Skip to main content

CRABP2 Antibody

Novus Biologicals, part of Bio-Techne | Catalog # NBP2-24764

Novus Biologicals, part of Bio-Techne
Catalog #
Availability
Size / Price
Qty
Loading...
NBP2-24764
NBP2-24764SS

Key Product Details

Species Reactivity

Validated:

Human, Primate

Predicted:

Mouse (100%). Backed by our 100% Guarantee.

Applications

Immunohistochemistry, Immunohistochemistry-Paraffin, Western Blot

Label

Unconjugated

Antibody Source

Polyclonal Rabbit IgG

Concentration

0.5 mg/ml

Product Specifications

Immunogen

A portion of amino acids 75-125 of human CRABP2 was used as the immunogen.

Clonality

Polyclonal

Host

Rabbit

Isotype

IgG

Description

Novus Biologicals Rabbit CRABP2 Antibody (NBP2-24764) is a polyclonal antibody validated for use in IHC and WB. All Novus Biologicals antibodies are covered by our 100% guarantee.

Scientific Data Images for CRABP2 Antibody

Western Blot: CRABP2 Antibody [NBP2-24764]

Western Blot: CRABP2 Antibody [NBP2-24764]

Western Blot: CRABP2 Antibody [NBP2-24764] - Analysis in HCT116 cell lysate in the 1) absence and 2) presence of immunizing peptide. Dilution: 1.0 ug/ml.
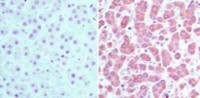
Immunohistochemistry-Paraffin: CRABP2 Antibody [NBP2-24764]

Immunohistochemistry-Paraffin: CRABP2 Antibody [NBP2-24764]

Immunohistochemistry-Paraffin: CRABP2 Antibody [NBP2-24764] - Staining of human liver tissue using an isotype control (left) and this antibody (right) at 5 ug/ml.

Applications for CRABP2 Antibody

Application
Recommended Usage

Immunohistochemistry-Paraffin

5 ug/ml

Western Blot

0.5-2 ug/ml

Formulation, Preparation, and Storage

Purification

Protein G purified

Formulation

PBS and 0.05% BSA

Preservative

0.05% Sodium Azide

Concentration

0.5 mg/ml

Shipping

The product is shipped with polar packs. Upon receipt, store it immediately at the temperature recommended below.

Stability & Storage

Store at 4C short term. Aliquot and store at -20C long term. Avoid freeze-thaw cycles.

Background: CRABP2

Cellular retinoic acid binding protein 2 (CRABP2) is a coactivator present in the retinoic acid (RA)-dependent nuclear complex. CRABP2 has been shown to mediate retinoic acid activity in skin to influence skin cell growth and differentiation. It has also been shown to mediate the growth suppressive effects of retinoic acid in breast cancer. CRABP2's role in cell differentiation may be linked to control of the cell-cycle since it has been identified as an interacting partner of cyclin D3 in CRABPII and RAR ternary complex. Alternate names for CRABP2 include cellular retinoic acid-binding protein II, CRABP-II, retinoic acid-binding protein II, and RBP6.

Long Name

Cellular Retinoic Acid Binding Protein 2

Alternate Names

CRABP-II, RBP6

Gene Symbol

CRABP2

UniProt

Additional CRABP2 Products

Product Documents for CRABP2 Antibody

Certificate of Analysis

To download a Certificate of Analysis, please enter a lot number in the search box below.

Product Specific Notices for CRABP2 Antibody

This product is for research use only and is not approved for use in humans or in clinical diagnosis. Primary Antibodies are guaranteed for 1 year from date of receipt.

Loading...
Loading...
Loading...
Loading...
Loading...