Skip to main content

COPE Antibody - BSA Free

Novus Biologicals, part of Bio-Techne | Catalog # NBP3-47556

Novus Biologicals, part of Bio-Techne
Catalog #
Availability
Size / Price
Qty
Loading...
NBP3-47556

Key Product Details

Species Reactivity

Human

Applications

Immunohistochemistry, Western Blot, ELISA, Immunocytochemistry/ Immunofluorescence

Label

Unconjugated

Antibody Source

Polyclonal Rabbit IgG

Format

BSA Free

Concentration

Please see the vial label for concentration. If unlisted please contact technical services.

Product Specifications

Immunogen

coatomer protein complex, subunit epsilon. (Uniprot# O14579)

Clonality

Polyclonal

Host

Rabbit

Isotype

IgG

Theoretical MW

36 kDa.
Disclaimer note: The observed molecular weight of the protein may vary from the listed predicted molecular weight due to post translational modifications, post translation cleavages, relative charges, and other experimental factors.

Description

Novus Biologicals Rabbit COPE Antibody - BSA Free (NBP3-47556) is a polyclonal antibody validated for use in IHC, WB, ELISA and ICC/IF. All Novus Biologicals antibodies are covered by our 100% guarantee.

Scientific Data Images for COPE Antibody - BSA Free

COPE Antibody - BSA Free

Western Blot: COPE Antibody - BSA Free [NBP3-47556] -

Western Blot: COPE Antibody - BSA Free [NBP3-47556] - PC-3 cells were subjected to SDS PAGE followed by western blot with (COPE antibody) at dilution of 1:500
COPE Antibody - BSA Free

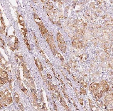
Immunohistochemistry: COPE Antibody - BSA Free [NBP3-47556] -

Immunohistochemistry: COPE Antibody - BSA Free [NBP3-47556] - Immunohistochemistry of paraffin-embedded human prostate cancer tissue slide using (COPE Antibody) at dilution of 1:50

Applications for COPE Antibody - BSA Free

Application
Recommended Usage

Immunocytochemistry/ Immunofluorescence

1:20-1:200

Immunohistochemistry

1:20-1:200

Western Blot

1:500-1:2000

Formulation, Preparation, and Storage

Purification

Immunogen affinity purified

Formulation

PBS, 50% Glycerol, pH (7.3)

Format

BSA Free

Preservative

0.02% Sodium Azide

Concentration

Please see the vial label for concentration. If unlisted please contact technical services.

Shipping

The product is shipped with polar packs. Upon receipt, store it immediately at the temperature recommended below.

Stability & Storage

Store at -20C. Avoid freeze-thaw cycles.

Background: COPE

The product of this gene is an epsilon subunit of coatomer protein complex. Coatomer is a cytosolic protein complex that binds to dilysine motifs and reversibly associates with Golgi non-clathrin-coated vesicles. It is required for budding from Golgi membranes, and is essential for the retrograde Golgi-to-ER transport of dilysine-tagged proteins. Coatomer complex consists of at least the alpha, beta, beta', gamma, delta, epsilon and zeta subunits. Alternatively spliced transcript variants encoding different isoforms have been identified.

Alternate Names

coatomer epsilon subunit, coatomer protein complex, subunit epsilon, coatomer subunit epsilon, epsilon coat protein, Epsilon-coat protein, Epsilon-COP, FLJ13241

Gene Symbol

COPE

Additional COPE Products

Product Documents for COPE Antibody - BSA Free

Certificate of Analysis

To download a Certificate of Analysis, please enter a lot number in the search box below.

Product Specific Notices for COPE Antibody - BSA Free

This product is for research use only and is not approved for use in humans or in clinical diagnosis. Primary Antibodies are guaranteed for 1 year from date of receipt.

Loading...
Loading...
Loading...
Loading...