Skip to main content

CrkL Antibody - BSA Free

Novus Biologicals, part of Bio-Techne | Catalog # NBP1-86181

Novus Biologicals, part of Bio-Techne
Catalog #
Availability
Size / Price
Qty
Loading...
NBP1-86181
NBP1-86181-25ul

Key Product Details

Species Reactivity

Human

Applications

Immunohistochemistry, Immunohistochemistry-Paraffin, Western Blot

Label

Unconjugated

Antibody Source

Polyclonal Rabbit IgG

Format

BSA Free

Concentration

Concentrations vary lot to lot. See vial label for concentration. If unlisted please contact technical services.

Product Specifications

Immunogen

This antibody was developed against a recombinant protein corresponding to the amino acids: LEYVRTLYDFPGNDAEDLPFKKGEILVIIEKPEEQWWSARNKDGRVGMIPVPYVEKLVRSSPHGKHGNRNSNSYGIPEPAHAYAQPQTTTPLPAVSGSPGAAITPLPSTQNGPVFAKAIQKRVPCAYDKTALALEVGDIVKVTRMNINGQWEGEVNGRKGLFPFTHVKIFDPQNPDE

Clonality

Polyclonal

Host

Rabbit

Isotype

IgG

Description

Novus Biologicals Rabbit CrkL Antibody - BSA Free (NBP1-86181) is a polyclonal antibody validated for use in IHC and WB. All Novus Biologicals antibodies are covered by our 100% guarantee.

Scientific Data Images for CrkL Antibody - BSA Free

CrkL Antibody - BSA Free Western Blot: CrkL Antibody - BSA Free [NBP1-86181]

Western Blot: CrkL Antibody - BSA Free [NBP1-86181]

Analysis in human cell line K562.
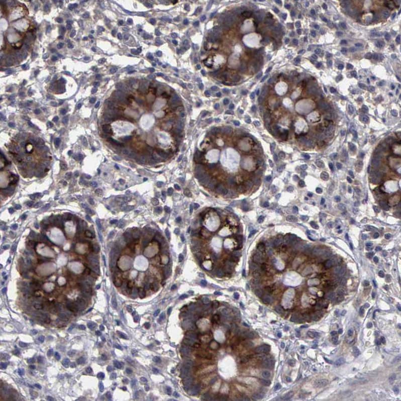
CrkL Antibody - BSA Free Immunohistochemistry-Paraffin: CrkL Antibody - BSA Free [NBP1-86181]

Immunohistochemistry-Paraffin: CrkL Antibody - BSA Free [NBP1-86181]

Staining of human small intestine shows strong cytoplasmic positivity in glandular cells.
CrkL Antibody - BSA Free Immunohistochemistry-Paraffin: CrkL Antibody - BSA Free [NBP1-86181]

Immunohistochemistry-Paraffin: CrkL Antibody - BSA Free [NBP1-86181]

Staining of human pancreas shows no positivity in exocrine glandular cells as expected.

Applications for CrkL Antibody - BSA Free

Application
Recommended Usage

Immunohistochemistry

1:20 - 1:50

Immunohistochemistry-Paraffin

1:20 - 1:50

Western Blot

0.04-0.4 ug/ml
Application Notes
For IHC-Paraffin, HIER pH 6 retrieval is recommended.

Formulation, Preparation, and Storage

Purification

Immunogen affinity purified

Formulation

PBS (pH 7.2) and 40% Glycerol

Format

BSA Free

Preservative

0.02% Sodium Azide

Concentration

Concentrations vary lot to lot. See vial label for concentration. If unlisted please contact technical services.

Shipping

The product is shipped with polar packs. Upon receipt, store it immediately at the temperature recommended below.

Stability & Storage

Store at 4C short term. Aliquot and store at -20C long term. Avoid freeze-thaw cycles.

Background: CrkL

CrkL is a widely-expressed 39 kD adaptor protein that belongs to the Crk protein family and is abundantly expressed in cells of hematopoetic origin. Through its SH2 and SH3 domains CrkL initiates interactions with numerous downstream proteins such as CBL, Cas, Paxillin, C3G, SOS, PI3K, c-Abl and BCR/Abl. It is involved in processes such as adhesion, migration and immune responses. Furthermore, CrkL plays an essential role in Chronic Myelogenous Leukemia and is constitutively phosphorylated by the Bcr-Abl kinase in this disease.

Long Name

V-Crk Sarcoma Virus CT10 Oncogene Homolog-like Protein

Alternate Names

crk-like protein, pCRKL, v-crk avian sarcoma virus CT10 oncogene homolog-like, v-crk sarcoma virus CT10 oncogene homolog (avian)-like

Gene Symbol

CRKL

Additional CrkL Products

Product Documents for CrkL Antibody - BSA Free

Certificate of Analysis

To download a Certificate of Analysis, please enter a lot number in the search box below.

Product Specific Notices for CrkL Antibody - BSA Free

This product is for research use only and is not approved for use in humans or in clinical diagnosis. Primary Antibodies are guaranteed for 1 year from date of receipt.

Loading...
Loading...
Loading...
Loading...