Skip to main content

CPED1 Antibody - BSA Free

Novus Biologicals, part of Bio-Techne | Catalog # NBP3-47740

Novus Biologicals, part of Bio-Techne
Catalog #
Availability
Size / Price
Qty
Loading...
NBP3-47740

Key Product Details

Species Reactivity

Human

Applications

Immunohistochemistry, Western Blot, ELISA, Immunocytochemistry/ Immunofluorescence

Label

Unconjugated

Antibody Source

Polyclonal Rabbit IgG

Format

BSA Free

Concentration

Please see the vial label for concentration. If unlisted please contact technical services.

Product Specifications

Immunogen

chromosome 7 open reading frame 58. (Uniprot# A4D0V7)

Clonality

Polyclonal

Host

Rabbit

Isotype

IgG

Theoretical MW

89 kDa.
Disclaimer note: The observed molecular weight of the protein may vary from the listed predicted molecular weight due to post translational modifications, post translation cleavages, relative charges, and other experimental factors.

Description

Novus Biologicals Rabbit CPED1 Antibody - BSA Free (NBP3-47740) is a polyclonal antibody validated for use in IHC, WB, ELISA and ICC/IF. All Novus Biologicals antibodies are covered by our 100% guarantee.

Scientific Data Images for CPED1 Antibody - BSA Free

CPED1 Antibody - BSA Free

Western Blot: CPED1 Antibody - BSA Free [NBP3-47740] -

Western Blot: CPED1 Antibody - BSA Free [NBP3-47740] - A375 cells were subjected to SDS PAGE followed by western blot with (CPED1 antibody) at dilution of 1:500
CPED1 Antibody - BSA Free

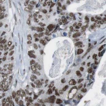
Immunohistochemistry: CPED1 Antibody - BSA Free [NBP3-47740] -

Immunohistochemistry: CPED1 Antibody - BSA Free [NBP3-47740] - Immunohistochemistry of paraffin-embedded human stomach using (CPED1 antibody) at dilution of 1:100

Applications for CPED1 Antibody - BSA Free

Application
Recommended Usage

Immunocytochemistry/ Immunofluorescence

1:20-1:200

Immunohistochemistry

1:20-1:200

Western Blot

1:500-1:3000

Formulation, Preparation, and Storage

Purification

Immunogen affinity purified

Formulation

PBS, 50% Glycerol, pH (7.3)

Format

BSA Free

Preservative

0.02% Sodium Azide

Concentration

Please see the vial label for concentration. If unlisted please contact technical services.

Shipping

The product is shipped with polar packs. Upon receipt, store it immediately at the temperature recommended below.

Stability & Storage

Store at -20C. Avoid freeze-thaw cycles.

Background: CPED1

Alternate Names

C7orf58, cadherin-like and PC-esterase domain containing 1, chromosome 7 open reading frame 58, FLJ21986, FLJ26813

Gene Symbol

CPED1

Additional CPED1 Products

Product Documents for CPED1 Antibody - BSA Free

Certificate of Analysis

To download a Certificate of Analysis, please enter a lot number in the search box below.

Product Specific Notices for CPED1 Antibody - BSA Free

This product is for research use only and is not approved for use in humans or in clinical diagnosis. Primary Antibodies are guaranteed for 1 year from date of receipt.

Loading...
Loading...
Loading...
Loading...