CSTF3 Antibody
Novus Biologicals, part of Bio-Techne | Catalog # NB100-57534
Key Product Details
Validated by
Independent Antibodies, Biological Validation
Species Reactivity
Human, Mouse
Applications
Immunohistochemistry, Immunohistochemistry-Paraffin, Western Blot, Immunoprecipitation
Label
Unconjugated
Antibody Source
Polyclonal Rabbit IgG
Concentration
0.2 mg/ml
Product Specifications
Immunogen
The immunogen recognized by this antibody maps to a region between residue 667 and 717 of human cleavage stimulation factor, 3' pre-RNA, subunit 3, 77kDa using the numbering given in entry NP_001317.1 (GeneID 1479).
Clonality
Polyclonal
Host
Rabbit
Isotype
IgG
Scientific Data Images for CSTF3 Antibody
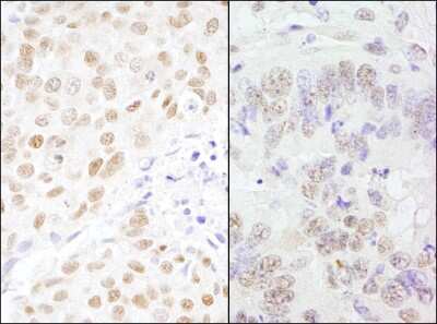
Immunohistochemistry: CSTF3 Antibody [NB100-57534]
Immunohistochemistry: CSTF3 Antibody [NB100-57534] - Sample: FFPE section of human breast carcinoma (left) and mouse teratoma (right). Antibody: Affinity purified rabbit anti-CSTF77 used at a dilution of 1:200 (1ug/ml). Detection: DABApplications for CSTF3 Antibody
Application
Recommended Usage
Immunohistochemistry
1:10-1:500
Immunohistochemistry-Paraffin
1:10-1:500
Immunoprecipitation
2 - 5 ug/mg lysate
Western Blot
1:2000-1:10000
Application Notes
Epitope retrieval with citrate buffer pH6.0 is recommended for FFPE tissue sections.
Formulation, Preparation, and Storage
Purification
Immunogen affinity purified
Formulation
TBS and 0.1% BSA
Preservative
0.09% Sodium Azide
Concentration
0.2 mg/ml
Shipping
The product is shipped with polar packs. Upon receipt, store it immediately at the temperature recommended below.
Stability & Storage
Store at 4C. Do not freeze.
Background: CSTF3
Alternate Names
CF-1 77 kDa subunit, Cleavage stimulation factor 77 kDa subunit, cleavage stimulation factor subunit 3, cleavage stimulation factor, 3' pre-RNA, subunit 3, 77kD, cleavage stimulation factor, 3' pre-RNA, subunit 3, 77kDa, CSTF 77 kDa subunit, CstF-77, MGC117398, MGC43001, MGC75122
Entrez Gene IDs
1479 (Human)
Gene Symbol
CSTF3
UniProt
Additional CSTF3 Products
Product Documents for CSTF3 Antibody
Product Specific Notices for CSTF3 Antibody
This product is for research use only and is not approved for use in humans or in clinical diagnosis. Primary Antibodies are guaranteed for 1 year from date of receipt.
Loading...
Loading...
Loading...
Loading...