Skip to main content

CTR2 Antibody - BSA Free

Novus Biologicals, part of Bio-Techne | Catalog # NBP1-85512

Novus Biologicals, part of Bio-Techne
Catalog #
Availability
Size / Price
Qty
Loading...
NBP1-85512-25ul
NBP1-85512

Key Product Details

Species Reactivity

Validated:

Human

Cited:

Human

Applications

Validated:

Immunohistochemistry, Immunohistochemistry-Paraffin, Immunocytochemistry/ Immunofluorescence

Cited:

Immunohistochemistry

Label

Unconjugated

Antibody Source

Polyclonal Rabbit IgG

Format

BSA Free

Concentration

Concentrations vary lot to lot. See vial label for concentration. If unlisted please contact technical services.

Product Specifications

Immunogen

This antibody was developed against Recombinant Protein corresponding to amino acids: YEGIKVGKAKLLNQVLVNLPTSISQQTIAETDGDSAGSDSFPVGRTHHRWYLC

Clonality

Polyclonal

Host

Rabbit

Isotype

IgG

Scientific Data Images for CTR2 Antibody - BSA Free

Immunocytochemistry/ Immunofluorescence: CTR2 Antibody [NBP1-85512]

Immunocytochemistry/ Immunofluorescence: CTR2 Antibody [NBP1-85512]

Immunocytochemistry/Immunofluorescence: CTR2 Antibody [NBP1-85512] - Staining human cell line U-251 MG shows positivity in cytoplasm, intermediate filaments and nucleus but excluded from the nucleoli. Antibody staining is shown in green.
Immunohistochemistry-Paraffin: CTR2 Antibody [NBP1-85512]

Immunohistochemistry-Paraffin: CTR2 Antibody [NBP1-85512]

Immunohistochemistry-Paraffin: CTR2 Antibody [NBP1-85512] - Staining of human salivary gland shows cytoplasmic positivity in glandular cells.
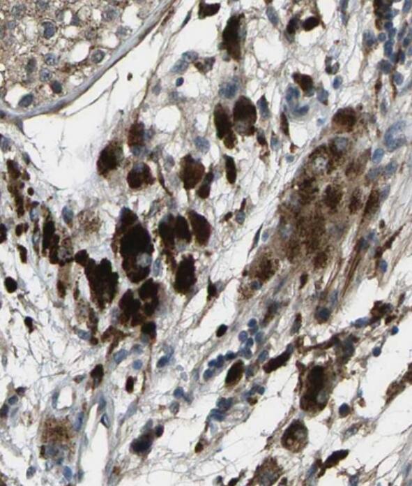
CTR2 Antibody - BSA Free

CTR2 Antibody [NBP1-85512] -

Staining of human placenta shows strong cytoplasmic positivity in trophoblastic cells.

Applications for CTR2 Antibody - BSA Free

Application
Recommended Usage

Immunocytochemistry/ Immunofluorescence

0.25-2 ug/ml

Immunohistochemistry

1:50 - 1:200

Immunohistochemistry-Paraffin

1:50 - 1:200
Application Notes
For IHC-Paraffin, HIER pH 6 retrieval is recommended. ICC/IF,Fixation Permeabilization: Use PFA/Triton X-100.

Formulation, Preparation, and Storage

Purification

Affinity purified

Formulation

PBS (pH 7.2) and 40% Glycerol

Format

BSA Free

Preservative

0.02% Sodium Azide

Concentration

Concentrations vary lot to lot. See vial label for concentration. If unlisted please contact technical services.

Shipping

The product is shipped with polar packs. Upon receipt, store it immediately at the temperature recommended below.

Stability & Storage

Store at 4C short term. Aliquot and store at -20C long term. Avoid freeze-thaw cycles.

Background: CTR2

SLC31A2, also known as CTR2, is a SLC31A transporter family member. Although the function of CTR2 is still poorly understood in mammalian cells, it is expected to be involved in low-affinity copper uptake. It is believed to be confined to lysosomes which stimulate copper delivery to the the cytosol of human cells at high concentrations.

Alternate Names

Copper transporter 2, COPT2SLC13A2, CTR2Solute carrier family 31 member 2, hCTR2probable low affinity copper uptake protein 2, solute carrier family 31 (copper transporters), member 2

Gene Symbol

SLC31A2

Additional CTR2 Products

Product Documents for CTR2 Antibody - BSA Free

Certificate of Analysis

To download a Certificate of Analysis, please enter a lot number in the search box below.

Product Specific Notices for CTR2 Antibody - BSA Free

This product is for research use only and is not approved for use in humans or in clinical diagnosis. Primary Antibodies are guaranteed for 1 year from date of receipt.

Loading...
Loading...
Loading...
Loading...
Loading...