Skip to main content

CROP Antibody - BSA Free

Novus Biologicals, part of Bio-Techne | Catalog # NBP1-88053

Novus Biologicals, part of Bio-Techne
Catalog #
Availability
Size / Price
Qty
Loading...
NBP1-88053
NBP1-88053-25ul

Key Product Details

Validated by

Independent Antibodies

Species Reactivity

Validated:

Human

Cited:

Human

Predicted:

Mouse (100%), Rat (100%). Backed by our 100% Guarantee.

Applications

Validated:

Immunohistochemistry, Immunohistochemistry-Paraffin, Western Blot, Immunocytochemistry/ Immunofluorescence

Cited:

Western Blot, Immunoprecipitation

Label

Unconjugated

Antibody Source

Polyclonal Rabbit IgG

Format

BSA Free

Concentration

Concentrations vary lot to lot. See vial label for concentration. If unlisted please contact technical services.

Product Specifications

Immunogen

This antibody was developed against Recombinant Protein corresponding to amino acids: LAEVERRIRRGHARLALSQNQQSSGAAGPTGKNEEKIQVLTDKIDVLLQQIEELGSEGKVEEAQGMMKLVEQLKEERELLRSTTSTIESFA

Clonality

Polyclonal

Host

Rabbit

Isotype

IgG

Scientific Data Images for CROP Antibody - BSA Free

Immunocytochemistry/ Immunofluorescence: CROP Antibody [NBP1-88053]

Immunocytochemistry/ Immunofluorescence: CROP Antibody [NBP1-88053]

Immunocytochemistry/Immunofluorescence: CROP Antibody [NBP1-88053] - Staining of human cell line U-2 OS shows localization to nuclear speckles. Antibody staining is shown in green.
CROP Antibody - BSA Free Immunohistochemistry-Paraffin: CROP Antibody - BSA Free [NBP1-88053]

Immunohistochemistry-Paraffin: CROP Antibody - BSA Free [NBP1-88053]

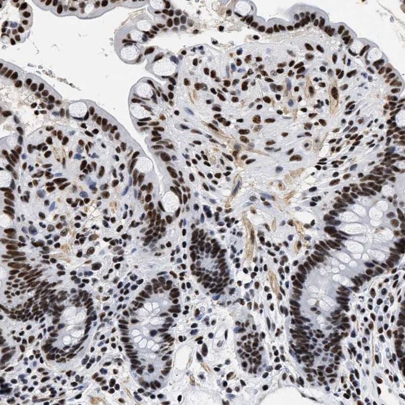
Staining of human cerebral cortex, gastrointestinal, kidney and lymphoid tissues using Anti-LUC7L3 antibody NBP1-88053 (A) shows similar protein distribution across tissues to independent antibody NBP1-88051 (B).
CROP Antibody - BSA Free Immunohistochemistry-Paraffin: CROP Antibody - BSA Free [NBP1-88053]

Immunohistochemistry-Paraffin: CROP Antibody - BSA Free [NBP1-88053]

Staining of human cerebral cortex shows strong positivity in nuclear speckles in neurons.

Applications for CROP Antibody - BSA Free

Application
Recommended Usage

Immunocytochemistry/ Immunofluorescence

0.25-2 ug/ml

Immunohistochemistry

1:2500 - 1:5000

Immunohistochemistry-Paraffin

1:2500 - 1:5000

Western Blot

0.04-0.4 ug/ml
Application Notes
For IHC-Paraffin, HIER pH 6 retrieval is recommended. ICC/IF Fixation Permeabilization: Use PFA/Triton X-100.

Formulation, Preparation, and Storage

Purification

Affinity purified

Formulation

PBS (pH 7.2) and 40% Glycerol

Format

BSA Free

Preservative

0.02% Sodium Azide

Concentration

Concentrations vary lot to lot. See vial label for concentration. If unlisted please contact technical services.

Shipping

The product is shipped with polar packs. Upon receipt, store it immediately at the temperature recommended below.

Stability & Storage

Store at 4C short term. Aliquot and store at -20C long term. Avoid freeze-thaw cycles.

Background: CROP

Alternate Names

cAMP regulatory element-associated protein 1, cisplatin resistance associated overexpressed protein, cisplatin resistance-associated overexpressed protein, Cisplatin resistance-associated-overexpressed protein, CREAP1, CREAP-1LUC7ACRA, CRE-associated protein 1, CROPFLJ11063, hLuc7A, Luc7A, LUC7-like 3 (S. cerevisiae), luc7-like protein 3, O48, OA48-18, Okadaic acid-inducible phosphoprotein OA48-18

Gene Symbol

LUC7L3

Additional CROP Products

Product Documents for CROP Antibody - BSA Free

Certificate of Analysis

To download a Certificate of Analysis, please enter a lot number in the search box below.

Product Specific Notices for CROP Antibody - BSA Free

This product is for research use only and is not approved for use in humans or in clinical diagnosis. Primary Antibodies are guaranteed for 1 year from date of receipt.

Loading...
Loading...
Loading...
Loading...