Skip to main content

CSTF3 Antibody - BSA Free

Novus Biologicals, part of Bio-Techne | Catalog # NBP1-85427

Novus Biologicals, part of Bio-Techne
Catalog #
Availability
Size / Price
Qty
Loading...
NBP1-85427
NBP1-85427-25ul

Key Product Details

Validated by

Independent Antibodies

Species Reactivity

Human, Mouse, Rat

Applications

Immunohistochemistry, Immunohistochemistry-Paraffin, Western Blot

Label

Unconjugated

Antibody Source

Polyclonal Rabbit IgG

Format

BSA Free

Concentration

Concentrations vary lot to lot. See vial label for concentration. If unlisted please contact technical services.

Product Specifications

Immunogen

This antibody was developed against Recombinant Protein corresponding to amino acids: QLWRDYNKYEEGINIHLAKKMIEDRSRDYMNARRVAKEYETVMKGLDRNAPSVPPQNTPQEAQQVDMWKKYIQWEKSNPLRTEDQTLITKRVMFAYEQCLLVLGHH

Clonality

Polyclonal

Host

Rabbit

Isotype

IgG

Scientific Data Images for CSTF3 Antibody - BSA Free

Western Blot: CSTF3 Antibody [NBP1-85427]

Western Blot: CSTF3 Antibody [NBP1-85427]

Western Blot: CSTF3 Antibody [NBP1-85427] - Analysis using Anti-CSTF3 antibody NBP1-85427 (A) shows similar pattern to independent antibody NBP1-85428 (B).
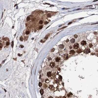
Immunohistochemistry-Paraffin: CSTF3 Antibody [NBP1-85427]

Immunohistochemistry-Paraffin: CSTF3 Antibody [NBP1-85427]

Immunohistochemistry-Paraffin: CSTF3 Antibody [NBP1-85427] - Staining of human testis.
Western Blot: CSTF3 Antibody [NBP1-85427]

Western Blot: CSTF3 Antibody [NBP1-85427]

Western Blot: CSTF3 Antibody [NBP1-85427] - Analysis in mouse cell line NIH-3T3 and rat cell line NBT-II.

Applications for CSTF3 Antibody - BSA Free

Application
Recommended Usage

Immunohistochemistry

1:50 - 1:200

Immunohistochemistry-Paraffin

1:50 - 1:200

Western Blot

0.04-0.4 ug/ml
Application Notes
For IHC-Paraffin, HIER pH 6 retrieval is recommended.

Formulation, Preparation, and Storage

Purification

Affinity purified

Formulation

PBS (pH 7.2) and 40% Glycerol

Format

BSA Free

Preservative

0.02% Sodium Azide

Concentration

Concentrations vary lot to lot. See vial label for concentration. If unlisted please contact technical services.

Shipping

The product is shipped with polar packs. Upon receipt, store it immediately at the temperature recommended below.

Stability & Storage

Store at 4C short term. Aliquot and store at -20C long term. Avoid freeze-thaw cycles.

Background: CSTF3

Alternate Names

CF-1 77 kDa subunit, Cleavage stimulation factor 77 kDa subunit, cleavage stimulation factor subunit 3, cleavage stimulation factor, 3' pre-RNA, subunit 3, 77kD, cleavage stimulation factor, 3' pre-RNA, subunit 3, 77kDa, CSTF 77 kDa subunit, CstF-77, MGC117398, MGC43001, MGC75122

Gene Symbol

CSTF3

Additional CSTF3 Products

Product Documents for CSTF3 Antibody - BSA Free

Certificate of Analysis

To download a Certificate of Analysis, please enter a lot number in the search box below.

Product Specific Notices for CSTF3 Antibody - BSA Free

This product is for research use only and is not approved for use in humans or in clinical diagnosis. Primary Antibodies are guaranteed for 1 year from date of receipt.

Loading...
Loading...
Loading...
Loading...