Skip to main content

CSTF3 Antibody

Novus Biologicals, part of Bio-Techne | Catalog # NB100-57532

Novus Biologicals, part of Bio-Techne
Catalog #
Availability
Size / Price
Qty
Loading...
NB100-57532

Key Product Details

Validated by

Independent Antibodies, Biological Validation

Species Reactivity

Human

Applications

Immunohistochemistry, Immunohistochemistry-Paraffin, Immunoprecipitation, Western Blot

Label

Unconjugated

Antibody Source

Polyclonal Rabbit IgG

Concentration

0.2 mg/ml

Product Specifications

Immunogen

The immunogen recognized by this antibody maps to a region between residue 1 and 50 of human cleavage stimulation factor, 3' pre-RNA, subunit 3, 77kDa using the numbering given in entry NP_001317.1 (GeneID 1479).

Clonality

Polyclonal

Host

Rabbit

Isotype

IgG

Description

Novus Biologicals Rabbit CSTF3 Antibody (NB100-57532) is a polyclonal antibody validated for use in IHC, WB and IP. All Novus Biologicals antibodies are covered by our 100% guarantee.

Scientific Data Images for CSTF3 Antibody

Western Blot: CSTF3 Antibody [NB100-57532]

Western Blot: CSTF3 Antibody [NB100-57532]

Western Blot: CSTF3 Antibody [NB100-57532] - Detection of Human CSTF77 on HeLa whole cell lysate using NB100-57532. CSTF77 was also immunoprecipitated by rabbit anti-CSTF77 antibodies NB100-57533 and NB10-57534.
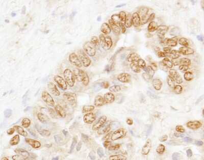
Immunohistochemistry: CSTF3 Antibody [NB100-57532]

Immunohistochemistry: CSTF3 Antibody [NB100-57532]

Immunohistochemistry: CSTF3 Antibody [NB100-57532] - Sample: FFPE section of human prostate carcinoma. Antibody: Affinity purified rabbit anti-CSTF77 used at a dilution of 1:2 00 (1ug/ml). Detection: DAB

Applications for CSTF3 Antibody

Application
Recommended Usage

Immunohistochemistry

1:10-1:500

Immunohistochemistry-Paraffin

1:10-1:500

Immunoprecipitation

1:10-1:500

Western Blot

1:2000-1:10000

Formulation, Preparation, and Storage

Purification

Immunogen affinity purified

Formulation

TBS and 0.1% BSA

Preservative

0.09% Sodium Azide

Concentration

0.2 mg/ml

Shipping

The product is shipped with polar packs. Upon receipt, store it immediately at the temperature recommended below.

Stability & Storage

Store at 4C. Do not freeze.

Background: CSTF3

The protein encoded by this gene is one of three (including CSTF1 and CSTF2) cleavage stimulation factors that combine to form the cleavage stimulation factor complex (CSTF). This complex is involved in the polyadenylation and 3' end cleavage of pre-mRNAs. The encoded protein functions as a homodimer and interacts directly with both CSTF1 and CSTF2 in the CSTF complex. Alternative splicing results in multiple transcript variants encoding different isoforms.

Alternate Names

CF-1 77 kDa subunit, Cleavage stimulation factor 77 kDa subunit, cleavage stimulation factor subunit 3, cleavage stimulation factor, 3' pre-RNA, subunit 3, 77kD, cleavage stimulation factor, 3' pre-RNA, subunit 3, 77kDa, CSTF 77 kDa subunit, CstF-77, MGC117398, MGC43001, MGC75122

Entrez Gene IDs

1479 (Human)

Gene Symbol

CSTF3

Additional CSTF3 Products

Product Documents for CSTF3 Antibody

Certificate of Analysis

To download a Certificate of Analysis, please enter a lot number in the search box below.

Product Specific Notices for CSTF3 Antibody

This product is for research use only and is not approved for use in humans or in clinical diagnosis. Primary Antibodies are guaranteed for 1 year from date of receipt.

Loading...
Loading...
Loading...
Loading...