Skip to main content

COQ3 Antibody - BSA Free

Novus Biologicals, part of Bio-Techne | Catalog # NBP1-88725

Novus Biologicals, part of Bio-Techne
Catalog #
Availability
Size / Price
Qty
Loading...
NBP1-88725
NBP1-88725-25ul

Key Product Details

Validated by

Orthogonal Validation, Independent Antibodies

Species Reactivity

Human

Applications

Immunohistochemistry, Immunohistochemistry-Paraffin

Label

Unconjugated

Antibody Source

Polyclonal Rabbit IgG

Format

BSA Free

Concentration

Concentrations vary lot to lot. See vial label for concentration. If unlisted please contact technical services.

Product Specifications

Immunogen

This antibody was developed against Recombinant Protein corresponding to amino acids: KWWDEQGVYAPLHSMNDLRVPFIRDNLLKTIPNHQPGKPLLGMKILDVGCGGGLLTEPLGRLGASVIGIDPV

Reactivity Notes

Immunogen displays the following percentage of sequence identity for non-tested species: Mouse (86%), Rat (89%)

Clonality

Polyclonal

Host

Rabbit

Isotype

IgG

Scientific Data Images for COQ3 Antibody - BSA Free

Immunohistochemistry-Paraffin: COQ3 Antibody [NBP1-88725]

Immunohistochemistry-Paraffin: COQ3 Antibody [NBP1-88725]

Immunohistochemistry-Paraffin: COQ3 Antibody [NBP1-88725] - Analysis in human heart muscle and pancreas tissues. Corresponding COQ3 RNA-seq data are presented for the same tissues.
Immunohistochemistry-Paraffin: COQ3 Antibody [NBP1-88725]

Immunohistochemistry-Paraffin: COQ3 Antibody [NBP1-88725]

Immunohistochemistry-Paraffin: COQ3 Antibody [NBP1-88725] - Staining of human colon, heart muscle, kidney and liver using Anti-COQ3 antibody NBP1-88725 (A) shows similar protein distribution across tissues to independent antibody NBP1-88724 (B).
Immunohistochemistry-Paraffin: COQ3 Antibody [NBP1-88725]

Immunohistochemistry-Paraffin: COQ3 Antibody [NBP1-88725]

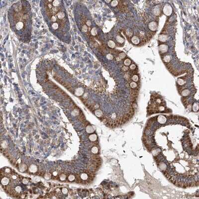
Immunohistochemistry-Paraffin: COQ3 Antibody [NBP1-88725] - Staining of human colon.

Applications for COQ3 Antibody - BSA Free

Application
Recommended Usage

Immunohistochemistry

1:20 - 1:50

Immunohistochemistry-Paraffin

1:20 - 1:50
Application Notes
For IHC-Paraffin, HIER pH 6 retrieval is recommended.

Formulation, Preparation, and Storage

Purification

Affinity purified

Formulation

PBS (pH 7.2) and 40% Glycerol

Format

BSA Free

Preservative

0.02% Sodium Azide

Concentration

Concentrations vary lot to lot. See vial label for concentration. If unlisted please contact technical services.

Shipping

The product is shipped with polar packs. Upon receipt, store it immediately at the temperature recommended below.

Stability & Storage

Store at 4C short term. Aliquot and store at -20C long term. Avoid freeze-thaw cycles.

Background: COQ3

Ubiquinone, also known as coenzyme Q, or Q, is a critical component of the electron transport pathways of both eukaryotes and prokaryotes (Jonassen and Clarke, 2000 [PubMed 10777520]). This lipid consists of a hydrophobic isoprenoid tail and a quinone head group. The tail varies in length depending on the organism, but its purpose is to anchor coenzyme Q to the membrane. The quinone head group is responsible for the activity of coenzyme Q in the respiratory chain. The S. cerevisiae COQ3 gene encodes an O-methyltransferase required for 2 steps in the biosynthetic pathway of coenzyme Q. This enzyme methylates an early coenzyme Q intermediate, 3,4-dihydroxy-5-polyprenylbenzoic acid, as well as the final intermediate in the pathway, converting demethyl-ubiquinone to coenzyme Q. The COQ3 gene product is also capable of methylating the distinct prokaryotic early intermediate 2-hydroxy-6-polyprenyl phenol.[supplied by OMIM]

Alternate Names

3-demethylubiquinone-10 3-methyltransferase, bA9819.1, coenzyme Q3 homolog, methyltransferase (S. cerevisiae), coenzyme Q3 homolog, methyltransferase (yeast), DHHB methyltransferase, DHHBMT, DHHB-MT, DHHBMTASE, DHHB-MTase, Dihydroxyhexaprenylbenzoate methyltransferase, EC 2.1.1, EC 2.1.1.114, EC 2.1.1.64, hexaprenyldihydroxybenzoate methyltransferase, mitochondrial3,4-dihydroxy-5-hexaprenylbenzoate methyltransferase, methyltransferase COQ3, UG0215E05

Gene Symbol

COQ3

Additional COQ3 Products

Product Documents for COQ3 Antibody - BSA Free

Certificate of Analysis

To download a Certificate of Analysis, please enter a lot number in the search box below.

Product Specific Notices for COQ3 Antibody - BSA Free

This product is for research use only and is not approved for use in humans or in clinical diagnosis. Primary Antibodies are guaranteed for 1 year from date of receipt.

Loading...
Loading...
Loading...
Loading...