Skip to main content

CRTAP Antibody (4D9) - Azide and BSA Free

Novus Biologicals, part of Bio-Techne | Catalog # H00010491-M01

Novus Biologicals, part of Bio-Techne
Catalog #
Availability
Size / Price
Qty
Loading...
H00010491-M01

Key Product Details

Species Reactivity

Human

Applications

Immunohistochemistry, Immunohistochemistry-Paraffin, Western Blot, ELISA, Sandwich ELISA

Label

Unconjugated

Antibody Source

Monoclonal Mouse IgG2a Kappa Clone # 4D9

Format

Azide and BSA Free

Concentration

Concentrations vary lot to lot. See vial label for concentration. If unlisted please contact technical services.

Product Specifications

Immunogen

CRTAP (NP_006362, 307 a.a. ~ 401 a.a) partial recombinant protein with GST tag. MW of the GST tag alone is 26 KDa. KLNDLKNAAPCAVSYLLFDQNDKVMQQNLVYYQYHRDTWGLSDEHFQPRPEAVQFFNVTTLQKELYDFAKENIMDDDEGEVVEYVDDLLELEETS

Specificity

CRTAP (4D9)

Clonality

Monoclonal

Host

Mouse

Isotype

IgG2a Kappa

Scientific Data Images for CRTAP Antibody (4D9) - Azide and BSA Free

Western Blot: CRTAP Antibody (4D9) [H00010491-M01]

Western Blot: CRTAP Antibody (4D9) [H00010491-M01]

Western Blot: CRTAP Antibody (4D9) [H00010491-M01] - CRTAP monoclonal antibody (M01), clone 4D9 Analysis of CRTAP expression in HeLa.
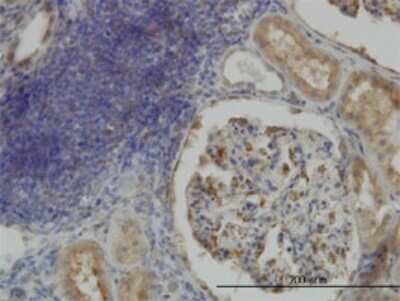
Immunohistochemistry-Paraffin: CRTAP Antibody (4D9) [H00010491-M01]

Immunohistochemistry-Paraffin: CRTAP Antibody (4D9) [H00010491-M01]

Immunohistochemistry-Paraffin: CRTAP Antibody (4D9) [H00010491-M01] - Analysis of monoclonal antibody to CRTAP on formalin-fixed paraffin-embedded human kidney. Antibody concentration 3 ug/ml.
Sandwich ELISA: CRTAP Antibody (4D9) [H00010491-M01] - Detection limit for recombinant GST tagged CRTAP is approximately 0.03ng/ml as a capture antibody.

Applications for CRTAP Antibody (4D9) - Azide and BSA Free

Application
Recommended Usage

Western Blot

1:500
Application Notes
Antibody reactive against cell lysate and recombinant protein for Western Blot. Has also been used for immunohistochemistry (paraffin) and ELISA.

Formulation, Preparation, and Storage

Purification

Protein A purified

Formulation

In 1x PBS, pH 7.4

Format

Azide and BSA Free

Preservative

No Preservative

Concentration

Concentrations vary lot to lot. See vial label for concentration. If unlisted please contact technical services.

Shipping

The product is shipped with polar packs. Upon receipt, store it immediately at the temperature recommended below.

Stability & Storage

Aliquot and store at -20C or -80C. Avoid freeze-thaw cycles.

Background: CRTAP

The protein encoded by this gene is similar to the chicken and mouse CRTAP genes. The encoded protein is a scaffolding protein that may influence the activity of at least one member of the cytohesin/ARNO family in response to specific cellular stimuli. Defects in this gene are associated with osteogenesis imperfecta, a connective tissue disorder characterized by bone fragility and low bone mass.

Alternate Names

cartilage associated protein, cartilage-associated protein, CASPLEPREL3, leprecan-like 3

Entrez Gene IDs

10491 (Human)

Gene Symbol

CRTAP

OMIM

605497 (Human)

Additional CRTAP Products

Product Documents for CRTAP Antibody (4D9) - Azide and BSA Free

Certificate of Analysis

To download a Certificate of Analysis, please enter a lot number in the search box below.

Product Specific Notices for CRTAP Antibody (4D9) - Azide and BSA Free

This product is produced by and distributed for Abnova, a company based in Taiwan.

This product is for research use only and is not approved for use in humans or in clinical diagnosis. Primary Antibodies are guaranteed for 1 year from date of receipt.

Loading...
Loading...
Loading...
Loading...