CTR2 Antibody - BSA Free
Novus Biologicals, part of Bio-Techne | Catalog # NBP2-97266
Conjugate
Catalog #
Key Product Details
Species Reactivity
Human
Applications
Immunohistochemistry, Immunohistochemistry-Paraffin
Label
Unconjugated
Antibody Source
Polyclonal Rabbit IgG
Format
BSA Free
Concentration
Please see the vial label for concentration. If unlisted please contact technical services.
Product Specifications
Immunogen
Produced in rabbits immunized with E. coli-derived Human CTR2 fragment.
Clonality
Polyclonal
Host
Rabbit
Isotype
IgG
Description
This antibody can be stored at 2C to 8C for one month without detectable loss of activity. Antibody products are stable for twelve months from date of receipt when stored at -20C to -80C. Avoid repeated freeze-thaw cycles.
Scientific Data Images for CTR2 Antibody - BSA Free
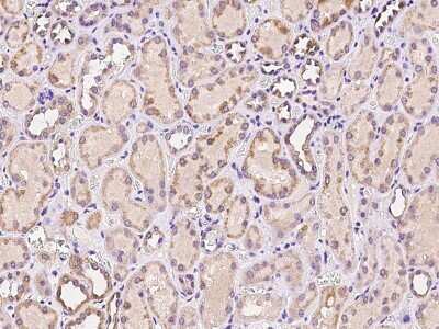
Immunohistochemistry-Paraffin: CTR2 Antibody [NBP2-97266]
Immunohistochemistry-Paraffin: CTR2 Antibody [NBP2-97266] - Immunochemical staining of human CTR2 in human liver with rabbit polyclonal antibody at 1:100 dilution, formalin-fixed paraffin embedded sections.Immunohistochemistry-Paraffin: CTR2 Antibody [NBP2-97266]
Immunohistochemistry-Paraffin: CTR2 Antibody [NBP2-97266] - Immunochemical staining of human CTR2 in human kidney with rabbit polyclonal antibody at 1:100 dilution, formalin-fixed paraffin embedded sections.Applications for CTR2 Antibody - BSA Free
Application
Recommended Usage
Immunohistochemistry-Paraffin
1:50-1:200
Formulation, Preparation, and Storage
Purification
Antigen and protein A Affinity-purified
Formulation
PBS
Format
BSA Free
Preservative
0.03% Proclin 300
Concentration
Please see the vial label for concentration. If unlisted please contact technical services.
Shipping
The product is shipped with polar packs. Upon receipt, store it immediately at the temperature recommended below.
Stability & Storage
Store at 4C short term. Aliquot and store at -20C long term. Avoid freeze-thaw cycles.
Background: CTR2
Alternate Names
Copper transporter 2, COPT2SLC13A2, CTR2Solute carrier family 31 member 2, hCTR2probable low affinity copper uptake protein 2, solute carrier family 31 (copper transporters), member 2
Gene Symbol
SLC31A2
Additional CTR2 Products
Product Specific Notices for CTR2 Antibody - BSA Free
This product is for research use only and is not approved for use in humans or in clinical diagnosis. Primary Antibodies are guaranteed for 1 year from date of receipt.
Loading...
Loading...
Loading...
Loading...
Loading...