Skip to main content

COPG Antibody - BSA Free

Novus Biologicals, part of Bio-Techne | Catalog # NBP1-85514

Novus Biologicals, part of Bio-Techne
Catalog #
Availability
Size / Price
Qty
Loading...
NBP1-85514
NBP1-85514-25ul

Key Product Details

Validated by

Independent Antibodies

Species Reactivity

Human, Mouse, Rat

Applications

Immunohistochemistry, Immunohistochemistry-Paraffin, Western Blot

Label

Unconjugated

Antibody Source

Polyclonal Rabbit IgG

Format

BSA Free

Concentration

Concentrations vary lot to lot. See vial label for concentration. If unlisted please contact technical services.

Product Specifications

Immunogen

This antibody was developed against Recombinant Protein corresponding to amino acids: VKQPEKVAATRQEIFQEQLAAVPEFRGLGPLFKSSPEPVALTESETEYVIRCTKHTFTNHMVFQFDCTNTLNDQTLENVTVQMEPTE

Clonality

Polyclonal

Host

Rabbit

Isotype

IgG

Scientific Data Images for COPG Antibody - BSA Free

Western Blot: COPG Antibody [NBP1-85514]

Western Blot: COPG Antibody [NBP1-85514]

Western Blot: COPG Antibody [NBP1-85514] - Analysis in mouse cell line NIH-3T3 and rat cell line NBT-II.
Immunohistochemistry-Paraffin: COPG Antibody [NBP1-85514]

Immunohistochemistry-Paraffin: COPG Antibody [NBP1-85514]

Immunohistochemistry-Paraffin: COPG Antibody [NBP1-85514] - Staining of human kidney shows strong cytoplasmic positivity in cells in tubules.
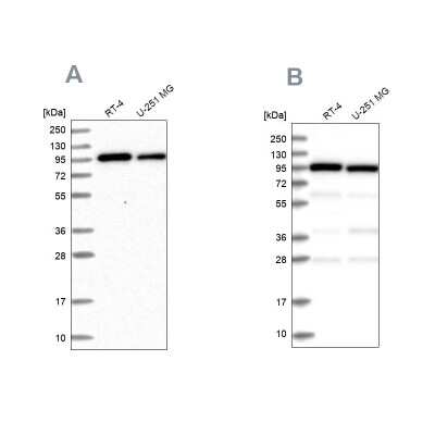
Western Blot: COPG Antibody [NBP1-85514]

Western Blot: COPG Antibody [NBP1-85514]

Western Blot: COPG Antibody [NBP1-85514] - Analysis using Anti-COPG1 antibody NBP1-85514 (A) shows similar pattern to independent antibody NBP2-55178 (B).

Applications for COPG Antibody - BSA Free

Application
Recommended Usage

Immunohistochemistry

1:50 - 1:200

Immunohistochemistry-Paraffin

1:50 - 1:200

Western Blot

0.04-0.4 ug/ml
Application Notes
For IHC-Paraffin, HIER pH 6 retrieval is recommended.

Formulation, Preparation, and Storage

Purification

Affinity purified

Formulation

PBS (pH 7.2) and 40% Glycerol

Format

BSA Free

Preservative

0.02% Sodium Azide

Concentration

Concentrations vary lot to lot. See vial label for concentration. If unlisted please contact technical services.

Shipping

The product is shipped with polar packs. Upon receipt, store it immediately at the temperature recommended below.

Stability & Storage

Store at 4C short term. Aliquot and store at -20C long term. Avoid freeze-thaw cycles.

Background: COPG

The coatomer is a cytosolic protein complex that binds to dilysine motifs and reversibly associates with Golgi non-clathrin-coated vesicles, which further mediate biosynthetic protein transport from the ER, via the Golgi up to the trans Golgi network. Coatomer complex is required for budding from Golgi membranes, and is essential for the retrograde Golgi-to-ER transport of dilysine-tagged proteins. In mammals, the coatomer can only be recruited by membranes associated to ADP-ribosylation factors (ARFs), which are small GTP-binding proteins; the complex also influences the Golgi structural integrity, as well as the processing, activity, and endocytic recycling of LDL receptors

Alternate Names

coat protein gamma-cop, coatomer protein complex, subunit gamma, coatomer protein complex, subunit gamma 1, COPG1coatomer subunit gamma, FLJ21068, Gamma-coat protein, Gamma-COP

Gene Symbol

COPG1

Additional COPG Products

Product Documents for COPG Antibody - BSA Free

Certificate of Analysis

To download a Certificate of Analysis, please enter a lot number in the search box below.

Product Specific Notices for COPG Antibody - BSA Free

This product is for research use only and is not approved for use in humans or in clinical diagnosis. Primary Antibodies are guaranteed for 1 year from date of receipt.

Loading...
Loading...
Loading...
Loading...