Skip to main content

CREB Antibody (5G3)

Novus Biologicals, part of Bio-Techne | Catalog # NBP2-37610

Novus Biologicals, part of Bio-Techne
Catalog #
Availability
Size / Price
Qty
Loading...
NBP2-37610
NBP2-37610-0.025ml

Key Product Details

Species Reactivity

Human, Mouse, Rat, Monkey, Primate

Applications

ELISA, Immunocytochemistry/ Immunofluorescence, Immunohistochemistry, Immunohistochemistry-Paraffin, Western Blot

Label

Unconjugated

Antibody Source

Monoclonal Mouse IgG1 Clone # 5G3

Concentration

This product is unpurified. The exact concentration of antibody is not quantifiable.

Product Specifications

Immunogen

Purified recombinant fragment of human CREB expressed in E. Coli.

Reactivity Notes

Please note that this antibody is reactive to Mouse and derived from the same host, Mouse. Mouse-On-Mouse blocking reagent may be needed for IHC and ICC experiments to reduce high background signal. You can find these reagents under catalog numbers PK-2200-NB and MP-2400-NB. Please contact Technical Support if you have any questions.

Clonality

Monoclonal

Host

Mouse

Isotype

IgG1

Theoretical MW

43 kDa.
Disclaimer note: The observed molecular weight of the protein may vary from the listed predicted molecular weight due to post translational modifications, post translation cleavages, relative charges, and other experimental factors.

Description

Novus Biologicals Mouse CREB Antibody (5G3) (NBP2-37610) is a monoclonal antibody validated for use in IHC, WB, ELISA and ICC/IF. All Novus Biologicals antibodies are covered by our 100% guarantee.

Scientific Data Images for CREB Antibody (5G3)

Western Blot: CREB Antibody (5G3)BSA Free [NBP2-37610]

Western Blot: CREB Antibody (5G3)BSA Free [NBP2-37610]

Western Blot: CREB Antibody (5G3) [NBP2-37610] - Analysis using CREB1 mouse mAb against K562 (1), Jurkat (2), L1210 (3), HEK293 (4), A431 (5), Hela (6), Cos7 (7), PC-12 (8), and NIH/3T3 (9) cell lysate.
Immunocytochemistry/ Immunofluorescence: CREB Antibody (5G3) - BSA Free [NBP2-37610]

Immunocytochemistry/ Immunofluorescence: CREB Antibody (5G3) - BSA Free [NBP2-37610]

Immunocytochemistry/Immunofluorescence: CREB Antibody (5G3) [NBP2-37610] - Analysis of Hela cells using CREB1 mouse mAb (green). Red: Actin filaments have been labeled with Alexa Fluor-555 phalloidin.
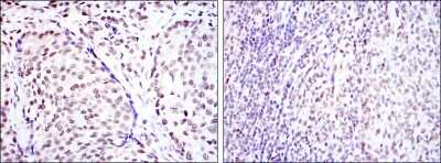
Immunohistochemistry-Paraffin: CREB Antibody (5G3) - BSA Free [NBP2-37610]

Immunohistochemistry-Paraffin: CREB Antibody (5G3) - BSA Free [NBP2-37610]

Immunohistochemistry-Paraffin: CREB Antibody (5G3) [NBP2-37610] - Analysis of prostate cancer tissues (left) and submaxillary tumor tissues (right) using CREB1 mouse mAb with DAB staining.

Applications for CREB Antibody (5G3)

Application
Recommended Usage

ELISA

1:10000

Immunocytochemistry/ Immunofluorescence

1:200 - 1:1000

Immunohistochemistry

1:200 - 1:1000

Immunohistochemistry-Paraffin

1:200 - 1:1000

Western Blot

1:500 - 1:2000

Formulation, Preparation, and Storage

Purification

Unpurified

Formulation

Ascites

Preservative

0.03% Sodium Azide

Concentration

This product is unpurified. The exact concentration of antibody is not quantifiable.

Shipping

The product is shipped with polar packs. Upon receipt, store it immediately at the temperature recommended below.

Stability & Storage

Store at 4C short term. Aliquot and store at -20C long term. Avoid freeze-thaw cycles.

Background: CREB

CREB (cAMP responsive element binding protein 1) stimulates transcription. CREB is involved in learning and memory. This protein is known to have interactions with HIST1H3B, HIST1h3A, HIST1H3C, HIST1H3D and HIST1H3E. CREB has been studied in relation to several diseases and disorders including Rubinstein-Taybi syndrome, Alzheimer's disease, leukemia and brain disease.

Long Name

cAMP Response Element-binding Protein

Alternate Names

CREB1

Gene Symbol

CREB1

Additional CREB Products

Product Documents for CREB Antibody (5G3)

Certificate of Analysis

To download a Certificate of Analysis, please enter a lot number in the search box below.

Product Specific Notices for CREB Antibody (5G3)

This product is for research use only and is not approved for use in humans or in clinical diagnosis. Primary Antibodies are guaranteed for 1 year from date of receipt.

Loading...
Loading...
Loading...
Loading...
Loading...