Skip to main content

CORO2A Antibody - BSA Free

Novus Biologicals, part of Bio-Techne | Catalog # NBP1-81582

Novus Biologicals, part of Bio-Techne
Catalog #
Availability
Size / Price
Qty
Loading...
NBP1-81582
NBP1-81582-25ul

Key Product Details

Validated by

Orthogonal Validation, Independent Antibodies

Species Reactivity

Human

Applications

Immunohistochemistry, Immunohistochemistry-Paraffin, Immunocytochemistry/ Immunofluorescence

Label

Unconjugated

Antibody Source

Polyclonal Rabbit IgG

Format

BSA Free

Concentration

Concentrations vary lot to lot. See vial label for concentration. If unlisted please contact technical services.

Product Specifications

Immunogen

This antibody was developed against Recombinant Protein corresponding to amino acids: WRSSSLLEEKMPRWAAEHRLEEKKTWLTNGFDVFECPPPKTENELLQMFYRQQEEIRRLRELLTQREVQAKQ

Clonality

Polyclonal

Host

Rabbit

Isotype

IgG

Scientific Data Images for CORO2A Antibody - BSA Free

Immunohistochemistry-Paraffin: CORO2A Antibody [NBP1-81582]

Immunohistochemistry-Paraffin: CORO2A Antibody [NBP1-81582]

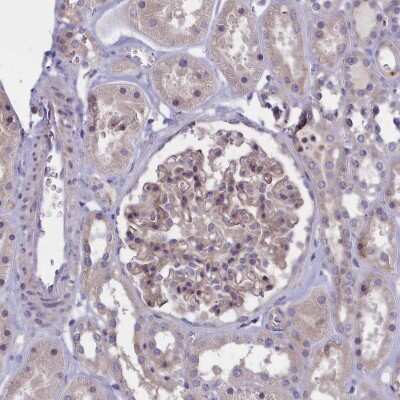
Immunohistochemistry-Paraffin: CORO2A Antibody [NBP1-81582] - Staining in human small intestine and kidney tissues using anti-CORO2A antibody. Corresponding CORO2A RNA-seq data are presented for the same tissues.
Immunohistochemistry-Paraffin: CORO2A Antibody [NBP1-81582]

Immunohistochemistry-Paraffin: CORO2A Antibody [NBP1-81582]

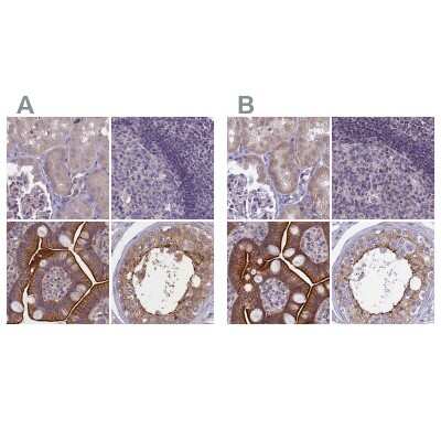
Immunohistochemistry-Paraffin: CORO2A Antibody [NBP1-81582] - Staining of human kidney, lymph node, small intestine and testis using Anti-CORO2A antibody NBP1-81582 (A) shows similar protein distribution across tissues to independent antibody NBP1-81583 (B).
Immunocytochemistry/ Immunofluorescence: CORO2A Antibody [NBP1-81582]

Immunocytochemistry/ Immunofluorescence: CORO2A Antibody [NBP1-81582]

Immunocytochemistry/Immunofluorescence: CORO2A Antibody [NBP1-81582] - Immunofluorescent staining of human cell line A-431 shows localization to plasma membrane & cytosol.

Applications for CORO2A Antibody - BSA Free

Application
Recommended Usage

Immunocytochemistry/ Immunofluorescence

0.25-2 ug/ml

Immunohistochemistry

1:200 - 1:500

Immunohistochemistry-Paraffin

1:200 - 1:500
Application Notes
For IHC-Paraffin, HIER pH 6 retrieval is recommended. ICC/IF,Fixation Permeabilization: Use PFA/Triton X-100.

Formulation, Preparation, and Storage

Purification

Affinity purified

Formulation

PBS (pH 7.2) and 40% Glycerol

Format

BSA Free

Preservative

0.02% Sodium Azide

Concentration

Concentrations vary lot to lot. See vial label for concentration. If unlisted please contact technical services.

Shipping

The product is shipped with polar packs. Upon receipt, store it immediately at the temperature recommended below.

Stability & Storage

Store at 4C short term. Aliquot and store at -20C long term. Avoid freeze-thaw cycles.

Background: CORO2A

The CORO2A gene encodes a member of the WD repeat protein family. WD repeats are minimally conserved regions of approximately40 amino acids typically bracketed by gly-his and trp-asp (GH-WD), which may facilitate formation of heterotrimeric ormultiprotein compl

Alternate Names

CLIPINB, coronin, actin binding protein, 2A, coronin, actin-binding protein, 2A, coronin-like protein B, DKFZp686G19226, IR10coronin 2A, WD protein IR10, WD repeat-containing protein 2, WDR2coronin-2A, WD-repeat protein 2

Gene Symbol

CORO2A

Additional CORO2A Products

Product Documents for CORO2A Antibody - BSA Free

Certificate of Analysis

To download a Certificate of Analysis, please enter a lot number in the search box below.

Product Specific Notices for CORO2A Antibody - BSA Free

This product is for research use only and is not approved for use in humans or in clinical diagnosis. Primary Antibodies are guaranteed for 1 year from date of receipt.

Loading...
Loading...
Loading...
Loading...