Skip to main content

COX8A Antibody - BSA Free

Novus Biologicals, part of Bio-Techne | Catalog # NBP3-47534

Novus Biologicals, part of Bio-Techne
Catalog #
Availability
Size / Price
Qty
Loading...
NBP3-47534

Key Product Details

Species Reactivity

Human, Mouse

Applications

ELISA, Immunohistochemistry, Western Blot

Label

Unconjugated

Antibody Source

Polyclonal Rabbit IgG

Format

BSA Free

Concentration

Please see the vial label for concentration. If unlisted please contact technical services.

Product Specifications

Immunogen

cytochrome c oxidase subunit 8A(ubiquitous). (Uniprot# P10176)

Clonality

Polyclonal

Host

Rabbit

Isotype

IgG

Theoretical MW

8 kDa.
Disclaimer note: The observed molecular weight of the protein may vary from the listed predicted molecular weight due to post translational modifications, post translation cleavages, relative charges, and other experimental factors.

Description

Novus Biologicals Rabbit COX8A Antibody - BSA Free (NBP3-47534) is a polyclonal antibody validated for use in IHC, WB and ELISA. All Novus Biologicals antibodies are covered by our 100% guarantee.

Scientific Data Images for COX8A Antibody - BSA Free

COX8A Antibody - BSA Free

Western Blot: COX8A Antibody - BSA Free [NBP3-47534] -

Western Blot: COX8A Antibody - BSA Free [NBP3-47534] - Mouse skeletal muscle tissue were subjected to SDS PAGE followed by western blot with (COX8A antibody) at dilution of 1:2000
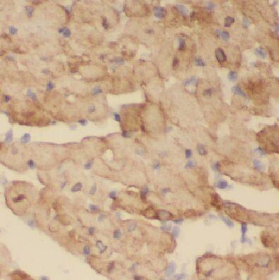
COX8A Antibody - BSA Free

Immunohistochemistry: COX8A Antibody - BSA Free [NBP3-47534] -

Immunohistochemistry: COX8A Antibody - BSA Free [NBP3-47534] - Immunohistochemistry of paraffin-embedded human heart using (COX8A antibody) at dilution of 1:100

Applications for COX8A Antibody - BSA Free

Application
Recommended Usage

Immunohistochemistry

1:20-1:200

Western Blot

1:500-1:2000

Formulation, Preparation, and Storage

Purification

Immunogen affinity purified

Formulation

PBS, 50% Glycerol, pH (7.3)

Format

BSA Free

Preservative

0.02% Sodium Azide

Concentration

Please see the vial label for concentration. If unlisted please contact technical services.

Shipping

The product is shipped with polar packs. Upon receipt, store it immediately at the temperature recommended below.

Stability & Storage

Store at -20C. Avoid freeze-thaw cycles.

Background: COX8A

The protein encoded by the COX8A gene is the terminal enzyme of the respiratory chain, coupling the transfer of electrons from cytochrome c to molecular oxygen, with the concomitant production of a proton electrochemical gradient across the inner mitochondrial membrane. In addition to 3 mitochondrially encoded subunits, which perform the catalytic function, the eukaryotic enzyme contains nuclear-encoded smaller subunits, ranging in number from 4 in some organisms to 10 in mammals. It has been proposed that nuclear-encoded subunits may be involved in the modulation of the catalytic function. This gene encodes one of the nuclear-encoded subunits. [provided by RefSeq]

Alternate Names

COX, COX8-2, COX8cytochrome c oxidase subunit VIII, COX8Lcytochrome c oxidase subunit 8A (ubiquitous), Cytochrome c oxidase polypeptide VIII-liver/heart, Cytochrome c oxidase subunit 8-2, cytochrome c oxidase subunit 8A, mitochondrial, cytochrome c oxidase subunit VIIIA (ubiquitous), VIII, VIII-L

Gene Symbol

COX8A

Additional COX8A Products

Product Documents for COX8A Antibody - BSA Free

Certificate of Analysis

To download a Certificate of Analysis, please enter a lot number in the search box below.

Product Specific Notices for COX8A Antibody - BSA Free

This product is for research use only and is not approved for use in humans or in clinical diagnosis. Primary Antibodies are guaranteed for 1 year from date of receipt.

Loading...
Loading...
Loading...
Loading...