CRIM1 Antibody - BSA Free
Novus Biologicals, part of Bio-Techne | Catalog # NBP1-80799
Key Product Details
Validated by
Species Reactivity
Validated:
Cited:
Applications
Validated:
Cited:
Label
Antibody Source
Format
Concentration
Product Specifications
Immunogen
Reactivity Notes
Clonality
Host
Isotype
Scientific Data Images for CRIM1 Antibody - BSA Free
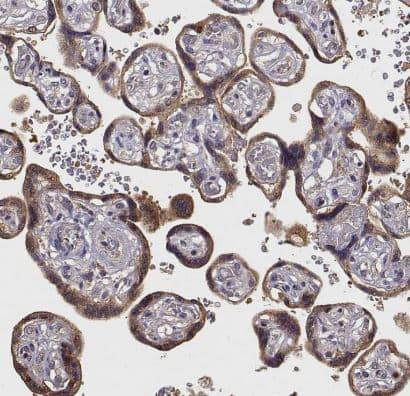
Immunohistochemistry-Paraffin: CRIM1 Antibody [NBP1-80799]
Immunohistochemistry-Paraffin: CRIM1 Antibody [NBP1-80799] - Staining of human liver shows low expression as expected.Immunohistochemistry-Paraffin: CRIM1 Antibody [NBP1-80799] -
Immunohistochemistry-Paraffin: CRIM1 Antibody [NBP1-80799] -Staining of human placenta shows moderate cytoplasmic positivity in trophoblastic cells.Applications for CRIM1 Antibody - BSA Free
Immunohistochemistry
Immunohistochemistry-Paraffin
Formulation, Preparation, and Storage
Purification
Formulation
Format
Preservative
Concentration
Shipping
Stability & Storage
Background: CRIM1
CRIM1, also known as cysteine rich motor neuron 1, is a type I transmembrane glycoprotein containing an N-terminal IGF-binding protein-like motif and six von Willebrand-like cysteine-rich repeats (CRRs) in its extracellular domain. CRIM1 CRRs are similar to those in the BMP-binding antagonists such as Chordin. CRIM1 can interact with TGF-beta family ligands to modulate TGF-beta family ligand functions.
Long Name
Alternate Names
Entrez Gene IDs
Gene Symbol
UniProt
Additional CRIM1 Products
Product Documents for CRIM1 Antibody - BSA Free
Product Specific Notices for CRIM1 Antibody - BSA Free
This product is for research use only and is not approved for use in humans or in clinical diagnosis. Primary Antibodies are guaranteed for 1 year from date of receipt.