Skip to main content

CRABP2 Antibody - Azide and BSA Free

Novus Biologicals, part of Bio-Techne | Catalog # NBP2-98294

Novus Biologicals, part of Bio-Techne

Key Product Details

Species Reactivity

Mouse

Applications

ELISA, Immunocytochemistry/ Immunofluorescence, Immunohistochemistry-Paraffin

Label

Unconjugated

Antibody Source

Polyclonal Rabbit IgG

Format

Azide and BSA Free

Concentration

Please see the vial label for concentration. If unlisted please contact technical services.

Product Specifications

Immunogen

Produced in rabbits immunized with purified, recombinant Mouse CRABP2 (Uniprot#: P22935; Pro2-Glu138)

Clonality

Polyclonal

Host

Rabbit

Isotype

IgG

Description

This antibody can be stored at 2C to 8C for one month without detectable loss of activity. Antibody products are stable for twelve months from date of receipt when stored at -20C to -80C. Avoid repeated freeze-thaw cycles.

Scientific Data Images for CRABP2 Antibody - Azide and BSA Free

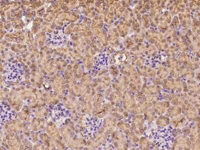
Immunohistochemistry-Paraffin: CRABP2 Antibody [NBP2-98294]

Immunohistochemistry-Paraffin: CRABP2 Antibody [NBP2-98294]

Immunohistochemistry-Paraffin: CRABP2 Antibody [NBP2-98294] - Immunochemical staining of mouse CRABP2 in mouse liver with rabbit polyclonal antibody at 1:300 dilution, formalin-fixed paraffin embedded sections.
Immunohistochemistry-Paraffin: CRABP2 Antibody [NBP2-98294]

Immunohistochemistry-Paraffin: CRABP2 Antibody [NBP2-98294]

Immunohistochemistry-Paraffin: CRABP2 Antibody [NBP2-98294] - Immunochemical staining of mouse CRABP2 in mouse kidney with rabbit polyclonal antibody at 1:300 dilution, formalin-fixed paraffin embedded sections.
CRABP2 Antibody - Azide and BSA Free

Immunocytochemistry/Immunofluorescence: CRABP2 Antibody [NBP2-98294] -

Immunocytochemistry/Immunofluorescence: CRABP2 Antibody [NBP2-98294] - Immunofluorescence staining of mCRABP2 in NIH-3T3 cells. Cells were fixed with 4% PFA, permeabilzed with 0.1% Triton X-100 in PBS, blocked with 10% serum, and incubated with NBP2-98294 antibody (dilution ratio 1:200) at 4C overnight. Then cells were stained with the Alexa Fluor(R)488-conjugated Goat Anti-rabbit IgG secondary antibody (green) and counterstained with DAPI (blue).Positive staining was localized to Cytoplasm.

Applications for CRABP2 Antibody - Azide and BSA Free

Application
Recommended Usage

ELISA

1:5000-1:10000

Immunocytochemistry/ Immunofluorescence

1:100-1:500

Immunohistochemistry-Paraffin

1:200-1:1000

Formulation, Preparation, and Storage

Purification

Antigen and protein A Affinity-purified

Formulation

0.2 um filtered solution in PBS

Format

Azide and BSA Free

Preservative

No Preservative

Concentration

Please see the vial label for concentration. If unlisted please contact technical services.

Shipping

The product is shipped with polar packs. Upon receipt, store it immediately at the temperature recommended below.

Stability & Storage

Store at 4C short term. Aliquot and store at -20C long term. Avoid freeze-thaw cycles.

Background: CRABP2

Cellular retinoic acid binding protein 2 (CRABP2) is a coactivator present in the retinoic acid (RA)-dependent nuclear complex. CRABP2 has been shown to mediate retinoic acid activity in skin to influence skin cell growth and differentiation. It has also been shown to mediate the growth suppressive effects of retinoic acid in breast cancer. CRABP2's role in cell differentiation may be linked to control of the cell-cycle since it has been identified as an interacting partner of cyclin D3 in CRABPII and RAR ternary complex. Alternate names for CRABP2 include cellular retinoic acid-binding protein II, CRABP-II, retinoic acid-binding protein II, and RBP6.

Long Name

Cellular Retinoic Acid Binding Protein 2

Alternate Names

CRABP-II, RBP6

Gene Symbol

CRABP2

Additional CRABP2 Products

Product Documents for CRABP2 Antibody - Azide and BSA Free

Certificate of Analysis

To download a Certificate of Analysis, please enter a lot number in the search box below.

Product Specific Notices for CRABP2 Antibody - Azide and BSA Free

This product is for research use only and is not approved for use in humans or in clinical diagnosis. Primary Antibodies are guaranteed for 1 year from date of receipt.

Loading...
Loading...
Loading...
Loading...