Skip to main content

CT83 Antibody (CL4762) - Azide and BSA Free

Novus Biologicals, part of Bio-Techne | Catalog # NBP3-44122

Novus Biologicals, part of Bio-Techne
Catalog #
Availability
Size / Price
Qty
Loading...
NBP3-44122
Conjugate
Catalog #
Forumulation
Catalog #

Key Product Details

Validated by

Orthogonal Validation

Species Reactivity

Human

Applications

Immunohistochemistry-Paraffin, Western Blot

Label

Unconjugated

Antibody Source

Monoclonal Mouse IgG1 Clone # CL4762

Format

Azide and BSA Free

Concentration

LYOPH mg/ml

Product Specifications

Immunogen

This antibody was generated using a recombinant protein sequence of Q5H943, with the exact immunogen sequence remaining proprietary.

Clonality

Monoclonal

Host

Mouse

Isotype

IgG1

Scientific Data Images for CT83 Antibody (CL4762) - Azide and BSA Free

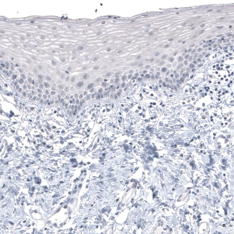
CT83 Antibody (CL4762) - Azide and BSA Free Immunohistochemistry-Paraffin: CT83 Antibody [NBP3-44122]

Immunohistochemistry-Paraffin: CT83 Antibody [NBP3-44122]

Analysis in human testis and cervix, uterine tissues using NBP3-44122 antibody. Corresponding CT83 RNA-seq data are presented for the same tissues.
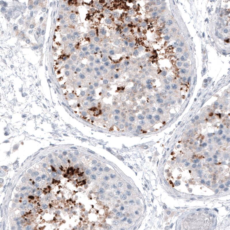
CT83 Antibody (CL4762) - Azide and BSA Free Immunohistochemistry-Paraffin: CT83 Antibody [NBP3-44122]

Immunohistochemistry-Paraffin: CT83 Antibody [NBP3-44122]

Staining of human testis shows moderate to strong cytoplasmic positivity in a subset of cells in seminiferous ducts.
CT83 Antibody (CL4762) - Azide and BSA Free Western Blot: CT83 Antibody [NBP3-44122]

Western Blot: CT83 Antibody [NBP3-44122]

Analysis in human cell line HeLa.

Applications for CT83 Antibody (CL4762) - Azide and BSA Free

Application
Recommended Usage

Immunohistochemistry-Paraffin

1:500 - 1:1000

Western Blot

1 ug/ml
Application Notes
For IHC-Paraffin, HIER pH 6 retrieval is recommended.

Formulation, Preparation, and Storage

Purification

Protein A purified

Reconstitution

Centrifuge the vial of lyophilized antibody at 12,000 x g for 20 seconds. Reconstitute by adding sterile, distilled water to achieve a final antibody concentration of 1mg/ml.

Formulation

Lyophilized from a 0.2 um filtered solution in PBS with Trehalose

Format

Azide and BSA Free

Preservative

No Preservative

Concentration

LYOPH mg/ml

Shipping

The product is shipped at ambient temperature. Upon receipt, store it immediately at the temperature recommended below.

Stability & Storage

Store at 4C short term. Aliquot and store at -20C long term. Avoid freeze-thaw cycles.

Background: CT83

Alternate Names

chromosome X open reading frame 61, CT83, CT83Cancer/testis antigen 83, CXorf61, FLJ20611, FLJ22913, kita-kyushu lung cancer antigen 1, KKLC1, KK-LC-1, KK-LC-1KKLC1, RP3-452H17.2

Gene Symbol

CT83

Additional CT83 Products

Product Documents for CT83 Antibody (CL4762) - Azide and BSA Free

Certificate of Analysis

To download a Certificate of Analysis, please enter a lot number in the search box below.

Product Specific Notices for CT83 Antibody (CL4762) - Azide and BSA Free

This product is for research use only and is not approved for use in humans or in clinical diagnosis. Primary Antibodies are guaranteed for 1 year from date of receipt.

Loading...
Loading...
Loading...
Loading...
Loading...