Skip to main content

CRLR Antibody - BSA Free

Novus Biologicals, part of Bio-Techne | Catalog # NBP1-85643

Novus Biologicals, part of Bio-Techne
Catalog #
Availability
Size / Price
Qty
Loading...
NBP1-85643
NBP1-85643-25ul

Key Product Details

Species Reactivity

Validated:

Human

Cited:

Human

Applications

Validated:

Immunohistochemistry, Immunohistochemistry-Paraffin

Cited:

Immunohistochemistry-Paraffin

Label

Unconjugated

Antibody Source

Polyclonal Rabbit IgG

Format

BSA Free

Concentration

Concentrations vary lot to lot. See vial label for concentration. If unlisted please contact technical services.

Product Specifications

Immunogen

This antibody was developed against Recombinant Protein corresponding to amino acids: EDSIQLGVTRNKIMTAQYECYQKIMQDPIQQAEGVYCNRTWDGWLCWNDVAAGTESMQLCPDYFQDFDPSEKVTKICDQDGNWFRHPASNRTWTNYTQCNVNTHEKVKTA

Reactivity Notes

Immunogen displays the following percentage of sequence identity for non-tested species: Mouse (89%), Rat (89%)

Clonality

Polyclonal

Host

Rabbit

Isotype

IgG

Description

Novus Biologicals Rabbit CRLR Antibody - BSA Free (NBP1-85643) is a polyclonal antibody validated for use in IHC. Anti-CRLR Antibody: Cited in 1 publication. All Novus Biologicals antibodies are covered by our 100% guarantee.

Scientific Data Images for CRLR Antibody - BSA Free

Immunohistochemistry: CRLR Antibody [NBP1-85643]

Immunohistochemistry: CRLR Antibody [NBP1-85643]

CRLR-Antibody-Immunohistochemistry-NBP1-85643-img0004.jpg
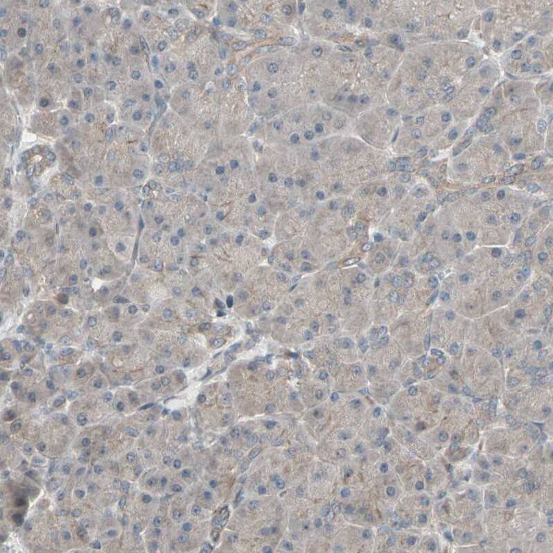
CRLR Antibody - BSA Free Immunohistochemistry-Paraffin: CRLR Antibody - BSA Free [NBP1-85643]

Immunohistochemistry-Paraffin: CRLR Antibody - BSA Free [NBP1-85643]

Staining of human Pancreas shows no membranous positivity in exocrine glandular cells.
CRLR Antibody - BSA Free Immunohistochemistry-Paraffin: CRLR Antibody - BSA Free [NBP1-85643]

Immunohistochemistry-Paraffin: CRLR Antibody - BSA Free [NBP1-85643]

Staining of human Tonsil shows strong membranous positivity in squamous epithelial cells.

Applications for CRLR Antibody - BSA Free

Application
Recommended Usage

Immunohistochemistry

1:50 - 1:200

Immunohistochemistry-Paraffin

1:50 - 1:200
Application Notes
IHC-P reported in scientific literature (PMID: 23646114). For IHC-Paraffin, HIER pH 6 retrieval is recommended.

Formulation, Preparation, and Storage

Purification

Immunogen affinity purified

Formulation

PBS (pH 7.2) and 40% Glycerol

Format

BSA Free

Preservative

0.02% Sodium Azide

Concentration

Concentrations vary lot to lot. See vial label for concentration. If unlisted please contact technical services.

Shipping

The product is shipped with polar packs. Upon receipt, store it immediately at the temperature recommended below.

Stability & Storage

Store at 4C short term. Aliquot and store at -20C long term. Avoid freeze-thaw cycles.

Background: CRLR

Calcitonin receptor-like receptor (CRLR) is an Adrenomedullin Receptor that requires two additional proteins to function: a chaperone protein RAMP (receptor activity modifying protein) and the component protein RCP. The function of CRLR depends on its interaction with RAMP. When coexpressed with RAMP1, CRLR acts as a receptor for calcitonin gene-related peptide (CGRP). In contrast, when CRLR is coexpressed with either RAMP2 or RAMP3, it acts as a receptor for adrenomedullin. Activation of the receptor leads to an increase in intracellular cyclic AMP. CRLR mediates the vasorelaxation of arteries, suggesting a potential role for the receptor in reaction to injury, particularly in the treatment of pulmonary hypertension. CRLR expression has been reported in brain, lung, blood vessel, liver, and intestinal tract. ESTs have been isolated from B-Cell/lung/testis, bone marrow, embryo, lung, and synovium libraries.

Long Name

Calcitonin Receptor-like Receptor

Alternate Names

CALCRL, CGRPR

Gene Symbol

CALCRL

Additional CRLR Products

Product Documents for CRLR Antibody - BSA Free

Certificate of Analysis

To download a Certificate of Analysis, please enter a lot number in the search box below.

Product Specific Notices for CRLR Antibody - BSA Free

This product is for research use only and is not approved for use in humans or in clinical diagnosis. Primary Antibodies are guaranteed for 1 year from date of receipt.

Loading...
Loading...
Loading...
Loading...