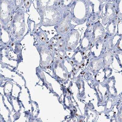
Immunohistochemistry-Paraffin: CUGBP2 Antibody [NBP2-48646]

Immunohistochemistry-Paraffin: CUGBP2 Antibody [NBP2-48646]

Immunohistochemistry-Paraffin: CUGBP2 Antibody [NBP2-48646] - Staining of human kidney shows no nuclear positivity in cells in tubules.

Applications for CUGBP2 Antibody - BSA Free

Application
Recommended Usage

Immunohistochemistry

1:200 - 1:500

Immunohistochemistry-Paraffin

1:200 - 1:500
Application Notes
For IHC-Paraffin, HIER pH 6 retrieval is recommended.

Formulation, Preparation, and Storage

Purification

Affinity purified

Formulation

PBS (pH 7.2) and 40% Glycerol

Format

BSA Free

Preservative

0.02% Sodium Azide

Concentration

Concentrations vary lot to lot. See vial label for concentration. If unlisted please contact technical services.

Shipping

The product is shipped with polar packs. Upon receipt, store it immediately at the temperature recommended below.

Stability & Storage

Store at 4C short term. Aliquot and store at -20C long term. Avoid freeze-thaw cycles.

Background: CUGBP2

Cardiac elav-type RNA-binding protein (ETR-3), which binds to RNAs containing CUG repeats in patients with myotonic dystrophy. ETR-3 is involved in regulating RNA processing of cardiac genes.

Alternate Names

BRUNOL3ELAV-type RNA-binding protein 3, Bruno-like protein 3, CELF-2, CUG triplet repeat RNA-binding protein 2, CUG triplet repeat, RNA binding protein 2, CUG triplet repeat, RNA-binding protein 2, CUG-BP- and ETR-3-like factor 2, CUGBP Elav-like family member 2, CUGBP, Elav-like family member 2, CUG-BP2, CUGBP2hNAPOR, Etr-3, ETR3RNA-binding protein BRUNOL-3, NAPOR, NAPOR-2, Neuroblastoma apoptosis-related RNA-binding protein

Gene Symbol

CELF2

Additional CUGBP2 Products

Product Documents for CUGBP2 Antibody - BSA Free

Certificate of Analysis

To download a Certificate of Analysis, please enter a lot number in the search box below.

Product Specific Notices for CUGBP2 Antibody - BSA Free

This product is for research use only and is not approved for use in humans or in clinical diagnosis. Primary Antibodies are guaranteed for 1 year from date of receipt.

Loading...
Loading...
Loading...
Loading...