Skip to main content

CTR9 Antibody - BSA Free

Novus Biologicals, part of Bio-Techne | Catalog # NB100-68205

Novus Biologicals, part of Bio-Techne

Key Product Details

Validated by

Biological Validation

Species Reactivity

Human, Mouse

Applications

Immunohistochemistry, Immunohistochemistry-Paraffin, Western Blot, Immunoprecipitation

Label

Unconjugated

Antibody Source

Polyclonal Rabbit IgG

Format

BSA Free

Concentration

1.0 mg/ml

Product Specifications

Immunogen

The immunogen recognized by this antibody maps to a region between residue 1123 and 1173 of human Paf1/RNA polymerase II complex component homolog CTR9 using the numbering given in entry NP_055448.1 (GeneID 9646).

Clonality

Polyclonal

Host

Rabbit

Isotype

IgG

Theoretical MW

133.5 kDa.
Disclaimer note: The observed molecular weight of the protein may vary from the listed predicted molecular weight due to post translational modifications, post translation cleavages, relative charges, and other experimental factors.

Scientific Data Images for CTR9 Antibody - BSA Free

Western Blot: CTR9 Antibody [NB100-68205]

Western Blot: CTR9 Antibody [NB100-68205]

Western Blot: CTR9 Antibody [NB100-68205] - Detection of Human and Mouse CTR9 by Western Blot. Samples: Whole cell lysate (50 ug) from HeLa, 293T, and mouse NIH3T3 cells prepared using NETN lysis buffer. Antibody: Affinity purified rabbit anti-CTR9 antibody NB100-68205 used for WB at 0.1 ug/ml. Detection: Chemiluminescence with an exposure time of 30 seconds.
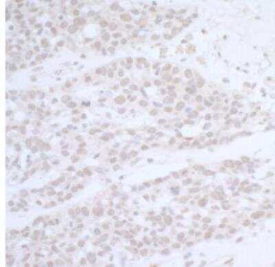
Immunohistochemistry: CTR9 Antibody [NB100-68205]

Immunohistochemistry: CTR9 Antibody [NB100-68205]

Immunohistochemistry: CTR9 Antibody [NB100-68205] - Sample: FFPE section of mouse renal cell carcinoma. Antibody: Affinity purified rabbit anti-CTR9 used at a dilution of 1:5,000 (0.2ug/ml). Detection: DAB. Counterstain: Hematoxylin (blue).
Western Blot: CTR9 Antibody [NB100-68205]

Western Blot: CTR9 Antibody [NB100-68205]

Western Blot: CTR9 Antibody [NB100-68205] - Whole cell lysate from HeLa (5, 15 and 50 mcg for WB; 1 mg for IP, 20% of IP loaded), 293T (T; 50 mcg) and mouse NIH3T3 (M; 50 mcg) cells. NB100-68205 used for WB at 0.04 mcg/ml (A) and 0.1 mcg/ml (B) and used for IP at 3 mcg/mg lysate.

Applications for CTR9 Antibody - BSA Free

Application
Recommended Usage

Immunohistochemistry

1:1000 - 1:5000

Immunohistochemistry-Paraffin

1:250

Immunoprecipitation

2-5 ug/mg lysate

Western Blot

1:2000-1:10000
Application Notes
Epitope retrieval with citrate buffer pH6.0 is recommended for FFPE tissue sections.

Formulation, Preparation, and Storage

Purification

Immunogen affinity purified

Formulation

Tris-Citrate/Phosphate (pH 7.0 - 8.0)

Format

BSA Free

Preservative

0.09% Sodium Azide

Concentration

1.0 mg/ml

Shipping

The product is shipped with polar packs. Upon receipt, store it immediately at the temperature recommended below.

Stability & Storage

Store at 4C. Do not freeze.

Background: CTR9

CTR9 is a component of the PAF (polymerase-associated factor) complex which interacts with histone-modifying enzymes and RNA polymerase II and plays a role in a number of transcription-related processes. Recent studies show that CTR9 can regulate IL-6-responsive gene transcription by influencing histone methylation.

Alternate Names

Ctr9, Paf1/RNA polymerase II complex component, homolog (S. cerevisiae), KIAA0155SH2 domain-binding protein 1, p150TSP, RNA polymerase-associated protein CTR9 homolog, SH2 domain binding protein 1 (tetratricopeptide repeat containing), SH2BP1p150, TPR-containing, SH2-binding phosphoprotein, TSBP

Entrez Gene IDs

9646 (Human); 22083 (Mouse)

Gene Symbol

CTR9

UniProt

Additional CTR9 Products

Product Documents for CTR9 Antibody - BSA Free

Certificate of Analysis

To download a Certificate of Analysis, please enter a lot number in the search box below.

Product Specific Notices for CTR9 Antibody - BSA Free

This product is for research use only and is not approved for use in humans or in clinical diagnosis. Primary Antibodies are guaranteed for 1 year from date of receipt.

Loading...
Loading...
Loading...
Loading...