Skip to main content

CPOX Antibody - BSA Free

Novus Biologicals, part of Bio-Techne | Catalog # NBP3-47554

Novus Biologicals, part of Bio-Techne
Catalog #
Availability
Size / Price
Qty
Loading...
NBP3-47554

Key Product Details

Species Reactivity

Human, Mouse, Rat

Applications

Immunohistochemistry, Western Blot, ELISA

Label

Unconjugated

Antibody Source

Polyclonal Rabbit IgG

Format

BSA Free

Concentration

Please see the vial label for concentration. If unlisted please contact technical services.

Product Specifications

Immunogen

coproporphyrinogen oxidase. (Uniprot# P36551)

Clonality

Polyclonal

Host

Rabbit

Isotype

IgG

Theoretical MW

36 kDa.
Disclaimer note: The observed molecular weight of the protein may vary from the listed predicted molecular weight due to post translational modifications, post translation cleavages, relative charges, and other experimental factors.

Description

Novus Biologicals Rabbit CPOX Antibody - BSA Free (NBP3-47554) is a polyclonal antibody validated for use in IHC, WB and ELISA. All Novus Biologicals antibodies are covered by our 100% guarantee.

Scientific Data Images for CPOX Antibody - BSA Free

CPOX Antibody - BSA Free

Western Blot: CPOX Antibody - BSA Free [NBP3-47554] -

Western Blot: CPOX Antibody - BSA Free [NBP3-47554] - Human liver tissue were subjected to SDS PAGE followed by western blot with (CPOX antibody) at dilution of 1:500
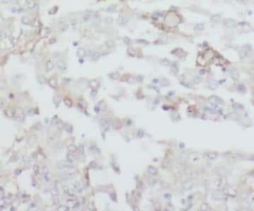
CPOX Antibody - BSA Free

Immunohistochemistry: CPOX Antibody - BSA Free [NBP3-47554] -

Immunohistochemistry: CPOX Antibody - BSA Free [NBP3-47554] - Immunohistochemical of paraffin-embedded human medulloblastoma using (CPOX antibody) at dilution of 1:100

Applications for CPOX Antibody - BSA Free

Application
Recommended Usage

Immunohistochemistry

1:20-1:200

Western Blot

1:1000-1:4000

Formulation, Preparation, and Storage

Purification

Immunogen affinity purified

Formulation

PBS, 50% Glycerol, pH (7.3)

Format

BSA Free

Preservative

0.02% Sodium Azide

Concentration

Please see the vial label for concentration. If unlisted please contact technical services.

Shipping

The product is shipped with polar packs. Upon receipt, store it immediately at the temperature recommended below.

Stability & Storage

Store at -20C. Avoid freeze-thaw cycles.

Background: CPOX

The protein encoded by the CPOX gene is the sixth enzyme of the heme biosynthetic pathway. The encoded enzyme is solubleand found in the intermembrane space of mitochondria. This enzyme catalyzes the stepwise oxidative decarboxylation ofcoproporphyrinogen III to protoporphyrinogen IX, a precursor of heme. Defects in this gene are a cause of hereditarycoproporphyria (HCP).

Alternate Names

Coprogen oxidase, coproporphyrinogen oxidase, Coproporphyrinogenase, coproporphyrinogen-III oxidase, mitochondrial, COX, CPO, CPXcoproporphyrinogen oxidase (coproporphyria, harderoporphyria), EC 1.3.3.3, HCP

Gene Symbol

CPOX

Additional CPOX Products

Product Documents for CPOX Antibody - BSA Free

Certificate of Analysis

To download a Certificate of Analysis, please enter a lot number in the search box below.

Product Specific Notices for CPOX Antibody - BSA Free

This product is for research use only and is not approved for use in humans or in clinical diagnosis. Primary Antibodies are guaranteed for 1 year from date of receipt.

Loading...
Loading...
Loading...
Loading...