Skip to main content

Creatine Kinase BB Antibody - BSA Free

Novus Biologicals, part of Bio-Techne | Catalog # NBP1-84460

Novus Biologicals, part of Bio-Techne
Catalog #
Availability
Size / Price
Qty
Loading...
NBP1-84460
NBP1-84460-25ul

Key Product Details

Validated by

Orthogonal Validation

Species Reactivity

Validated:

Human

Cited:

Human

Predicted:

Mouse (99%), Rat (98%). Backed by our 100% Guarantee.

Applications

Validated:

Immunohistochemistry, Immunohistochemistry-Paraffin, Western Blot, Immunocytochemistry/ Immunofluorescence

Cited:

Western Blot, IF/IHC

Label

Unconjugated

Antibody Source

Polyclonal Rabbit IgG

Format

BSA Free

Concentration

Concentrations vary lot to lot. See vial label for concentration. If unlisted please contact technical services.

Product Specifications

Immunogen

This antibody was developed against Recombinant Protein corresponding to amino acids: VISMQKGGNMKEVFTRFCTGLTQIETLFKSKDYEFMWNPHLGYILTCPSNLGTGLRAGVHIKLPNLGKHEKFSEVLKRLRLQKRGTGGVDTAAVGGVFDVSNADRLGFSEVELVQMVVDGVKLLIEMEQRLEQGQAIDDLMPAQK

Clonality

Polyclonal

Host

Rabbit

Isotype

IgG

Description

Novus Biologicals Rabbit Creatine Kinase BB Antibody - BSA Free (NBP1-84460) is a polyclonal antibody validated for use in IHC, WB and ICC/IF. Anti-Creatine Kinase BB Antibody: Cited in 4 publications. All Novus Biologicals antibodies are covered by our 100% guarantee.

Scientific Data Images for Creatine Kinase BB Antibody - BSA Free

Immunohistochemistry-Paraffin: Creatine Kinase BB Antibody [NBP1-84460]

Immunohistochemistry-Paraffin: Creatine Kinase BB Antibody [NBP1-84460]

Immunohistochemistry-Paraffin: Creatine Kinase BB Antibody [NBP1-84460] - Analysis in human cerebral cortex and liver tissues. Corresponding Creatine Kinase BB RNA-seq data are presented for the same tissues.
Immunocytochemistry/ Immunofluorescence: Creatine Kinase BB Antibody [NBP1-84460]

Immunocytochemistry/ Immunofluorescence: Creatine Kinase BB Antibody [NBP1-84460]

Immunocytochemistry/Immunofluorescence: Creatine Kinase BB Antibody [NBP1-84460] - Immunofluorescent staining of human cell line HEK 293 shows localization to cytosol.
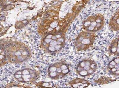
Immunohistochemistry-Paraffin: Creatine Kinase BB Antibody [NBP1-84460]

Immunohistochemistry-Paraffin: Creatine Kinase BB Antibody [NBP1-84460]

Immunohistochemistry-Paraffin: Creatine Kinase BB Antibody [NBP1-84460] - Staining of human stomach shows strong cytoplasmic positivity in parietal cells.

Applications for Creatine Kinase BB Antibody - BSA Free

Application
Recommended Usage

Immunocytochemistry/ Immunofluorescence

0.25-2 ug/ml

Immunohistochemistry

1:200 - 1:500

Immunohistochemistry-Paraffin

1:200 - 1:500

Western Blot

Reported in scientific literature (PMID: 26460485)
Application Notes
For IHC-Paraffin, HIER pH 6 retrieval is recommended. ICC/IF Fixation Permeabilization: Use PFA/Triton X-100.

Formulation, Preparation, and Storage

Purification

Immunogen affinity purified

Formulation

PBS (pH 7.2) and 40% Glycerol

Format

BSA Free

Preservative

0.02% Sodium Azide

Concentration

Concentrations vary lot to lot. See vial label for concentration. If unlisted please contact technical services.

Shipping

The product is shipped with polar packs. Upon receipt, store it immediately at the temperature recommended below.

Stability & Storage

Store at 4C short term. Aliquot and store at -20C long term. Avoid freeze-thaw cycles.

Background: Creatine Kinase BB

Alternate Names

B-CK, CKB

Entrez Gene IDs

1152 (Human)

Gene Symbol

CKB

UniProt

Additional Creatine Kinase BB Products

Product Documents for Creatine Kinase BB Antibody - BSA Free

Certificate of Analysis

To download a Certificate of Analysis, please enter a lot number in the search box below.

Product Specific Notices for Creatine Kinase BB Antibody - BSA Free

This product is for research use only and is not approved for use in humans or in clinical diagnosis. Primary Antibodies are guaranteed for 1 year from date of receipt.

Loading...
Loading...
Loading...
Loading...